首页/牙体牙髓/细小钙化根管的三种诊断方法!/
细小钙化根管的三种诊断方法!
2022-10-14 11:13:571423浏览
细小钙化根管的三种诊断方法!

X线诊断

完全钙化根管在X线片上的表现是根管影像模糊,密度增高,根管密度与周围的牙本质密度接近,甚至无法区分根管与牙本质的影像。有些根管,可表现为根管影像时断时续或模糊不清,为不完全钙化根管表现(图1A)。细小根管的病例在X线片上,根管影像隐约可见,与同名牙或邻牙相比,根管较为细小、影像清晰度降低。

图1 上前牙根管钙化病例

A. X线片显示21根管完全钙化、22根管不完全钙化; B. CBCT图像显示21根管中1/3段完全钙化、22根管中1/3段未见钙化; C. CBCT图像显示21、22根管根尖1/3段均完全钙化


CBCT诊断

锥形束CT( CBCT)能重建根管的三维结构,从冠状面、矢状面及横断面三个面连续观察根管的解剖结构、走向及钙化情况。目前,小视野CBCT物理层厚可达76μm,对根管系统的显示明显优于其他影像学手段。观察根管的CBCT图像,冠根向横断面能够比较直观地显示根管中央的钙化情况。观察时可从髓底开始,将横截面断层由冠方向根尖方向推移,逐层观察。正常根管位于牙根的中央部位,呈圆形或椭圆形暗影,与周围的牙本质所显示的致密白色影像有明显区别。细小钙化根管表现为横截面中央的暗影变淡、消失,与周围牙本质影密度接近或相同,与同一患牙其他根管及正常邻牙的根管影像则有明显区别。通过CBCT,还可以测量钙化根管的长度及范围。

根管堵塞处理的准备工作

检查细小钙化根管的根管口,即使是在口腔手术显微镜下,也不容易被发现。在钙化根管的早期,钙化牙本质的颜色可能与周围正常牙本质不同,因此,多数情况下,利用口腔手术显微镜能够发现根管所在位置。有的钙化根管牙本质与周围牙本质颜色相似,难以区分,此时借助手术显微镜的高倍放大作用,结合根管解剖知识,仔细观察颜色的细微差异,有助于提高探查根管口的成功率。完全钙化的根管,表现为均质的硬组织结构,有时与正常牙本质结构难以区别,当采用各种方法均无法疏通时,为了避免产生新的并发症,不宜强行疏通,可定期追踪观察(图2)。

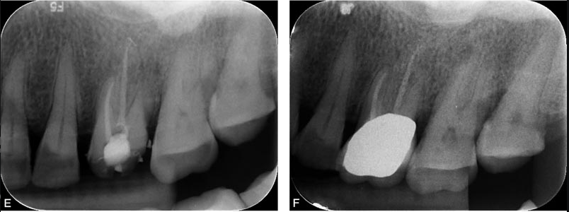
图2 钙化根管病例

A. 26再治疗术前; B. X线片显示26远颊根管钙化; C.手术显微镜下显示26远颊根根管钙化情况; D. CBCT图像显示26远颊根管完全钙化; E. 26根充后; F.术后1年观察,26根尖周组织情况良好

友情链接: