2021-06-28 16:07:24512浏览
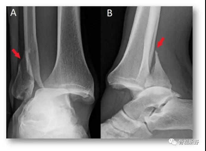
Bosworth骨折手法复位困难,但也不是绝对不能手法复位,也可先试行手法复位。下文报道了一种闭合手法复位新方法。
手法复位
Bosworth骨折手法复位困难,但也不是绝对不能手法复位,也可先试行手法复位。下文报道了一种闭合手法复位新方法。

手法复位前X光片

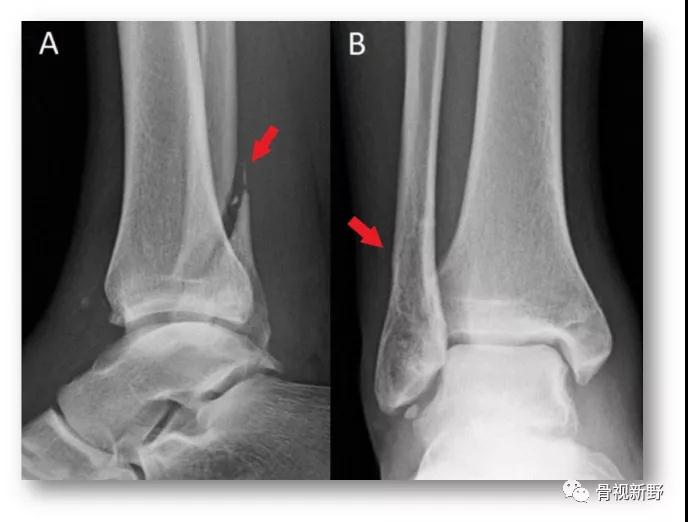
氯胺酮基础麻醉下,患者屈膝位,踝关节背屈位牵引,通过足的旋后、内旋给距骨施加一个前向力,以大体复位踝关节(此时如沿腓骨远、近端触诊,会发现腓骨仍然交锁于胫骨后方)。腓骨解锁:一手手指置于腓骨干后内侧面并向前、外推挤,另一手置于胫骨干维稳、并作反向对抗。触诊发现腓骨解锁(如下图)。
手法复位成功(X光片)
