首页/创伤/手把手教程:骶骨骨折的骶髂螺钉固定术!/
手把手教程:骶骨骨折的骶髂螺钉固定术!
2022-11-18 10:52:174813浏览
由Vidal J于1973年首次报道。骶髂螺钉是骶骨骨折及骨盆后环不稳使用最多的内固定方式之一,总体适用于无移位或移位较少的骶髂关节损伤、骶骨骨折。手术可在局麻下,经皮微创进行。

由Vidal J于1973年首次报道。骶髂螺钉是骶骨骨折及骨盆后环不稳使用最多的内固定方式之一,总体适用于无移位或移位较少的骶髂关节损伤、骶骨骨折(Mendel T, 2011)。手术可在局麻下,经皮微创进行。

术前准备

(1)解剖变异识别:据文献报道,有高达40%的患者有骶骨解剖变异,术前影像资料仔细辨认,骨盆入口位可以很好显示畸形。

(2)透视准备:体位、C形臂、透视技术、术前灌肠。

(3)技术保障:了解该损伤机制,包括三维解剖;有完成骨折的闭合复位和置钉经验的医师参与。

手术步骤

手术可在局麻下,经皮微创进行骶髂螺钉内固定。由于骶髂螺钉固定本身不具备骨折复位的作用, 对移位明显者,应在术前、术中进行牵引复位。

(1)体位:俯卧位(或者仰卧位)于透X线床上;必要时股骨髁上牵引。

对“U”形、“H”形骶骨移位骨折及骶髂关节垂直移位明显者,也可术中使用骨科牵引床进行大力牵引。

(2)透视:C形臂放在患侧,术中透视骨盆正位、入口位、出口位及侧位。

(3)复位:通过牵引或者复位器械协助复位,复位骨盆后部,使坐骨大切迹和双侧骶骨翼、髂骨皮质投影重叠,克氏针临时固定髂骨翼和骶骨翼。

侧位:a1、a2代表双侧坐骨大孔;b1、b2:代表骶骨翼

(4)骶髂螺钉的定位:导针进针点在髂后上、下嵴之间,髂后上嵴外约2横指、坐骨大切迹上方2横指。透视确认入针点,正位、入口位及出口位满意后(在正位图像中导针尖部位于在S1椎体阴影中,出口位导针指向S1椎体中间1/3份,导针位于S1椎体上终板附件的骨质最厚处)。打入导针到中线,一共穿过3层皮质骨,透视位置确认后进行钻孔。

(5)置入合适长度的 7.3mm空心拉力螺,再次多角度透视确认螺钉位置。

(6)第二枚导针:第二枚导针打入S1椎体的前1/3,位于椎体前半部的下方;进针方向为腹侧倾斜20°,头侧倾斜20°。技术要求较高。

S2 骶髂螺钉的骨性通道常较S1小,因而使得 S2骶髂螺钉的置人风险相对更高。难度大,一般在S1 椎体发育畸形或骨质破坏时采用。

Osterhoff G等(2011)将S2骶髂螺钉的进钉 点 确定 在 S2椎 体上下终板平分面上,并位于该面与椎体后缘交点背侧几毫米 。Moed BR等(2006)则将进钉点确定在标准骶骨侧位像上 S2椎体上下终板 、椎体前后缘所围成区域的中央 (即 S2 椎 体中点 )。

相关问题

1.螺钉位置错误

研究发现骶骨变异率高达20%-40%,增加了螺钉准确置入的困难。髂螺钉的总体置钉错误率占18-25%(Gänsslen A,2006;Giannoudis PV,2008)。而螺钉植入位置不佳又可引起严重的神经血管损伤。医源性血管、神经损伤率达3-15%(Citak M,2006)。因此,术前应详细阅片,对骨折、脱位情况及三维解剖了然于胸。

2.三维解剖与骶部结构损伤

(1)骶岬在S1椎弓根块的前方,而骶骨翼是骶骨岬与骶髂关节前面之间的凹陷,走向骶岬的螺钉容易损伤前方结构;髂骨增厚处和S1椎体是骶髂螺钉固定点。

(2)S1骶孔的一半以上由S1椎体形成,S1神经根管从S1 骶孔的下、前和外侧穿过,如果螺钉位于S1椎体的下半部,则必须指向S1神经根管的前方,偏后则会损伤S1神经根。

(3)S1节段周围的结构有:S1神经根管和S1骶孔在S1椎弓根块的下缘,S1椎体后方是马尾神经,骶骨翼前方是髂内血管、L5神经根 、输尿管;膀胱在S1椎体的前方,S1椎体的上方是椎间盘,以上重要结构都不能损伤。

(4)骶髂螺钉必须沿着S1椎弓根块进入椎体,保持全程在骨内。第一枚螺钉在上方,正位透视位于椎体中部靠近上终板,第二枚螺钉位于椎体前半部的下方。( 参考文献:Marvin Tile主编,邱贵兴主译,骨盆与髋臼骨折,2006)

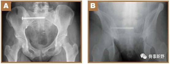
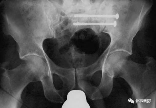
3.术后松动、退钉

骶髂螺钉固定在垂直方向上的稳定性欠佳, 且随着术后功能锻炼或负重行走, 有可能出现松动退钉,导致内固定失败(骨质疏松者尤甚)。因此,对垂直不稳者,有人建议2枚骶髂螺钉固定,或与其它固定方式组合。

垂直不稳(术前)

垂直不稳复位、固定(术后)

垂直不稳再移位、螺钉扭曲(术后)

通过置入第二枚螺钉,或与其它固定方式组合,构成三角固定,可明显增加后环稳定性。

4.骨质疏松脆性骨折

一般情况下,骨量正常的患者,骶髂螺钉可恢复80%的后环稳定性(ComstockCP,1996),但对骨质疏松的骶骨脆性骨折患者,骶髂螺钉因抓持力不够,常常松动,导致固定失效(WuZX,2012;GardnerMJ,2011)。可考虑通过骨水泥强化的骶骨成形(sacralplasty)以增加把持力。

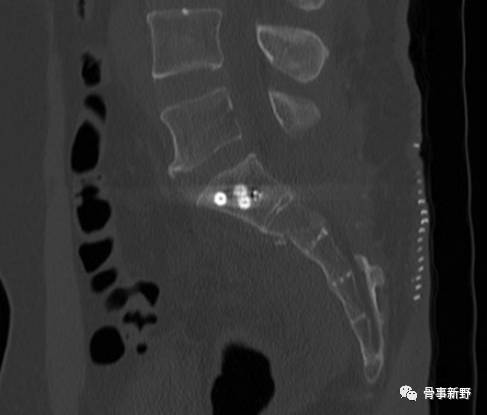
7.3mm空心钉经皮按骶髂螺钉常规打法打入后,再后退25mm,自钉尾部空心内将3–4 mL骨水泥加压注入骶骨椎体内,再将骶髂螺钉拧入,使螺纹周围有骨水泥套包裹,从而增加螺钉的把持力(Osterhoff G,2016)。

导航应用

1、CT导航:可使螺钉植入更精准,但有一定的条件限制。

2、普通X光导航软件:已有人设计了可用于普通c型臂的计算机辅助导航软件,使该技术的广泛开展成为可能。

友情链接: