首页/关节/TKA中骨水泥知识,你真的都 get 了吗?/
TKA中骨水泥知识,你真的都 get 了吗?
2022-10-08 11:44:031757浏览
骨水泥己广泛应用于骨科临床,骨水泥固定可保证术后假体的即时稳定,在骨组织-骨水泥-假体界面上无任何微动,允许术后早期负重,疗效肯定。

骨水泥技术不良可导致

1、假体早期松动移位2、假体松动导致的骨溶解

骨水泥层包括

1、假体与骨面之间层2、骨水渗入松质骨层

骨水泥层厚的影响

1、骨水泥层厚不足:降低固定强度,影响假体生存率2、骨水泥层过厚:热损伤,骨坏死3、最佳:骨水泥渗入松质骨3-5mm

骨水泥层厚要求

1、假体与骨要接触2、假体与骨面之间层厚<1mm3、骨水泥渗入松质骨最佳深度3-5mm

骨床准备

1、建议应用止血带2、建议脉冲冲洗3、纱布擦干净松质骨床4、松质骨中碎骨片及血液必须冲洗干净5、界面存在血液,将降低50%的抗剪切强度

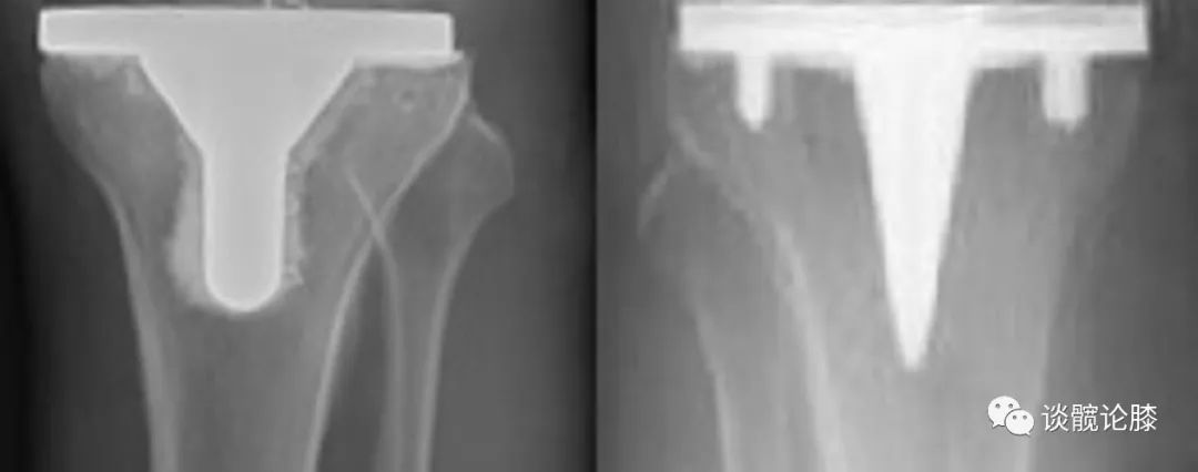
骨水泥按涂抹范围分

1、全层骨水泥技术(左图):平台下方及中心杆周围均涂抹骨水泥2、表面骨水泥技术(右图):仅在平台下方均涂抹骨水泥(研究显示:PS假体,两种疗效相似;CR假体,表面骨水泥技术松动率高)

有限元分析:表面骨水泥技术术后,胫骨近端应力遮挡小生物力学:表面骨水泥技术,术后假体稳定性较差

影响骨水泥渗入松质骨深度的因素

1、假体稳定性:骨水泥渗入深度2、渗入深度:最佳3-5mm,>5mm,骨坏死3、工具:手工即可,无需骨水泥枪4、影响因素:不可控因素(松质骨质量和孔隙率);可控因素(压力、骨水泥粘度、冷藏、室内温度)

压力与骨水泥粘度

1、压力越高,骨水泥渗入松质骨深度越大2、骨水泥粘度越低,骨水泥渗入松质骨深度越大

冷藏:零度冷藏可以增加骨水泥渗入松质骨深度

室内温度:室内温度越低,骨水泥渗入松质骨深度越大

胫骨骨水泥涂抹方法

方法1: 10g骨水泥涂抹于胫骨假体下面方法2: 20g骨水泥涂抹于胫骨平台下面方法3: 20g骨水泥平均分,一半涂抹于胫骨假 体下面,另一半涂抹于胫骨平台骨面上(√)方法4: 20g骨水泥平均分,一半涂抹于胫骨假 体下面,另一半涂抹于胫骨平台骨面上,并手动加压骨水泥(√)方法5: 20g骨水泥用骨水泥枪注入胫骨平台骨面上

股骨骨水泥涂抹方法

方法1: 骨水泥分别涂抹于股骨远端及前面截骨面,假体后髁部分(√)方法2: 骨水泥涂抹于各个股骨截骨面上方法3: 骨水泥涂抹于股骨假体各个面上,股骨不用骨水泥方法4: 骨水泥分别涂抹于股骨假体及股骨各个面上

友情链接: