首页/运动医学/踝关节镜的手术技术要点,一文囊括!/
踝关节镜的手术技术要点,一文囊括!
2022-11-03 11:24:241713浏览
踝关节镜技术由于创伤小、恢复快、疗效好,具有诊断和治疗的双重价值,因此踝关节镜技术是治疗踝关节相关疾病的最有效手段之一。

踝关节镜技术由于创伤小、恢复快、疗效好,具有诊断和治疗的双重价值,因此踝关节镜技术是治疗踝关节相关疾病的最有效手段之一。

历史

1981年 Johnson第 1个在美国文献上发表踝关节镜的手术报告。1988年徐锦森在国内首先报道踝关节镜的应用。随着关节镜技术的进步和手术器械的完善, 踝关节镜手术的适应证逐步拓宽。

解剖及入路

术中体位

常规检查顺序及内容

21 Point examination (Ferkel)8 anterior (anteromedial portal)6 central (anteromedial portal)7 posterior (posterolateral portal)

手术适应症

踝关节撞击征

刘建强 男  30岁

软骨退变

游离体形成

关节清理术后

清除的骨赘及游离体 

剥脱性骨软骨炎

王会余 男  65岁

软骨剥脱

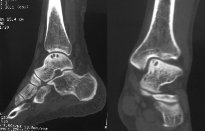
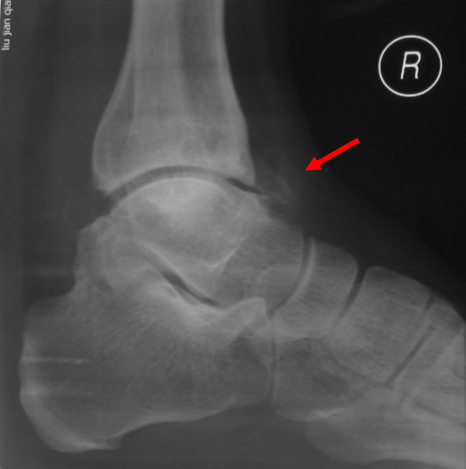
外踝骨折

王岩  男  24岁

软组织撞击

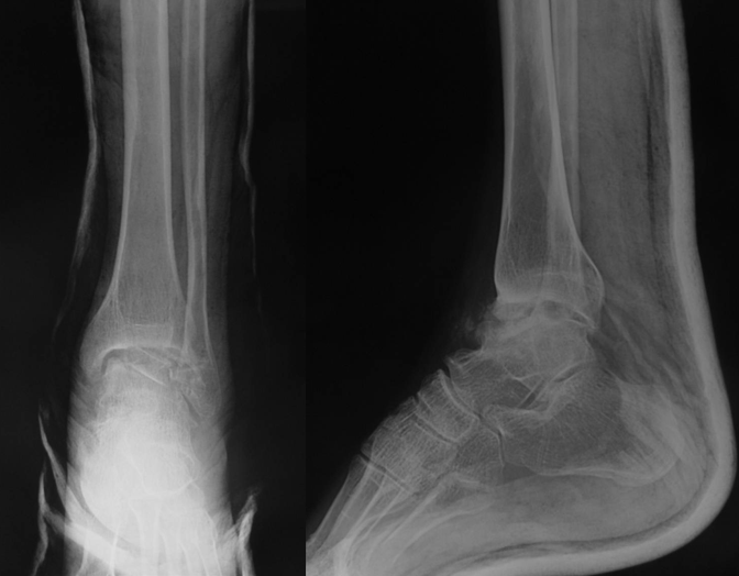
术后复查

关节镜辅助下踝关节融合术

 

孔德春 男性 52岁

术后

植入异体骨条

 关节清理后不植骨  

并发症

612 patients  27 例出现并发症 (4.4%)15 腓浅神经6 腓肠神经5 大隐静脉1 腓深神经Mariani (Arthroscopy April 2001) 

假性动脉瘤

pseudoaneurysm

小结

踝关节镜手术创伤小,痛苦小,恢复快,副作用少,疗效确切。对关节镜技术要求高

友情链接: