首页/口腔修复/贴面牙体预备的方法!/
贴面牙体预备的方法!
2022-11-01 10:32:56864浏览
提到贴面的牙体预备时,大家可能都会觉得:“只要薄薄磨去一层就OK了,很简单的”,但实际上并不是这样的。 另外,贴面也是不是日常临床中经常可以做到,它也与全覆盖冠和嵌体等不同,所以牙体预备上很多处理都让人丈二和尚摸不着头脑。 想必这个很多医生都经历过,在修整预备好的牙体时会有制备过度的问题。

(图1)图2~10就是牙体预备的顺序(模型比作口腔内部)

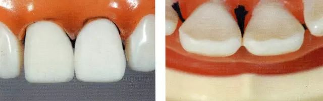
图1 失败的牙体预备。用硅橡胶模型确认,得出右上1的唇侧打磨量过多。

图2诊断用的白蜡设计

图3 模型演练。利用硅橡胶在模型上演练。去除多余的树脂。

图4 开沟。在模型上形成0.5~0.7mm沟痕,再用笔标记出来。在切缘上切削1.5mm使之成为butt joint。使用的车针:CR30

图5 唇侧面的预备。切削模型时,要有从三个面去预备的意识,并把带有记号的地方磨去。使用车针:801-016.801-023(komet),最后用H357RDF18或H217DF21(komet)

图6 邻接面和切缘的预备。避免伤到牙龈,要做排龈。如果遇到插不进邻接面的情况,可以在邻接面预备好后再进行插入。注意预备时不要磨到邻接牙,把硅橡胶模型用在切缘上,这样可以很好把握切削量。

图7 确认唇侧切缘处的切削量。用硅橡胶模型可以确认唇侧面的切削量(约0.8mm)。邻接面预备深度是随着邻接面接触点有无、颊舌宽度、鼓形空隙的大小而变化的。

图8 确认唇侧中央处的预备量。用硅橡胶印模确认预备量。(约0.8mm)

图9唇侧牙颈部预备量的确认。用硅橡胶印模确认预备量。(约0.5mm)

图10 完成牙体预备。以让应力分散型对线角、点角进行了圆滑处理。

友情链接: