首页/口腔正畸/三种情况,详述正畸诊断思路与矫治机制!/
三种情况,详述正畸诊断思路与矫治机制!
2022-10-17 11:15:063358浏览
错颌畸形良好的矫治效果建立在正确的矫治设计基础上,制定正确的治疗计划,需要对患者所有资料进行综合分析及对口腔正畸学知识全面掌握。

1Ⅰ类骨骼 

一、下前牙理想位置

首先找到下前牙根尖区,在其附近寻找到下颌骨正中联合的中心点。从这一点开始做FH平面的相交线,相交角度为65°。这个设定的65°相交线就是理想下前牙的长轴。理想的下前牙切端位置距离APo线的位置为0或1mm(图1)。

图1 下前牙理想位置

二、上前牙理想位置

上前牙切端的垂直角度应该位于上唇下缘3~4mm,前后向上,切端位于APo线前6mm,长轴与上颌PP平面成108°(图2)。

图2 上前牙理想位置

三、上下前牙之间的关系

覆𬌗2mm,覆盖3mm,上下前牙长轴之间角度为125°。根据此关系调整上下前牙角度(图3)。

图3 上下前牙交角

低角,从外观看,上下前牙可以比正常略唇倾一些。UI-PP可能会大于115°,下前牙IMPA可能会大于100°。高角,从外观看,上下前牙应该比正常再直立内收些。UI-PP要小于108°,IMPA小于95°。总之,低角,尽量不拔牙,高角倾向于拔牙。

2

Ⅱ类骨骼 

Ⅱ类骨骼:上颌前突,或者下颌后缩。

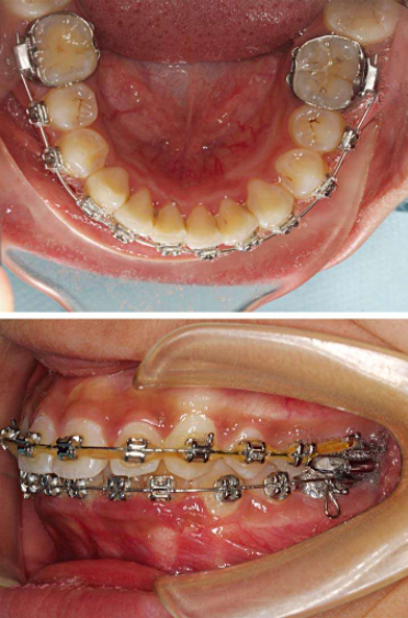
矫治结束后,上前牙要轻度内收,或者下前牙唇倾;这就是前牙对Ⅱ类骨骼的代偿。UI-PP角度会小于108°。按照Ⅰ类的标准设定上下前牙理想位置后,根据上下前牙之间的咬𬌗关系和患者主诉要求重新调整上下前牙位置。IMPA的角度有可能达到100°,LI-APo线距可能是+2mm。Alaxander警告说下前牙近远中向位置的改变不要超过2mm。这是原则,并不是不能逾越的底线,有些时候下前牙可能唇倾得更多,但是我们要警惕复发,越唇倾越容易复发。从改善Ⅱ类面型的角度来说,保持下前牙直立是最佳选择,但这要求上前牙要充分内收,后牙通常都是强支抗设计(图4)。

图4 后牙区种植支抗

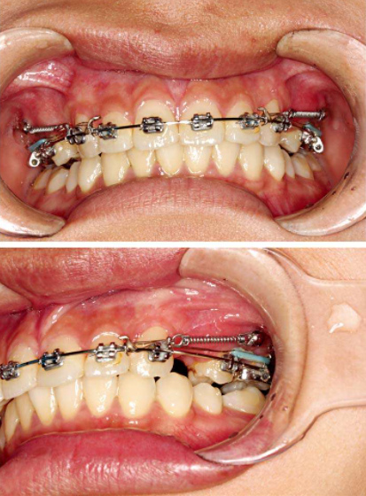
轻度的Ⅱ类骨骼,通过调整上下前牙的转矩角度,可以实现上下前牙正常的咬𬌗关系,同时也能满足患者的主诉要求。但是下颌骨的狭窄空间是限制牙齿代偿的主要障碍,过于迁就上前牙的咬𬌗可能会使下前牙脱离下颌基骨。如果出现这种情况,这就是需要手术的病例。但是这个前提是下颌骨没有生长空间了(图5)。

图5 上、下前牙对Ⅱ类的代偿

下面三种情况能够近中移动下前牙:

1.下前牙在基骨内唇倾

这是有局限的,而且是少量的,最好不要超过2mm。唇倾下前牙的方法:镍钛丝排齐,在不拔牙时,下前牙通常都是唇倾的。如果镍钛丝排齐效果不好,下颌可以使用0.018″不锈钢丝开大曲唇倾下前牙。Ⅱ类牵引也可以唇倾下前牙(图6)。

图6 不锈钢丝开大曲唇倾下前牙

2.下颌骨生长,带动牙齿近中移动

功能矫正器到底能不能引导下颌生长呢?目前还没有定论,我认为功能矫正器只能促进那些能够被促进的生长。通常,均角或者低角者,下颌生长会比较好,高角者下颌生长效果不好。临床上我比较喜欢使用斜导或者Ⅱ类牵引引导下颌向前(图7)。

图7 斜导

3.下颌髁状突在关节窝内位置的改变,下颌近中移动。

研究表明93%的人群正中关系位与正中𬌗位不一致。也就是说头侧中所展示的下颌骨的位置不一定是正确的。正中关系位并不是一个点,而是一个范围,髁状突在关节窝内的位置,前后可以在5mm范围内。这些位置都可以使患者获得舒适的感觉。有一些Ⅱ类深覆𬌗或者上颌牙列不齐可能会造成下颌被迫处于后退位置,在矫正过程中随着上前牙排齐,咬𬌗打开,下颌就被释放出来,下前牙随之前移。这种情况在生长发育期之后依然存在。所以对于一些Ⅱ类,如果覆盖大于6mm,我们通常选择拔上4,下颌暂时不拔牙,等待上颌牙列排齐,上前牙内收达到正常覆盖之后再看下颌位置的变化,重新决定下颌是否需要拔牙。。

图8 上颌拔牙,下颌先不拔牙

3

Ⅲ类反𬌗

下颌生长会使Ⅲ类反𬌗加重,而且不可控制。生长发育期之前的Ⅲ类反𬌗矫治详见早期阻断性矫治。这里只讨论那些生长发育结束之后的Ⅲ类反𬌗矫治。Ⅲ类反𬌗的代偿性矫治,上前牙唇倾,UI-PP角度可能会大于117°,下前牙舌倾,IMPA角度可能会小于95°。所有的上下前牙代偿要受到下颌骨的限制,下前牙应该直立于基骨,或者稍微舌倾。上前牙唇倾也是有限度的,很多反𬌗的患者在反𬌗解除后通常还会抱怨继发的问题:就是上前牙过于唇倾(图9)。

图9 Ⅲ类反𬌗的代偿性矫治

1.下颌可以后退到前牙对刃

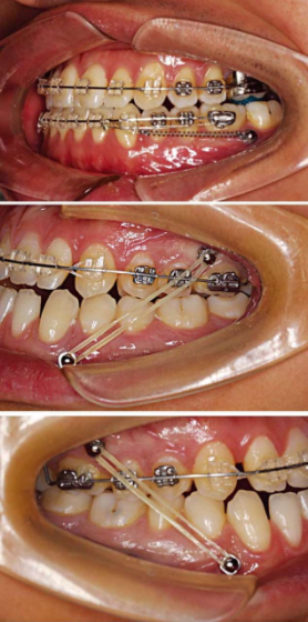
如果下前牙直立或者舌倾,此时下颌不能拔牙,下颌使用种植支抗整体内收下颌牙列,或者上颌种植支抗,在种植支抗上做Ⅲ类反𬌗牵引整体内收下前牙。所有的矫治施力体系都要防止上前牙唇倾。

图10 下颌使用种植支抗整体内收下颌牙列

图11 种植支抗配合Ⅲ类反𬌗牵引

2.有些下前牙唇倾的病例,我们要计算下前牙唇倾比下前牙直立于基骨的差值,比如是相对于直立状态,下前牙唇倾了A°,A/2.5就是下前牙能够内收的量(mm)。所以,如果下前牙唇倾,即使不能后退到前牙对刃,如果前牙反覆盖小于A/2.5,这种反𬌗都可以矫治。如果下前牙比直立状态唇倾7°以上,考虑拔上5下4,如果下前牙比直立状态唇倾7°以下,考虑拔上5下5。

3.如果上前牙唇倾斜UI-PP超过117°,下前牙舌倾斜IMPA小于85°,下颌不能后退到对刃,这种就是手术的病例。 需要考虑理想前牙与初始前牙位置改变需要的间隙量(头影测量分析),也需要考虑牙列排齐需要的间隙量(𬌗面图分析)。两者相加就是间隙分析的总量,可以以此来确定是否需要拔牙矫治。

内容来源《现代口腔正畸技术与临床思维》!

友情链接: