首页/创伤/这些锁骨骨折的并发症,你一定要知道!/
这些锁骨骨折的并发症,你一定要知道!
2022-10-18 10:48:57840浏览
锁骨骨折想必大家都做过不少,那么锁骨骨折的相关解剖你都了解吗?锁骨骨折的并发症你都见过吗?如何避免那些并发症呢?

锁骨骨折想必大家都做过不少,那么锁骨骨折的相关解剖你都了解吗?锁骨骨折的并发症你都见过吗?如何避免那些并发症呢?

今天小编带大家回顾一下锁骨骨折的相关解剖和并发症预防

先回顾一下锁骨的重要结构

最重要的3个东西从它旁边经过

1、锁骨下动脉SCA

2、锁骨下静脉SCV

3、臂丛BP


那么对于锁骨来说大概位置在哪里?大约就在中间的位置,如果四分锁骨,大约在第二区域


从胸腔里面的重建CT我们可以看到,锁骨下动静脉经过锁骨和第一肋骨之间穿过


在临床应用中,当我们看到了这样的片子,那就要小心了!!


对于内侧的这个螺钉就很有可能造成损伤

根据文献回顾,造成损伤的螺钉,大约穿出的皮质大于8mm

1、锁骨下动脉损伤

如果不小心损伤了锁骨下动脉,会致命吗??

目前报道的致命的病例很少,也少有大出血的现象

多数形成了小的假性动脉瘤和血肿


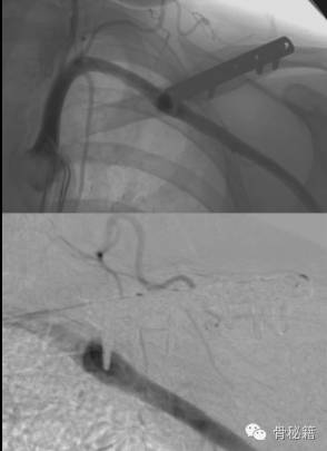
曾经有一例病例报道,进行了假性动脉瘤的切除

我们可以很清楚的看到这个血管和长的螺钉以及整个锁骨和钢板

同时还有一些血管造影的证据也表明了该并发症

2、锁骨下静脉损伤

同样,锁骨下静脉也常在中段损伤

在固定钢板后发现不停的出血

进行取钢板,急救后死过人的

到底致死的原因是什么?

可能是因为大量空气进入血管后,导致了肺部的问题而引起的

锁骨下静脉大约位于锁骨下25mm

3、臂丛损伤

有的是在骨折损伤即刻造成

有的是在内固定时造成

建议:在骨折复位的时候一定要行骨膜骨折块的小心分离,防止骨膜或骨折块与臂丛神经的粘连,在复位的时候进行二次损伤

术前的CT评估十分重要,可以帮助你进行相关的预判

术中技巧

在近端的时候,如果从前向后置钉则需要十分注意

因为血管在近端的锁骨后侧

更加安全的选择是从上到下的方向

中段置钉的时候,血管大约位于锁骨的后下侧,

避免向下成角植入螺钉,而更适合采取水平植入

用钻的时候一定要注意

一般我们正常钻入中间,有两层突破感

当你的钻偏前或偏后,或者后方的骨块粉碎时

则只有一次突破感,常常容易损伤

解决方法:术中:1准确植入   2后方放一个金属器械进行保护

综上所诉,如果你用重建钢板进行固定,那么就要按照上面进行打钉啦

如果是解剖钢板的话,也不能大意哦!


小小锁骨 也可能要命的

医学无小事,更好的理解解剖,更好的理解临床

深入的思考每一个问题,才能让你的水平越来越高

友情链接: