首页/儿童口腔/牙颌发育七个阶段,一文掌握要点!/
牙颌发育七个阶段,一文掌握要点!
2022-09-27 10:19:088962浏览
牙齿萌出是一个在萌出年龄和顺序上个体差异性极大的生物学过程。如果能很好地理解并识别这些牙颌发育阶段,就可抓住治疗时机并获得理想的正畸治疗效果。

1 乳牙萌出

乳牙在口腔内萌出通常发生在婴儿出生后6个月左右,最先萌出的是下颌中切牙

30个月龄时,约70%的儿童乳牙已全部萌出,但是也有很大的个体差异性。

如果在14个月龄时,乳牙一颗都未萌出或所有乳牙都已萌出均被认为是正常现象。

如果到16个月龄时还未萌出任何乳牙,则需X线检查。乳牙列早萌模式可能预示乳牙列与替牙列交替也较早。乳牙萌出顺序个体差异很常见,不会对乳牙列的发育造成显著干扰,通常也无须关注,除非异位萌出导致其他牙齿萌出困难,这在此咬合发育阶段是非常罕见的。

最常见的乳牙萌出顺序是A、B、D、C和E。

图1 乳牙萌出

乳牙列的生物发生可分为以下4个阶段。

阶段1:包括上下乳切牙的萌出(图1a和图1b)

由于后牙尚未萌出,因而覆𬌗较深,下颌运动范围大。颞下颌关节(TMJ)的解剖形态尚未发育成熟,因此允许下颌的这种运动。在这个阶段,髁突形态处于发育初期,关节窝平坦。

阶段2 :起始于乳磨牙的萌出和建( 图1c 和1d)

这个现象使得牙列垂直高度第一次增加,因此覆牙合变浅。乳磨牙的面形态促进了咬合关系的建立,同时刺激了颞下颌关节(TMJ的形态发育)。

阶段3  起始于乳尖牙的萌出(图1e)

这个阶段对于灵长间隙的建立和维持是很重要的。在上牙列,灵长间隙位于侧切牙和尖牙间;在下牙列,灵长间隙位于尖牙和第一乳磨牙之间。灵长间隙为1~5 mm。

阶段4:以第二乳磨牙的萌出为标志(图1f)

乳牙列咬合关系和垂直高度的获得起始于第一乳磨牙的萌出,该阶段则进行了进一步的巩固治疗。这个阶段在30~36个月龄时结束,所有乳牙完成建牙合。研究表明,2岁以内牙弓周长显著增加(即乳牙列萌出时期)。

2 乳牙列发育完成

乳牙列的概况

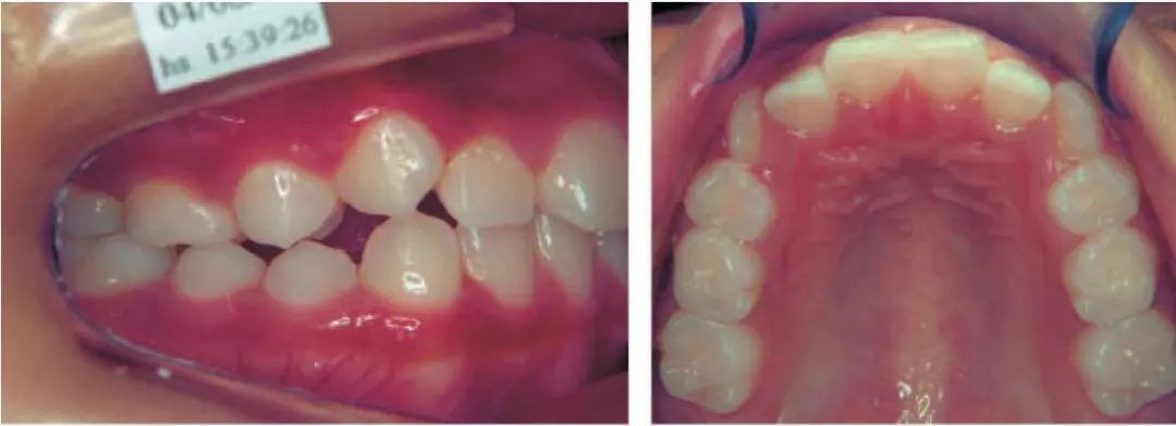
此阶段口内只有乳牙,容易被忽视,然而此阶段的正常咬合关系有利于正常恒牙列的发育。在阶段2牙列正常的儿童,仍然有很大的可能性在后续阶段出现异常。图2和图3分别为一位咬合关系正常的患儿的曲面体片层和口内像。通常而言,该阶段包括3~6岁的儿童。在本阶段早期,第二乳磨牙刚萌出后,通常与第一乳磨牙之间有间隙。

图2 牙弓宽度缩窄导致的切牙拥挤

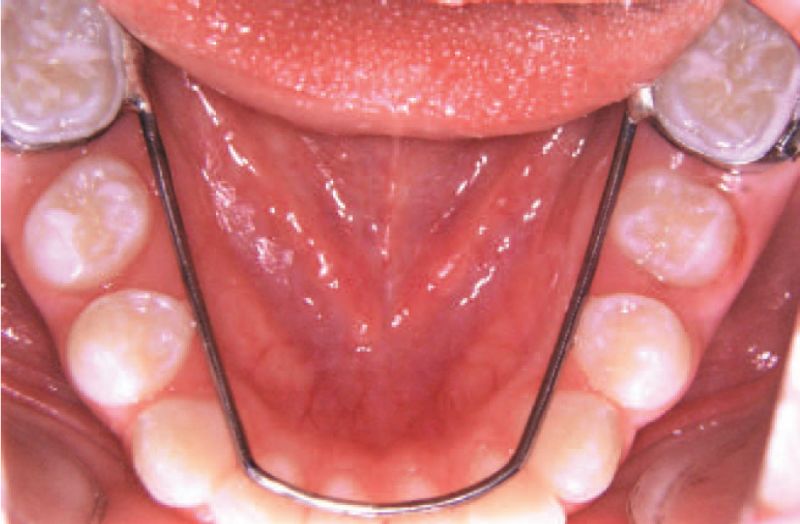
图3 下颌舌弓维持E间隙

然而,在接下来的几个月中,这个生理性间隙由于第二乳磨牙的近中移动而关闭,这是由于邻近的第一恒磨牙的发育所致。在乳牙列晚期(约6岁),除BaumeⅠ类咬合关系的切牙间之外乳牙间应无间隙。牙弓周长会减小。通常情况下,乳牙列晚期无牙列拥挤。然而,该阶段前牙区如有间隙,将有利于近远中向宽度较大的后继恒切牙的排齐。Baume认为乳牙列可能有也可能没有散在间隙,两种情况均为正常。但是,有生理或发育间隙的情况下,即BaumeⅠ类,乳恒牙替换时间隙不足的风险会小一些。乳牙根在牙槽骨中几乎是垂直的,且冠几乎无颊-舌向角度,因此,在乳牙列中,上下切牙间角度接近180°。后牙区无Wilson曲线,Spee曲线平或浅。乳牙列切牙轻中度磨耗也是正常现象。如今,在牙颌发育过程中,上下乳尖牙的关系被作为矢状向分类的主要参照。上颌乳尖牙的长轴指向下颌第一乳磨牙和乳尖牙的邻面,称之为正常咬合。与Angle的恒牙列分类法类似,这种咬合模式临床上称为“尖牙Ⅰ类关系”。以乳尖牙判定的正常矢状向关系的比例为80%。在阶段2,0~3 mm的前牙覆盖都是正常的。正常的水平向关系特征为,上颌乳磨牙的颊尖位于下颌乳磨牙颊尖的颊侧,形成正覆盖;上颌乳磨牙的腭尖咬合于下颌乳磨牙的中央窝内;上颌乳尖牙的腭侧与下颌乳尖牙和第一乳磨牙的颊侧形成咬合接触。在该阶段,前牙覆牙合的正常范围较大。切牙盖住唇面2/3或切对切的覆牙合情况均视为正常。由于该阶段高发非营养性吮吸习惯,前牙开牙合的患病率较高。

此阶段牙弓大小

有研究提示,大部分儿童在3~6岁期间,其上、下乳牙列的牙弓长度和周长有少量减小。相反的,有些学者发现乳牙列的牙弓长度并没有减少,而Baume则报道了分别有89%的上颌和83%的下颌乳牙列在矢状向上尺寸减小。无研究支持在此阶段有牙弓长度的增加。乳牙列的宽度,即尖牙间宽度和磨牙间宽度,根据有些文献报道在阶段2是稳定的,然而也有文献表明在4~6岁时有宽度的变化。

3 第一恒磨牙萌出

一般而言,混合牙列起始于下颌恒中切牙的萌出。下颌第一恒磨牙也在相应时间萌出,随后萌出上颌第一恒磨牙,但也常见第一恒磨牙早于下颌中切牙萌出。这些顺序并不具有显著临床差异。切牙和第一恒磨牙的萌出即为替牙列早期。为方便讲述,本文默认第一恒磨牙先萌出。虽然第一恒磨牙萌出时间平均为6岁,但4~8岁均视为正常。第一恒磨牙利用第二乳磨牙远中的骨沉积间隙萌出到乳牙列远中。在出生时,下颌第一恒磨牙的牙胚位置接近下颌体和升支的交界处,冠近中倾斜。在幼儿中,上颌第一恒磨牙位于上颌结节中,冠远中倾斜。萌出时,上颌第一恒磨牙逐渐向近中倾斜,并沿第二乳磨牙的远中邻面萌出到最后位置。因此,普遍认为第二乳磨牙的末端平面对于第一恒磨牙的早期建牙合非常重要。然而,在阶段2中提到过,乳磨牙末端平面的分析应当综合考虑乳尖牙关系。第一恒磨牙的萌出与青少年快速生长期基本同时发生,并获得咬合垂直向高度的第二次生理性增加。

阶段3的正常咬合通常包括以下特征

  • 第一恒磨牙Ⅰ类咬合关系或尖对尖矢状向关系;
  • 乳尖牙Ⅰ类咬合关系;覆盖0~3 mm;
  • 覆牙合可为尖对尖至3/4的切牙覆盖量;上下牙弓宽度匹配。

4 恒切牙萌出

在替牙列早期,乳切牙脱落,恒切牙萌出。替牙列早期持续约2年(6~8岁)。然后,进入间歇期,持续约2年。有些儿童的间歇期较长。虽然阶段1~3期间,错𬌗发生率比较低,但是阶段4时错牙合发生率是非常高的。需要注意的是,虽然“正常”发育意为“自然发生”,本阶段某些切牙错位可能被认为是正常的,而“理想”咬合十分少见。下颌切牙在其对应乳牙的舌侧发育,并在舌侧萌出。由于这种萌出模式,下颌乳切牙的牙根可能无法正常吸收,从而无法自然脱落。当上颌切牙萌出时,它们通常参与了对应乳牙的牙根吸收,萌出时排列尚可。但上颌侧切牙有时腭侧位萌出,尤其是在间隙不足的患者中较易发生。

在本阶段中,上颌切牙牙冠可能是远中倾斜的,侧切牙尤甚。早期文献将这种上切牙位置描述为“丑小鸭阶段”。由于相邻的上颌尖牙正在萌出中,这种牙冠位置是为了防止与尖牙牙冠接触从而保护牙根结构的牙性代偿保护机制。

当尖牙萌出后(阶段7),切牙间的间隙将自然关闭,上颌侧切牙的牙轴也将自动纠正。而下颌切牙自萌出时起,绝大部分情况下均有较好的邻面接触,切牙间隙十分罕见。少量拥挤是正常的,若发现有较大间隙,则应考虑是否有口腔不良习惯。应当注意的是,当下颌第一恒磨牙和恒切牙萌出后,下颌牙弓长度就稳定了。但由于下颌乳尖牙向远中的灵长间隙移动,因此尖牙间宽度有显著增加。由于上切牙牙冠较乳切牙唇倾,且唇舌向厚度较大,因此上颌牙弓长度将增加约1.5 mm。从乳牙列更替到早期混合牙列,尖牙间宽度将增加约2 mm,可能主要归功于该区域的骨沉积。上颌宽度的最大增长量发生于上颌中切牙的萌出时。

5 下颌尖牙、上下颌第一前磨牙萌出

本阶段标志着替牙列第2阶段的开始。从咬合发育的角度来看,下颌恒尖牙最好于第一前磨牙之前萌出,以便间隙管理和前牙排列。曲面体层片检查经常会发现,以咬合平面为参考,下颌尖牙的牙胚位于第一前磨牙下方。

然而幸运的是,下颌尖牙在绝大部分情况下会加速萌出,获得较好的萌出顺序。下颌第一前磨牙先于尖牙萌出也不少见,应进行观察。这种萌出顺序在序列拔牙治疗中是我们所期望的,因为需要在下颌尖牙萌出前拔除第一前磨牙。

第一前磨牙通常情况下不会发生萌出障碍。但是,由于第一乳磨牙脱落困难,上颌第一前磨牙常见颊向萌出。通常情况下,拔除第一乳磨牙即可使异位萌出的上颌第一前磨牙顺利萌出。

在上牙列,我们注意到颌骨内第一前磨牙的巨大牙冠经常影响相邻恒尖牙的萌出模式。因此,上颌第一前磨牙的较早萌出在防止尖牙被推挤至牙弓外有重要意义。

6 第二前磨牙萌出

到11岁,第二乳磨牙和第二前磨牙的替换是预防/阻断性矫治保存替牙间隙的重要时机。第二乳磨牙和第二前磨牙的近远中向宽度差将提供一个自由间隙,称之为E间隙或替牙间隙。替牙间隙的概念最初是由Nance提出的,包括乳尖牙和乳磨牙及其继替恒牙之间的宽度差。

然而,乳尖牙比恒尖牙小,同时第一乳磨牙很少比第一前磨牙大。Gianelly研究这个关系,并提出了这个概念——替牙列第二阶段的替牙间隙主要是由第二乳磨牙(E’s)和第二前磨牙的大小差别造成的。

图3 下颌舌弓维持E间隙

有证据表明,替牙列晚期和恒牙列交替时,第一恒磨牙近中移动并占据E间隙,导致牙弓周长减小,尤其是下颌。医生应当评估这个机会并保存这个宝贵的间隙。E间隙不仅可用于改善牙齿排列情况,还可用于轻度Ⅱ类和Ⅲ类咬合关系的综合正畸治疗(图4和图5)。

图4  Ⅱ类咬合关系患者的上颌E间隙维持有利于改善牙弓矢状向位置关系

图5 Ⅲ类咬合关系患者的下颌E间隙维持有利于切牙内收并获得合适的覆盖

7 上颌尖牙、上下颌第二恒磨牙萌出

上颌尖牙和上下颌第二恒磨牙的萌出标志着替牙列第二阶段的结束。在绝大多数儿童,此阶段约发生在12岁。然而,萌出年龄有很大的个体差异性,通常也无临床意义。上颌尖牙萌出运动的复杂性导致异位萌出和埋伏阻生的风险很大。因此,作为预防措施,每年应当拍摄曲面体层片进行观察。通常而言,下颌第二恒磨牙早于上颌同名牙萌出。近年来,有文献报道了第二恒磨牙阻生概率增大。这与龋病发病率降低、前牙区拥挤的阻断性正畸治疗有关。医生应当观察第二恒磨牙的萌出直至完全建。上颌第二恒磨牙有可能由于异位萌出的第三恒磨牙而阻生。下颌第二恒磨牙则常见近中阻生于第一恒磨牙远中面,无法完全萌出。

内容来源:《早期错𬌗畸形——辨析与治疗》!

友情链接: