首页/创伤/最全:胫骨平台骨折的最佳诊疗流程,全面解析!/
最全:胫骨平台骨折的最佳诊疗流程,全面解析!
2022-10-17 11:05:487402浏览
如何处理关节内的和关节外的胫骨平台骨折,需要根据骨折的「个性」来决定。对于手术的决策,则需要综合考虑以下因素:病人的基本情况、软组织条件、骨折形态与类型,并结合所在医院的环境设备与术者的经验水平。

如何处理关节内的和关节外的胫骨平台骨折,需要根据骨折的「个性」来决定。对于手术的决策,则需要综合考虑以下因素:病人的基本情况、软组织条件、骨折形态与类型,并结合所在医院的环境设备与术者的经验水平。

影像学检查


传统的正、侧位X线检查非常重要,双侧45°斜位也可作为补充。但是X线所提供的信息不足以充分评估胫骨平台骨折类型。在X线的基础上增加CT扫描能够提高胫骨平台骨折分型的观察者间及观察者内可靠性。


术前CT扫描提供的多个切面以及三维重建已经成为胫骨平台骨折分析的标准工具。CT扫描的时机尽可能选择在进行初始复位并通过石膏或者跨关节外固定架固定后。随着CT技术的发展,骨折的位置及其累及的“柱”受到了越来越多的关注(图6.8.1‑2),有时由于骨折的位置的关系,其损伤范围在X线上难以发现。


图6.8.1-2

后外侧胫骨平台骨折的X线片(a),骨折形态不如CT的轴位(b), 冠状位(c)和三维重建(d)那么清楚。


解剖


内侧平台稍大且呈凹形,外侧平台较小而凸起,外侧关节面比内侧关节面稍高。内侧髁比外侧髁坚实。因此,外侧髁更易发生骨折,并伴有关节面的压缩和粉碎。内侧平台的骨折常常表现为一整块,还经常合并更为严重的损伤和骨折脱位(图6.8.1‑4)。

图6.8.1-4 a-b

内侧胫骨平台骨折形态以「整块移位」居多,关节面的损伤不那么严重(a);外侧胫骨平台骨折更常见,可能伴有关节面的塌陷和粉碎(b)


后内侧脊是胫骨近端最坚硬的部分,它通常作为术中复位的参考标志。胫骨结节和Gerdy结节是外侧的两处骨性突起,它们分别是髌腱和髂胫束的止点。腓骨头提供外侧副韧带以及股二头肌的附着止点,同时为胫骨近端的外侧提供支撑作用。这些解剖标记在进行手术切口规划时十分重要。


前、后交叉韧带以及后内、后外侧复合体是稳定膝关节的四个主要韧带结构(图6.8.1‑5a),在6.7.2章节中有更为详细的介绍。半月板可以缓冲膝关节的受力,同时也能提高胫股关节的稳定性。因此,在术中应尽可能予以良好的修复和保护。腓总神经、腘动脉的胫后动脉分支以及胫腓干动脉(tibioperoneal trunk)是至关重要的结构,应该在手术时给予良好的保护[7,8](图6.8.1‑5b)。


图6.8.1-5 a-b 图示胫骨平台后外侧和后内侧结构

a 稳定膝关节的四条主要韧带,后外侧和后内侧复合体形成补充:1 前交叉韧带;2 外侧副韧带;3 后交叉韧带;4 内侧副韧带

b 胫后动脉双分叉。该分叉位于外侧平台(1)远侧27‑62mm,位于腓骨头(2)远侧17‑50mm。它向远端继续走行成为胫后动脉和腓动脉。此处可能存在解剖变异,胫腓干动脉可能并不存在,因此所有的三条动脉(胫前、胫后、腓动脉)都起源于同一处,形成一个三分叉。


一项近来提出的手术理念将胫骨近端分为三个柱:外侧柱、内侧柱以及后侧柱。每个「柱」都包含了其对应的关节面部分及支撑的干骺端骨质。该理念有助于理解骨折的类型、规划手术的入路并指导放置各柱的支撑钢板[9](图6.8.1‑6)。


图6.8.1-6  三柱分型

O点代表膝关节的中心,A点代表前方的胫骨结节,D点代表胫骨近端的后内侧脊,C点代表腓骨头最前缘,B点代表胫骨平台后方的骨沟,将后侧柱分层内侧和外侧部分


分型


AO/AO骨折脱位分型(图6.8.1-7)和Schatzker分型(图6.8.1-8)得到了广泛的应用。基于CT并结合损伤机制的三柱分型能为复杂胫骨平台骨折的诊治提供更为直接的指导[9](图6.8.1-6)。

图6.8.1-7  AO/OTA骨折脱位分型‑胫骨近端

41A 胫骨,近端,关节外骨折;41B 胫骨,近端,部分关节骨折;43C 胫骨,近端,完全关节内骨折



6.8.1‑8 a‑f Schatzker分型


手术指征

一般来讲,手术指征包括:

  • 开放性骨折
  • 骨折合并神经血管损伤或骨筋膜室综合症
  • 骨折伴脱位
  • 移位的关节内骨折
  • 关节面的塌陷引起了膝关节不稳
  • 合并力线不良,尤其是内翻的非移位干骺端压缩骨折
  • 多发伤

手术时机

急诊时予以一期闭合复位和临时跨关节外固定架固定,软组织稳定后采取二期最终内固定手术,这样的分期处理适用于:

  • 开放性骨折
  • 急性血管损伤
  • 严重的闭合性软组织损伤
  • 多发伤的损伤控制性手术

在病情稳定后,即可完善相关诊断检查,从而对骨折的类型及软组织情况进行彻底的评估和分析。软组织肿胀消退后(通常10-14天),方能安全地实施手术。发生骨筋膜室综合症或开放性骨折的患者,一期可能无法关闭伤口,可以应用负压吸引伤口、植皮或旋转皮瓣,以在最终内固定手术前获得临时的软组织覆盖。

安全进行切开复位内固定手术的一个很好的临床指征是肿胀的皮肤出现皱缩,表明肿胀消退(图6.8.1‑1b)。

内固定选择


带透光杆的外固定支架通常用作分期手术的一期固定物,或处理软组织情况较差的患者。3.5或4.5mm的拉力螺钉可用来固定关节面骨块,也可用作复杂关节面骨折的软骨下排钉支撑。钢板固定是通过一块3.5或4.5mm的锁定钢板来实施,其可用作桥接钢板或支撑钢板。非锁定钢板(例如有限接触‑动力加压钢板)可用于骨质良好并需要支撑固定的B型骨折。较小的2.4或2.7mm锁定钢板可用作复位钢板或张力带钢板,有时也可用于固定某特定的骨块。螺钉单独固定(排钉技术)可以用于单纯塌陷型骨折中(Schatzker III型)。带近端交锁的髓内钉可以考虑用于A型骨折中。


手术室布置


患者放置于仰卧位。大腿帮上止血带,仅在需要时充气。在术前准备阶段用手对患肢保持轻微的牵引。使用合适的消毒剂对大腿中部至足部的暴露区进行消毒。患肢的铺巾采用一次性U形铺巾或四肢铺巾。足部和小腿采用弹力织物包裹并使用胶贴固定(图6.8.1‑9)。


图6.8.1-9 患者的仰卧位以及铺巾情况


主刀医生和助手立(或坐)于受伤肢体一侧,手术室的工作人员站在主刀医师旁边,将透视机器放置在对侧,屏幕放置在手术团队和透视技师都能看到的位置(图6.8.1‑10)。


图6.8.1-10 手术相关人员和透视机器的位置


手术入路

前外侧入路

该入路应用最为广泛,通过横行分离半月板胫骨韧带实现外侧关节切开,向近端提起半月板暴露胫骨平台外侧关节面。下列解剖标志十分重要:关节线、Gerdy结节、腓骨头尖部以及股骨外上髁。将膝关节屈曲30度,作一有少许弧度的纵行切口,起于股骨外上髁,向下在Gerdy结节和腓骨之间走行(图6.8.1‑11)。


若需要更大范围的暴露时,该切口可以向近端或远端延伸。深部分离需要纵行切开髂筋束,注意避免损伤其他可能发生移位的组织结构,比如外侧半月板。探及半月板,留置缝线后向近端提起,即可观察半月板下方的外侧关节面。


图6.8.1-11 a-b 胫骨近端前外侧入路

1、髌骨 2、胫骨结节 3、腓骨头  4、隐神经 5、腓总神经 6、髂筋束 7、Gerdy结节 8、外侧半月板9、横行切开半月板胫骨韧带

后内侧入路

该入路在仰卧位实施,垫起对侧的髋关节。推荐用于内侧柱骨折或后侧柱内侧的骨折。沿后内侧脊作纵行切口,可以向前牵开暴露或者切断鹅足止点(图6.8.1‑12),缝皮时再修补。若要暴露半月板或者关节面,注意不要损伤后内侧复合体,该结构是稳定膝关节的重要结构。

图6.8.1-12a-b 胫骨近端后内侧入路

1、髌腱 2、鹅足 3、大隐静脉和隐神经 4、腓肠肌内侧头 5、半腱肌 6、内侧副韧带


后外侧入路

外科医生应该对膝关节的解剖有彻底的了解,因为该入路有损伤腓总神经的风险。该入路实施时患者保持侧卧位,沿腓骨头纵行切开皮肤,通过其下两个不同的手术窗来同时暴露外侧平台的前方和后方(图6.8.1‑13)。切口起于关节面上方3公分,平行于腓骨沿着Gerdy结节后方纵行向下。先切开外侧关节囊,从背侧切开髂筋束,然后从Gerdy结节上剥离髂筋束的背侧纤维。切断半月板胫骨韧带,向上提起半月板暴露外侧关节面。

第二个手术窗位于股二头肌腱的后侧,暴露腓总神经,使用宽带进行标记,手术全程都要注意保护。分离腓总神经、股二头肌腱和外侧副韧带的后方,暴露胫骨平台的后外侧角。该入路可以暴露并复位后外侧面,并使用螺钉固定,但使用钢板固定困难且危险,因为腓总神经和胫腓干动脉/胫前动脉严重限制了远端的分离暴露。关节进行分离,股二头肌腱和外侧副韧带,整个外侧平台包括后外侧角都可以通过这个切口进行观察。


图6.8.1-13a-b

a、胫骨近端后外侧入路:红色实线=皮肤切口,外侧柱手术窗(2),后侧柱外侧部分手术窗(3)

1、外侧柱的骨折窗;2、后柱骨折外侧部分或者后外侧关节面的骨折窗

b、两个手术窗的深层结构:1、腓总神经 2、外侧柱的手术窗 3、后侧柱外侧部分的手术窗 4、腓肠肌外侧头 5、股二头肌 6、腘 肌腱 7、外侧副韧带 8、腓总神经 9、腓骨头

后侧倒L入路

对于后侧柱或后侧柱合并内侧柱的胫骨平台骨折,可采用一种后侧倒L入路[10]。患者采用一种“漂浮体位”或俯卧位,切口始于腘肌中点,沿腘窝的皮纹横行走形,于腘窝内侧角垂直转向,平行于胫骨后内侧边缘向远端延伸(图6.8.1‑14)。


分离并提起全厚皮瓣,暴露时注意保护隐神经和小隐静脉。钝性分离暴露腓肠肌内侧头,贴着后胫骨后内侧边界切开腓肠肌内侧头的深部筋膜,筋膜切开后,从胫骨后方提起并向外侧牵拉腓肠肌内侧头,这样可以保护腘血管神经束并暴露骨折,后侧柱以及后方膝关节囊。避免过度向后外侧腓骨的方向剥离,因为这样容易损伤腘动脉的分叉(图6.8.1‑5b),若把拉钩放置在腓骨颈周围,也有可能损伤腓总神经。


图6.8.1-14 a-b 胫骨近端倒L入路的后面观


骨折复位

单髁的损伤通常采用纵行切口,该切口下可以直接进行关节复位,然后放置拉力螺钉或排钉,通过植骨或骨替代物来支撑软骨下骨质,并通过支撑钢板固定。

关节内骨折的复位通常需要切开关节囊后,直视关节时进行操作。对于外侧胫骨平台骨折,可以向外翻转骨折块及其软组织附着,以直视关节面的压缩。塌陷的区域和骨块可以从下方使用顶棒仔细地抬高;股骨髁可以作为复位的参考模板(图6.8.1‑15),此时应同时留意髁间窝区域,特别注意一下前、后交叉韧带的情况。


图6.8.1-15a-b

关节面塌陷必须使用顶棒小心地抬高,顶棒可以经由骨折线或者开一个小皮质窗插入


关节面的压缩得到复位后,必须考虑如何维持:简单的劈裂型关节骨块可以通过拉力螺钉固定,但是塌陷型骨折需要在抬高后的关节面软骨下采用2.7或3.5mm的皮质骨螺钉予以排钉固定(图6.8.1‑16a‑c)。对于严重的关节面分离移位,可采用colinear复位钳或骨盆复位钳来夹持复位已经增宽的胫骨平台(图6.8.1‑16d)。

股骨牵开器或外固定架可以帮助间接复位。若胫骨平台骨折累及胫骨干,术中需要牵引利用软组织整复术以纠正短缩、旋转和成角畸形。借助锁定加压钢板的结合孔,打入皮质螺钉有助于骨折复位的最终调整;也可以发挥钢板的支撑功能来作为骨折复位的工具(图6.8.1‑16e)。


图6.8.1-16 a-e 排钉技术可以用来维持复位后的关节面

a 关节面塌陷;b-c 两枚2.7mm锁定螺钉维持复位后关节面;d 使用大的骨盆复位钳来复位胫骨平台劈裂骨折;e 额外的外侧锁定钢板提供排钉支撑


在双髁骨折中,内侧平台骨折通常表现为一整块的大骨块,该骨块的复位是骨折复位的首要步骤。通过把该骨块近端推,复位关节面并在内侧平台骨块的尖端应用一块抗滑钢板,可以将C型骨折转化为B型骨折。外科医生利用一条简单的干骺端骨折线就可以在不打开关节的情况下,获得关节面的完美(间接)复位。


但若骨折在干骺端发生粉碎,关节面的复位是第一要务(将C型骨折转化为A型骨折),而后基于正确的下肢长度、力线和旋转将复位好的关节区骨段与骨干部进行固定。术前应仔细阅读X线,辨认患者的关键解剖标志和骨折特征来计划术中策略,这一点很重要。


骨折固定


骨折的固定应基于损伤机制以及三维形态学。确定骨折的压力侧与张力侧有助于指导固定。骨折的压力侧需要支撑钢板固定;而骨折的张力侧,与压力性损伤相反,只需要一块较小的钢板固定或根据情况不进行固定。干骺端压缩的复位会通常遗留一块骨缺损区域,需要使用自体骨或异体骨或骨替代物进行填充来为复位后的关节面提供额外的支撑。

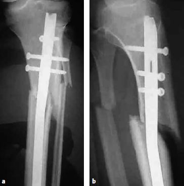
关节外骨折(41A1)

胫骨近端的关节外骨折占所有胫骨骨折的7%,一般骨折类型复杂,合并中至重度软组织损伤[11],近端骨折块有外翻和过伸的趋势,这是由于腓肠肌在后侧的牵拉,胫骨前肌在前外侧的牵拉以及髌韧带在前侧的牵拉所造成。损伤机制的理解对于指导复位与固定十分关键。


大多数这类骨折都能从手术稳定固定中获益,即便骨折移位和不稳定的程度不是很大。由于近端骨节段相对较短,以及前述的生物力学问题,即使有多种固定方法可选,但提供角度稳定性的钢板固定是首选。这类钢板一般通过不暴露骨折端的微创技术或有限切开技术进行放置。


临床应用LISS钢板或者锁定加压钢板于胫骨近端骨折能在骨折愈合、感染率以及二期复位丢失方面得到优秀的结果[12](图6.8.1‑17)。若内侧皮质严重粉碎或者缺损较大,则需要在额外加一块内侧钢板来避免二期力线丢失和内翻畸形[13]。

图6.8.1-17 a-n 一名62岁的男性车祸后左腿受伤(41A3.3)

a-b  X线显示左侧胫骨的节段性骨折。骨折近端有多条骨折线和一个楔形骨块,但是它们都没有移位或移位程度很小。整个骨折可以通过一根髓内钉进行固定,但是由于骨折位置非常高位,因此髓内钉手术将非常具有挑战性,因此最终选择采用MIPO技术进行钢板固定

c-d  关节面的骨折通过软骨下螺钉进行稳定固定,使用点式复位钳通过微创技术经皮复位近端的干骺端骨块,滑入胫骨近端锁定加压钢板,而后使用两枚克氏针在钢板两头进行临时固定


图6.8.1-17 a-n(接上图) 一名62岁的男性车祸后左腿受伤(41A3.3)

e-f  通过一枚单皮质复位螺钉将中间节段拉向钢板

g-h  在骨折区的内侧进行手法加压使得干部复位

i-j  当钻透坚硬的皮质时,干部会被推开,而后再次通过一枚单皮质复位螺钉将其复位


图6.8.1-17 a-n(接上图) 一名62岁的男性车祸后左腿受伤(41A3.3)

k-n  关节面的骨折通过软骨下螺钉进行稳定固定,使用点式复位钳通过微创技术经皮复位近端的干骺端骨块,滑入胫骨近端锁定加压钢板,而后使用两枚克氏针在钢板两头进行临时固定。

术后X线的力线可以接受。注意骨折的每个部分,工作长度都长达3个螺孔(双头箭头)。拉力螺钉打入近端骨折区来维持楔形骨块。但是一般来说,并不推荐在桥接区域放置拉力螺钉,因为它可能会妨碍跨骨折区的微动,从而妨碍骨折愈合。远端内侧的钢板位置稍微偏前以避免和外侧锁定板的螺钉钉道发生冲突。所有的骨折最终均平稳愈合


对于合并严重软组织损伤的不稳定关节外骨折,术后发生伤口并发症的风险很高。为避免伤口并发症,可以使用外固定支架进行临时固定,可以选用跨膝关节外固定。但如果近端的外固定钉要打在胫骨平台上,需确保该钉在关节囊外。待软组织愈合后,可以更换为内固定,也可以将外固定支架作为最终固定。另外也可以选用组合型的外固定支架,骨折近端骨块采用两到三枚全针固定,骨折远端用两枚妥置的Schanz钉固定。还可以依据Ilizarov支架理念使用一个环形支架进行固定。


若使用髓内钉固定,推荐使用近端带多向锁定设计的特制髓内钉。不同于单纯骨干骨折,在插钉前必须先复位近端的骨折。进钉点选择不佳将会导致轴位力线畸形,而固定不牢靠则可能导致近端骨块在术后发生倾斜,从而发生二期力线丢失(图6.8.1‑18)。在插钉时,有时需要用到额外的复位钳,阻挡钉甚至2.4或2.7mm的锁定加压钢板来帮助维持复位(图6.8.1‑19)。在伸膝位采用髌上入路置钉技术可以避免外翻和前屈畸形。


图6.8.1-18 a-b 进钉点错误可能导致前屈畸形和膝内翻或外翻畸形


图6.8.1-19a-b

a  一例胫骨多段骨折患者;b 正确的进钉点可以达成满意的复位和力线


临床结果显示该技术可获得更低的膝前疼痛发生率和更好的胫骨力线、愈合时间和膝关节活动。此外,关节镜和MRI检查发现细致地运用该技术在术后一年随访时并不会引起髌骨关节面的软骨损伤[16]。


部分关节内骨折(41B)


外侧柱骨折:单纯劈裂型(41‑B1.1,B1.3),劈裂合并塌陷/完全塌陷型(41‑B3.1,B3.3)


外侧柱骨折由伸膝‑外翻暴力造成,因此后续的复位和支撑固定必须防止外翻畸形的再发生。推荐采用前外侧入路。单纯劈裂型骨折(41B1.1)可以通过拉力螺钉、支撑钢板或更常用的二者之联合来进行固定。劈裂合并塌陷型(41‑B3.1)是指外侧柱骨折合并关节面塌陷,完善的术前检查(例如,CT扫描)是精确评估关节面损伤的关键(图6.8.1‑20),将塌陷的骨块复位后,克氏针临时固定有助于稳定关节面,骨折的最终固定最好使用钢板,拉力螺钉可以单独或者经钢板联合应用。


对于有关节面塌陷的骨折,推荐采用提供角度稳定性的外侧锁定钢板或可在软骨下置入排钉的钢板来支撑塌陷的关节面(图6.8.1‑15,图6.8.1‑21‑22),这样经过钢板近端打入的螺钉就可以支撑关节面。医生还需要留意一种可能,即半月板撕裂后发生移位,卡在骨块中间,从而妨碍解剖复位,在关节面重建后需要对半月板的撕裂进行修补。


图6.8.1-20 a-d

a  CT冠状位图像显示外侧平台的劈裂-塌陷骨折;b  CT横断位显示外侧平台前外侧关节面的严重缺失;c-d  三维CT图像


图6.8.1-21 a-b

使用大型牵开器和大型骨盆复位钳对外侧41B3型骨折进行间接复位,初步采用克氏针固定


图6.8.1-22 a-c 使用骨替代物

a  一例65岁女性的41B3型骨折;b  CT矢状切面显示关节面塌陷;c  关节面复位后,使用骨替代物来填充骨缺损区域,采用锁定头螺钉和外侧支撑钢板来进行牢靠固定。


内侧柱骨折(41‑B1.2,41B1.3,41B2.2,41B3.2)


胫骨平台内侧柱骨折,伴或不伴关节面塌陷,是由伸膝-内翻暴力所造成,同时可能合并脱位。因此,医生必须警惕相关血管、神经、韧带损伤的可能。内侧需要支撑钢板固定以防止膝内翻畸形,骨折固定后必须仔细检查膝关节的稳定性,并将结果记在手术记录中。


内侧柱骨折常伴发后外侧软组织损伤和不稳定,必须在治疗的早期修复后外侧角。


内侧柱骨折经常合并后侧柱骨折,该类型骨折的治疗与单纯内侧柱骨折不同。


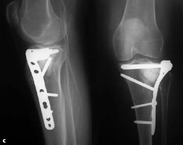
后侧柱骨折(41B2.3,B3.2)

骨折脱位累及后侧柱的内侧部分是后侧柱骨折中最多见的类型,通常合并有后侧中央或者后侧偏外的关节面塌陷[17]。该类型骨折由屈膝-内翻暴力造成,轴向牵引下保持膝关节伸直外翻可以成功地进行早期复位,脱位应该得到纠正并通过后内侧支撑钢板进行固定,塌陷的关节面的处理可根据具体位置来选择不同的手术入路,后侧倒L入路是一个合理的选择(图6.8.1‑23)[17]。


此外,前交叉韧带撕脱骨折和外侧半月板撕裂经常与胫骨平台后柱骨折同时发生,应对半月板的撕裂予以修复。后侧柱的外侧部分骨折的复位比较困难,没有标准化的治疗方案,即使对于经验丰富的外科医生而言,手术暴露该区域进行骨折复位和固定也充满了挑战。

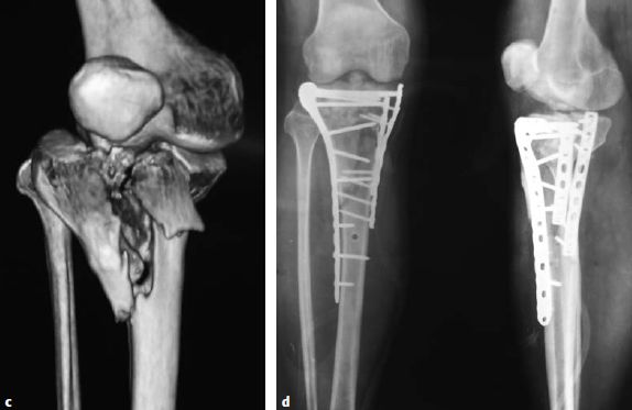
图片图6.8.1-23 a-e 后侧柱骨折

一名43岁男性骑摩托时受伤,他的左腿发生了胫骨平台的后侧柱骨折

a  术前X线;b  CT横断位显示内侧骨块累及了后侧柱,同时后侧中央存在关节面的塌陷;c  对这名患者使用倒L入路;d  一块4.5mm长钢板放置在柱上,T型钢板被用来支撑关节面的塌陷;e  术后X线


单纯塌陷型骨折(41‑B2)


大多数该类型的损伤发生于外侧平台,他们通常被描述为平台的局部压缩。该类型骨折的诊断必须仰仗CT扫描,因为常规X线检查无法很好的判断塌陷的程度与位置[5]。完全恢复塌陷关节面的高度非常重要,因为该类型骨折容易发生术后再塌陷、轴向力线丢失和外翻畸形。这类骨折最好通过排钉技术和钢板进行治疗,术中关节镜也可以帮助判断复位情况。

完全关节内骨折(41C)

该类型的骨折通常由高能量创伤造成,伴发的并发症较多,可同时累及内侧柱和外侧柱或者是所有三个柱。除了造成髁部的骨折,骨折也可能延伸至骨干部,并有很高的风险发生骨筋膜室综合症和严重的软组织损伤。许多这类骨折需要一期应用跨膝外固定支架多日以等待软组织平稳。


对于外侧柱的劈裂骨块,可以用大型的点式复位钳经皮复位(图6.8.1‑16d)。对于内侧骨折块,骨折块通常较大,推荐采用独立的后内侧切口并应用3.5mm钢板作为支撑固定。对于许多内侧干骺端的骨折类型而言,完全可以在不打开关节直视关节面的情况下直接解剖复位内侧髁。


外侧平台骨折随后可以通过前外侧或者髌旁外侧切口来凑上内侧髁(解剖复位)。随后,在实施最终复位和固定前,C型骨折就转化成了一个B型骨折。外侧平台关节面塌陷的复位,处理原则与前述41B3型骨折类似。解剖复位关节面后,在应用钢板前使用拉力螺钉进行固定非常重要,因为干骺端和骨干部分的粉碎可以通过一块长的3.5或4.5mm的锁定钢板进行桥接固定(图6.8.1‑24)。


还有一种特别的骨折类型,同时累及双髁以及胫骨结节,胫骨结节上带有完整的伸膝装置附着,应用拉力螺钉或小钢板(用作张力带)来加强固定非常重要,这样有利于早期的功能锻炼[18]。对于累及后侧柱的C型骨折,后方的入路,例如倒L入路将有助于实现精确的复位。

图片图6.8.1-24a-d 胫骨平台双髁骨折一名46岁男性机动车车祸时右腿受伤a  术前X线正、侧位;b  胫骨平台的轴位片;c  骨折的三维重建;d  术后X线正、侧位片

挑战

累及后侧柱外侧部分的三柱骨折是所有类型胫骨平台骨折中最具有挑战性的类型。可采用「漂浮体位」下的后侧倒L入路联合前外侧入路来处理这种类型的骨折(图6.8.1‑25)。

软组织处理和这类骨折的手术时机同样也是挑战。必须高度警惕并积极处理骨筋膜室综合症,因为术后合并症的主要来源之一就是漏诊的骨筋膜室综合症。在有筋膜室切口的情况下进行胫骨平台骨折的固定非常困难,因其有很高的软组织并发症发生率和深部感染率。这种情况下应该考虑使用环形支架进行处理。

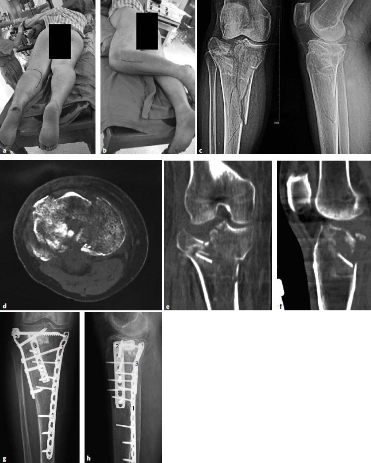
图6.8.1-25 a-h 三柱骨折一名59岁女性机动车车祸时右腿发生了复杂的胫骨平台骨折a-b  漂浮体位下的联合入路;c  术前X线;d  CT轴位片;e  CT冠状位提示内、外侧柱均受累;f  CT矢状位提示后侧柱骨折;g-h  术后X线。钢板1用来支撑内侧柱以防止发生内翻;钢板2用来复位外侧平台和关节;钢板3用来复位和固定胫骨平台的后侧中央区域

同侧胫骨平台骨折(41‑A,B,C型)合并胫骨干骨折(42‑A,B,C型)并不常见,一般都是由高能暴力造成。应该优先处理关节面,处理时需要注意为后续的胫骨干骨折髓内钉置入留出空间[19]。

术后康复

术后应尽早进行股四头肌等长收缩练习,许多医生喜欢在伸膝位制动膝关节2周来使得伤口愈合并放置膝关节屈曲挛缩,CPM机辅助锻炼也可以考虑。根据骨折愈合进程以及软组织恢复的情况,患者通常保持足尖负重6~8周。但极高能量创伤所导致的骨折是个例外,足尖负重应维持10~12周,但是应该在这期间保持主动屈膝锻炼。

友情链接: