首页/口腔种植/前牙区种植CBCT评价,你看明白了吗!/
前牙区种植CBCT评价,你看明白了吗!
2022-10-24 10:48:071742浏览
前牙区种植中,当骨量足够时,种植过程中几乎没有困难和风险存在。当骨量不足时,种植手术就会相对复杂,需要植骨或者移植骨才能完成。

01前牙区有足够骨量

(一)临床检查和常规牙片

首先在进行临床检查时,可以观察到缺牙区的宽度和厚度,用手指扪诊时前庭沟骨质没有明显的凹陷,这种情况可以拍摄牙片了解牙槽骨状况及与鼻腔的距离。由于牙片显示的范围有限,最好能够拍摄全景片了解邻近结构的情况,比如邻牙的情况、鼻腔底的距离,切牙孔的大小与位置等等。

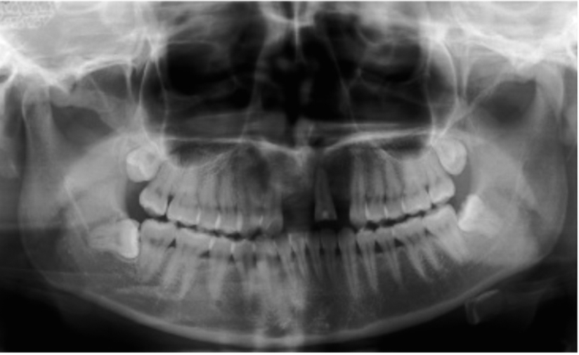
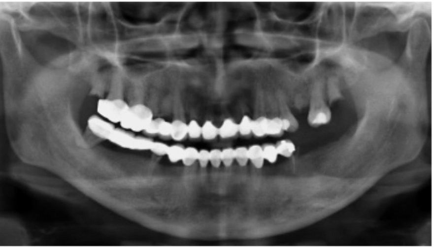
图1 术前全景片显示A1B2缺失


图2 术后全景片A1B2种植术后


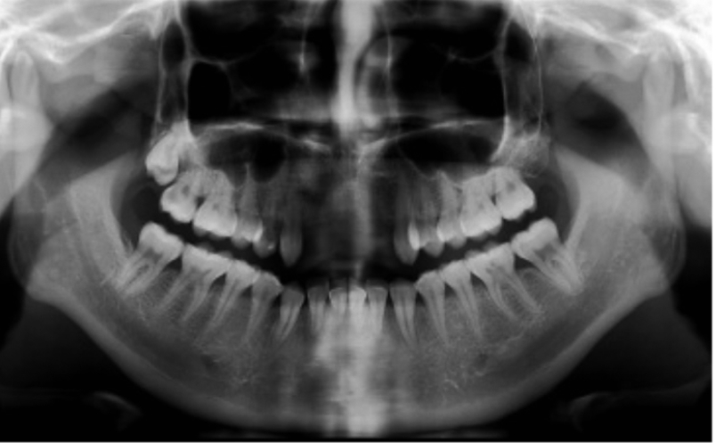
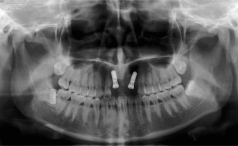
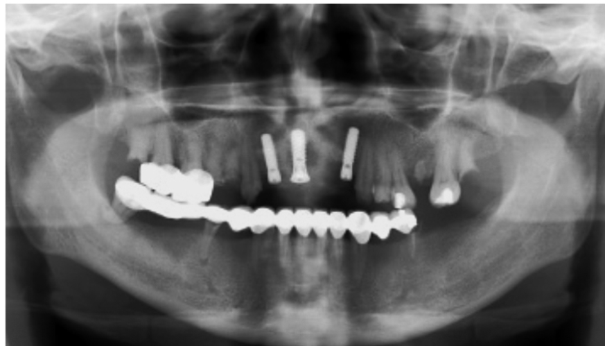
图3 术前全景片


图4 同一患者术后全景片


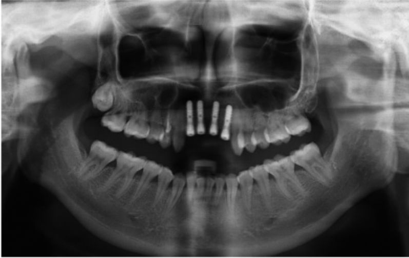
图5 术前全景片


图6 术后全景片


(二)CBCT帮助准确判断

由于全景X线机设计的原因,前牙区必然会受到颈椎、咽腔重叠的影响,常常显示的影像不是很清楚,而且前牙区的水平失真率变化较大,有时候可以看见种植体形状发生改变。必要时可常规拍摄CBCT,以了解骨质高度、宽度以及骨质的密度的状况,有利于种植方案的确定以及植入角度的判断。

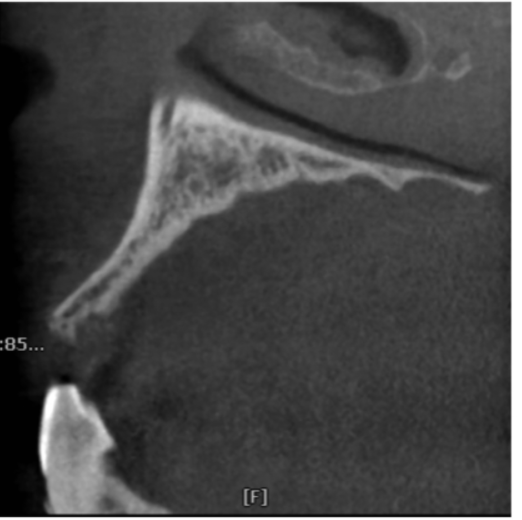
图7 术前矢状位

CBCT片显示牙槽骨密度低,正在愈合中

图8 术后CBCT片矢状位

显示种植体植入5个月后2期修复前的状况

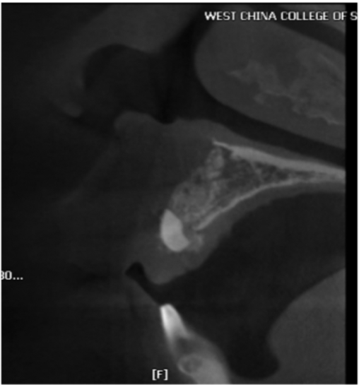
图9 术前术后矢状位CBCT片

A.牙槽骨密度及高度长度均好;B.显示种植体植入后的位置及高度良好

在前牙区有时候可以肉眼见到有足够的骨量,但是其牙槽骨还处于愈合期,甚至有些是牙根的残留,牙槽骨不能正常的恢复,只有通过CBCT才能够清楚地显示。

02前牙区骨量不足

在临床上常常发现前牙区存在骨量不足,年轻人及中年人患者中最常见的是牙槽骨厚度不足,或者是形状明显变形,造成骨量不足,影响种植体植入的路径。

同一个患者前牙区的牙槽骨在不同的位置层面其牙槽骨形状也不一致;

图10 术前CBCT片矢状位显示在不同的层面上颌前牙区的牙槽骨形状不一致

图11 术前CBCT片矢状位显示在不同的层面上颌前牙区的牙槽骨形状不一致,牙槽窝未完全恢复

有些前牙区牙槽骨改变不规则;

图12 术前CBCT片矢状位显示上颌前牙区的牙槽骨形状细小

图13 术前CBCT片矢状位显示上颌前牙区的牙槽骨形状极度弯曲

图14 术前CBCT片矢状位显示在下颌前牙区的牙槽骨形状非常细,上颌前牙区的牙槽骨高度不足

图15 术前CBCT片矢状位显示下颌前牙区的牙槽骨形状细小而且中份骨质较致密

在缺牙时间较长的前牙区牙槽骨的高度也会呈现不足。

图16 术前CBCT片矢状位显示在上颌前牙区的牙槽骨高度明显不足

图17 术后CBCT片

A.矢状位显示植入后种植体的状况;B.水平位显示种植体偏腭侧

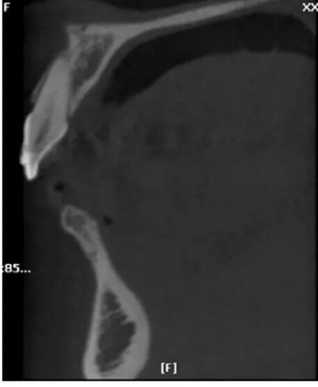
对于高度的判断是十分重要的,如果发生误差,就可能出现在一些报道中见到的种植体突入鼻腔的情况。同时还有一个重要的结构就是切牙孔,其内有神经和血管穿过。应该尽量避免造成切牙孔的损伤。种植前通过检查发现骨量明显不足时,尤其是通过CBCT了解了缺损骨质的多少以及缺损的部位,就可以选择不同的手术方法来获得足够的适合种植体生长的骨量。

图18 矢状位前牙区种植术前唇侧骨量明显不足,还有一个残根影像

图19 同一患者前牙区即刻种植拔除残根唇侧植骨及种植术后矢状位、冠状位及水平位

可以清楚看见植入骨情况A.矢状位;B.冠状位;C.水平位

图20 前牙区牙折后即刻拔除牙后植入种植体

A.可见前牙牙折明显;B.即刻拔除牙后植入种植体,唇侧植入骨粉

在牙槽骨骨量明显不足时,可以先行植骨术,等植入骨与牙槽骨生长愈合完成,再行二期手术进行种植体的植入。

图21 术前CBCT片矢状位

显示在上颌前牙区的牙槽骨高度明显不足

图22 术后CBCT片矢状位

显示植骨后种植体植入,唇侧有明显植入骨影像

图23 植骨术后CBCT片矢状位

显示在上颌前牙区的牙槽骨植骨术后的一个层面

图24 植骨术后CBCT片冠状位

显示在上颌前牙区牙槽骨植骨术后,高密度影为固定骨块的螺钉

图25 植骨术后CBCT片水平位

显示在上颌前牙区的牙槽骨植骨术后的一个层面

图26 植骨术后全景片

全景片显示在上颌前牙区的牙槽骨植骨术后螺钉固定情况

内容来源:《口腔种植影像学》!

友情链接: