
椎弓根螺钉置入方法
1、进钉点:颈胸腰各有不同;
2、把握进钉水平面角度(TSA)和矢状面角(SSA):TSA角度可以从CT片子上测量,SSA与体位有一定关系,可以在术中用C型臂临控。
3、深度:螺钉长度达到椎弓根轴线长度的80%已获得足够的生物力学强度,过长易穿透骨皮质损伤血管等。
4、长度:进针点至椎体前侧皮质总长度的83%。


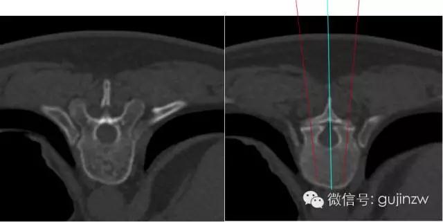
颈椎
寰椎
- 马向阳发现寰椎椎弓根宽度为7.78mm。
- 建议以寰椎下关节突中心点的纵垂线与经过寰椎后弓上缘下方3.0mm的水平线的交点作为螺钉的进针点,内倾10°,上倾5°钻孔便可,无须显露寰枢间的血管神经丛,也避开了椎动脉。
- 进行寰椎椎弓根螺钉固定是可行的,其决定因素是椎动脉沟处的寰椎后弓高度,小于4mm则改为侧块螺钉。
枢椎
- Xu等通过解剖研究,将进钉点为枢椎椎板上缘水平线下5mm与椎管内侧缘外7mm的交点处;
- Howington等也通过解剖研究,确定了另一种进钉点定位方法:枢椎棘突正中垂线外侧26mm与枢椎下关节突的最下缘上方9mm的交点处。若术中枢椎关节突外侧的椎动脉得以显露,则该进钉点与椎动脉内缘的垂直距离为1.38mm。
- 李志军等则将进钉点确定为枢椎横突下缘水平线与关节突的中外1/4垂线的交点处。
- 枢椎椎弓根的高度或宽度小于5mm,则建议改为侧块螺钉固定。
颈椎椎弓根进钉方法
进针方法
目前进针方法主要有:Abumi法、解剖标志定位法、计算机辅助成像定位法等。
Abumi等最早报道了应用磨钻打磨穿椎板外侧块骨皮质后,X线透视下将小探针经椎弓根髓腔插入椎体中,扩髓后,结合术前CT扫描可见经椎板外侧块骨皮质、椎弓根到椎体前沿的长度及椎弓根髓腔内径大小,再置入合适的椎弓根钉。
王东来等进钉点定位是以下关节中点划纵线,两关节间隙中点划横线,C3~C6 位于关节突背面外上象限的中点,C7 位于关节突中垂线接近上关节面的下缘。
闫德强等发现上下关节突间侧凹、关节突后平面为下颈椎定位标志。垂直于关节突后平面的椎弓后上缘高度水平线与上下关节突间侧凹外缘的矢状线的交点为进钉点。从解剖可知,操作时应靠下靠内,以减少突破的可能。
颈椎进钉点
- C2 枢椎椎板上缘水平线下5mm与椎管内侧缘外7mm交点处。
- C3-C6 侧块背面中上1/4水平线与中外1/4垂直线的交点。
- C7 侧块垂直中线与中上1/4水平线交点偏上方
颈椎进钉角度
- C2 内倾20-25° 上倾10-15°
- C3-C6 内倾40-45°,水平面与上下终板平行
- C7 内倾30-40°,水平面与上下终板平行
颈椎选螺钉
- C1~C5需螺钉直径3.5mm, 深度20mm螺钉



寰椎 后弓高度,小于4mm则改为侧块螺钉。
枢椎 椎弓根的高度或宽度小于5mm,则建议改为侧块螺钉固定。
颈椎侧块螺钉置入法
Magerl 法:进钉点位于侧块后壁中点内上方1-2mm;进钉方向外倾25-30°、头倾30 °(平行上关节面)钻孔,钻透对侧皮质;测深后拧入3. 5mm皮质骨螺钉。

Roy—Camille 法:进钉点位于侧块背面中心;进钉方向外倾10°、垂直后皮质钻孔,钻透对侧皮质;测深后拧入3. 5mm皮质骨螺钉。
Anderson法:进钉点位于侧块中心内侧1mm处,进钉方向外倾20°、头倾20°~30°钻孔,钻透对侧皮质;测深后拧入3. 5mm皮质骨螺钉。
经验总结
(1)螺钉植入的安全问题,应特别引起注意。术者应根据对颈椎解剖及椎弓根钉技术的掌握情况来选择相应的方法。
(2)在C3-C6节段内使用侧块螺钉固定较椎弓根螺钉固定简单安全。
(3)工具不能穿破椎弓根外壁,否则会损伤邻近的神经和血管。
(4)进钉的角度应随着椎弓角度的变化而变化。
(5)应避免穿透椎体前面的皮质骨。
(6)术中透视能准确地定位椎体及椎间隙,准确地植入螺钉,防止拧入椎间隙及椎管。
胸椎
进针点:
1、Margel和Roy Camille以横突中点水平线与上关节突外缘垂线的交点为进钉点。
2、Ebraheim提出T1~T2椎弓根中心位于上关节突外缘内7~8mm,横突中线上3~4mm,T3~T12:位于上关节突外缘内4~5mm,横突中线上5~8mm。
3、自下关节中点外侧3mm划一垂线,自横突基底部上方1/3处划一水平线,两线的交点即为进钉点。
4、下关节突纵轴中线与横突根部中点水平线的交叉线上,小关节突下1mm;
5、复杂病例切除部分椎板,直视下植入椎弓根螺钉也不失为一种安全的选择
胸椎进针角度
矢状面:从T1到T2椎弓根内倾角度递减。T1 : 25°;T2 : 20 ° ; T3 :15° ; T4-9 : 10° ;T10: 5° ;T11-12:0° 。
- 上胸椎椎弓根螺钉应与矢状面呈10~20°的内倾夹角,中下段胸椎的椎弓根螺钉应与矢状面呈0~10°的内倾夹角。而Ebraheim提出T1、T2椎弓根螺钉应与矢状面呈30~40°内倾夹角,T3~T11呈20~25°,T12呈10°。
水平面:应与上下终板平行。
胸椎选螺钉  
- T1~T5需螺钉直径3.5~4.0mm
- T6~T10需4.0—5.0mm
- T11、T12需5.5mm

对于成人,胸椎弓根螺钉直径小于5mm,将有断钉隐患。中胸椎很多情况下,无法置入大于5mm直径螺钉,易导致椎弓根崩裂。
有些学者采用椎弓根外侧置入,很好的解决了这个问题。进钉点选横突的尖端,横突中线水平,先转一小洞,锥子的指向与该椎小关节外侧缘相交。与矢状面的夹角为25—40度,自T12向上度数逐渐增加。
置入的螺钉将经过横突、部分的肋横突及肋椎关节、椎体的侧壁,由于进钉途径位于小关节外侧,不可能进入椎管,较安全,另外倾角增加使螺钉较长、较粗,固定强度增加,植入角度范围大,螺钉可位于一条线上,装配较方便。


骶椎
在骶椎,通常进钉点为S1关节突外缘纵线与下缘水平切线交点,指向中线或平行于骶髂关节。椎弓根螺钉可以从标准的往前内侧方指向骶骨体或岬部,或者是向前外方进入骶骨翼。
Edwards 发现骶骨螺钉在S1处的植入角度在前内侧25°,或者在骶骨翼外侧成角35°具有最大的拔出力量。
Zindrik 发现在S2椎弓根螺钉固定的力量最弱,如果要提高螺钉的拔出力量应从偏外侧45°角拧入。
Mirkovic 使用椎弓根螺钉通过骶骨前后两面骨皮质以增强固定时,判定S1螺钉放置时易损伤腰骶神经干,髂内静脉和骶髂关节,S1螺钉放置有2个安全区域,其中前内侧最为安全。
骶椎进钉点
- 上 S1关节突外缘的垂线,关节突下缘的水平线交点。
骶椎进钉角度 
- 矢状面角度:内倾25度;
- 水平面角度:头倾25-30度,瞄向骶骨岬。
骶椎选螺钉
- 螺钉直径6.5~7.0mm,深度30-35mm

经验总结
(1)易损伤腰骶神经干、髂内静脉和骶髂关节;
(2)除特殊情况,一般不进行S2固定;
(3)骶骨骨质少,以软骨下骨固定强度最高。
确定进钉点后,先咬除进钉点处皮质骨,开口器开口,恒力持稳探路器缓慢进入,在松质骨内应阻力不大且均匀,如有大的阻力,可能遇到骨皮质,应拔出探路器,将咬除的棘突剔净、修剪成骨条后填入钉道,再次用探路器,则易控制方向,避免滑入原钉道。进钉前一定要用探针探测钉道四壁有明显骨性感,证实钉道在椎弓根内,方可缓慢拧入螺钉。
腰椎
椎弓根螺钉进钉点:
1.Roy-Camille提出以下述两条线的交点为进针点,垂线为过关节突关节间隙的延长线,水平线为横突平分线。 
2.Magerl采用的进钉标志为沿固定椎体上关节突外缘的垂线与横突平分线的交点。
3.Krag对Magerl的方法进行了改进,进钉点较Magerl方法更靠外,其水平线为横突上2/3与下1/3的交界线。
4.Levine和Edwards “上内法 ” 的纵向参考线与Magerl技术相同,但水平参考线为横突下1/3。
5.“AO”推荐的腰椎椎弓根定位点为上关节突外绦的切线和横突平分线的交点,该交点位于上关节突与横突基底之间的交角处。

我国学者通过对国人脊柱标本的研究,提出了以下几种定位方法:
1.单云官的“十”字定位法,L1-L4在上关节突的乳突后缘中点划垂直线,在横突的副突上划水平线,两线的交点为进钉点。L5的进钉点则在上关节突的乳突和横突副突之间最深处的中点。
2.郑祖根等提出腰椎定位点为横突中心线与上下关节突关节面纵向连线的交点。
3.陈耀然则提出,L1-L3椎弓根进钉点以相应椎骨上关节突外下线交点之下外1mm处为进钉标志。
4.候树勋等提出将椎弓根在关节突上的投影点,其左右定位标志为关节突后部内外侧线间5个等分点的第一线,上下定位标志为横突上、下缘,中轴的水平线及其上下缘分别与中轴线之间的两条平分线。他们得出结论:绝大多数椎弓根中心点集中在关节突中点及外缘所做的两条垂线与横突上缘与中轴线所在的两条水平线围成的四边形内。L1-L4采用关节突外缘垂线与横突平分线的交点,L5则在关节突外缘以外5mm与横突平分线的交点上。不同的椎体应选择不同的定位方法。
5.王景臣等提出腰椎椎弓根定位点在乳突、副突及下关节突关节面外上缘连线形成的三角形顶角角分线中点处,此处与椎弓根长轴线重合或极其接近。       
总结
- 以上资料可以看出,不管哪一种定位方法,均以横突和关节突为定位标志,大多数以横突平分线与过小关节间隙垂线的交点做为定位点。
- 但是用横突平分线作为椎弓根中心点的横向定位标志欠准确,容易导致进钉位置偏下,造成椎弓根下缘皮质破裂及神经根损伤。而且横突存在着各种变异,如横突缺如可造成定位标志丧失,横突不对称,横突过小及横突肥大均可造成定位错误。特别是L5横突变异性肥大最多见,易造成定位失败。
腰椎椎弓根螺钉置入方法
腰椎进钉点
1、人字嵴顶点(上关节突根部后外侧的副突脊与峡部脊会合点)进针法,此位置变异小(出现率为98%),定位咬掉副突
2、交点法:横突横轴中线与经小关节外侧的纵轴线交点,或者上关节突外缘,
3、复杂病例切除部分椎板,直视下植入椎弓根螺钉也不失为一种安全的选择
腰椎进针角度
- 矢状面角度:L1-L3有5-10度的内倾,L4-L5有10-15度的内倾。
- 水平面角度:L1-4:与终板平行;L5: 下倾10度(L5椎体后倾)
腰椎选螺钉
- L1~L5需螺钉直径6.5mm, 40-45mml螺钉


手术注意事项
1、术前一定要有清晰的腰椎正侧位片,正位片以提示水平方向上入钉位置,侧位片上可以提示垂直位上入钉位置。
2、入点要准确并适当扩大,可用三棱锥开口或者咬骨钳咬除定位点骨皮质。
3、确定好大致方向后,适当用力谨慎开路,尖端圆钝探针在进针过程中不应该遭遇明显阻力不能有“落空”感或阻力骤强,在最初的5~15mm遭遇阻力,应及时调整进针点和角度。如遇到坚强阻力,建议先退出,重新选择方向进入,务必顺应椎弓根方向,椎弓根内部是松质骨,外侧是皮质骨,相对可以自动导向,前提是入点准确并适当扩大;向中线倾斜10—15°,注意与椎体上缘平面平行,掌握大概深度3cm。手感很重要。
4、用椎弓根探子探四壁很管理重要,特别是内、下、底壁。
5、下胸椎和腰椎解剖分辨不清楚时把副突、下关节突咬掉,再部分咬除上关节突,直视椎弓根内壁和椎弓根入口。
6、宁外勿内,宁上勿下;旋转为主,前进为辅;边进边探,见硬就停,及时调整,仅用指力,切忌强拧。
7、螺钉直径以不超过椎弓根外皮质直径的83%为宜
德医学院课程表

点击图片进入UBE解剖班
