首页/口腔正畸/邻面去釉莫随意,这些要点需注意!/
邻面去釉莫随意,这些要点需注意!
2022-09-07 10:19:313663浏览
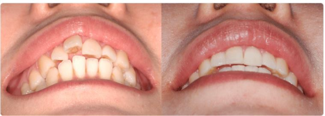
邻面去釉(IPR)又称片切或牙齿减径,顾名思义,就是磨除极少量牙齿邻面的牙釉质。不管是隐形矫治还是固定矫治,邻面去釉都是一种较为常规的获得间隙的辅助治疗方法。

邻面去釉的理论基础和安全性

通过研究远古人类颌骨化石,发现牙齿邻面普遍存在着生理性磨耗,这就使牙齿的邻面接触从点接触逐渐变为面接触,邻面去釉实际是对这个自然生理磨耗过程的重现。

牙齿邻面釉质的厚度为0.75-1.25mm,而适量的、安全的邻面去釉量既能获得需要的间隙同时又能降低龋坏发生的可能性。

适应症

1、解除前后牙拥挤

对于牙列轻度拥挤(4-6mm)的患者,邻面去釉是拔牙的另一种选择。 然而,这种去釉是不可逆转的切割,所以在正式操作前一定要仔细测量牙弓拥挤度。

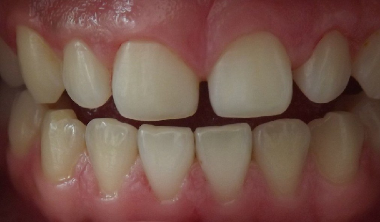
2、改善牙龈形态,减小和避免牙龈乳头处的三角间隙 

3,协调上下颌牙量

如Bolton指数不调。当然,也可以通过树脂或修复体加宽来解决,但IPR更常用。

4、改善牙齿形态,协调牙弓两侧同名牙齿的形态

5、改善覆颌、覆盖关系

6、改善Spee曲线7、不适宜扩弓的病例8、减少拔牙

禁忌症

1、牙弓拥挤严重(拥挤超过8mm,通常考虑拔牙矫治)

2、过小牙或牙冠形态异常

3、外形成方形或长方形的牙体

4、牙齿对冷热刺激过敏者

5、年轻患者(髓角高)

6、口腔卫生差,易患龋(有待商榷)

7、牙根间距过小的牙齿尽管没有得到证实,但很多医生认为邻牙的牙根离得越近,根尖牙槽嵴就会越窄,从而造成血供减少,最终导致牙周组织对细菌入侵的抵抗力下降。

邻面去釉工具选择

邻面去釉牙位的选择及方法

(一)邻面去釉牙位的选择

邻面去釉位置确定之前,需要考虑以下因素:

1、邻面去釉位置应尽量与需要间隙的部位接近

2、前牙区去釉3、中线偏斜4、前磨牙和磨牙区

(二)确定邻面去釉牙位常用方法

1、目测法

2、牙线法

邻面去釉量

邻面去釉步骤

(一)执行邻面去釉

1、用颊部牵拉器或纱布保护患者的软组织。

2、准备所需材料托盘。

3、以最细的砂条磨开邻面接触区。轻力地钟摆式移动,直至砂条能自由通过接触区为止。

· 使用手动抛光条时,更换为较厚的砂条,以扩大接触面,根据需要逐步更换最粗的砂条。

· 使用高速车针时,将车针插入指定的牙齿之间。

· 使用慢速砂轮时,将砂轮插入指定的牙齿之间。

· 使用低速振动器时,将砂条插入指定的牙齿之间。

(二)确认移除

1、使用邻面去釉测量尺确定邻面去釉量。

2、如达到正确的去釉量,测量尺在移动时会受到轻微阻力。

3、稍薄一些的测量尺在操作空间中移动时应该不会受到任何阻力。

(三)抛光并确认去釉量

1、使用抛光砂条抛光,直至邻接面光洁圆润。

2、使用邻面去釉测量尺确认最终的间隙大小。

(四)氟化处理

氟的作用增加了釉质表面的微硬度,因而新形成的釉质可能比原来的釉质具有更强的抗龋能力。

友情链接: