首页/骨科小技巧/发生在股骨的“果皮征”!/
发生在股骨的“果皮征”!
2022-11-02 10:56:27827浏览
发生在股骨的“果皮征”!

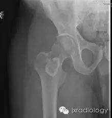
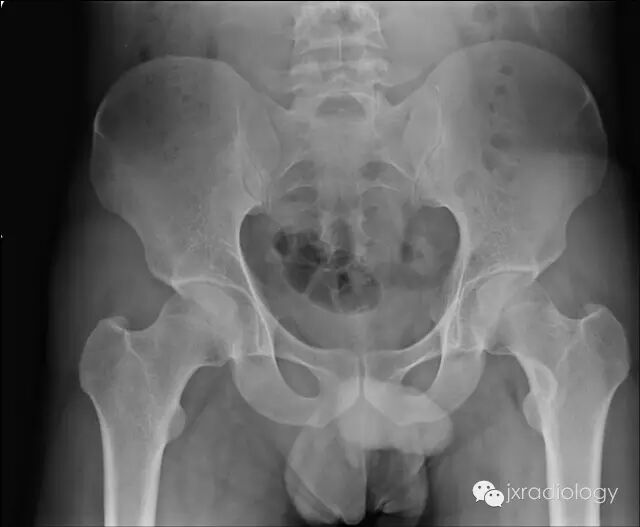
X线检查示骨纤维异常增殖症(Fibrous dysplasia ,FD)病变位于髓腔内,多见于骨干,病变区域多透亮,很少情况下出现高密度影(基质钙沉积时可出现),正常的骨小梁结构消失,代之以细颗粒“毛玻璃”样,有时病变周围的硬化骨带则可组成“果皮征”(rind sign)。


图示

FD是一类良性纤维—骨肿瘤:化生的纤维组织构成的不成熟骨组织替代了正常的板状骨结构,约占良性骨肿瘤的 5%-10%,由于许多患者无症状、未确诊,纤维异常增殖症的真实发病率很难估计。约 75% 的患者在 30 岁前发病,发病率无性别及种族差异。


任何骨骼均有可能受累,但纤维异常增殖症多侵犯股骨(尤其是股骨颈)、胫骨、骨盆、肋骨、颅骨、头面骨及椎体。约 70%-80% 的患者为单处骨骼发病,而 20%-30% 患者为多处部位发病,其中两种较著名的多发纤维异常增殖症业已被报道(McCune-Albright 综合征和 Mazabraud 综合征)。

友情链接: