
(一)上肢及上肢带骨骨折
(1)锁骨骨折
肩锁关节脱位:锁骨外端高于肩峰,甚至形成梯状畸形,向下牵拉上肢时,骨外端隆起更明显;向下按压骨外端可恢复,松手后又隆起;X线片显示肩锁关节脱位。

胸锁关节脱位:两侧胸锁关节不对称,可有异常活动,锁骨内端可突出或空虚。

臂丛神经瘫疾:易与婴幼儿锁骨骨折相混淆。前者锁骨仍完整,同时可见典型的肩部内收内旋、肘部伸直畸形;一般在2-3个月后可有显著恢复。
(2)肩胛骨骨折
肋骨骨折:伤后胸部疼痛,咳嗽及深呼吸时疼痛加重;挤压胸廓时,骨折部分疼痛加剧;有时可合并气、血胸;X线片示肋骨骨折。

肱骨外科颈骨折:多为传达暴力所致,上臂内侧可见瘀斑,有疼痛、压痛、功能障碍,可触及骨擦感及异常活动。

(3)肱骨大结节骨折肩关节前脱位:受伤机制与本病相近,也表现为肩部肿痛,活动受限,但有方肩畸形,可扪及异位肱骨头,肩关节弹性固定,有时两者常合并存在。

肩峰骨折:均为肩部肿痛,但压痛点位于肩峰部,被动外展时可有一定的活动度;X线片可见肩峰骨折。
(4)肱骨外科颈骨折
肱骨大结节骨折:肩外侧大结节处压痛,外展活动受限,上臂内侧无瘀斑,无环形压痛。

肩部挫伤:系直接暴力所致,局部皮肤有擦伤、瘀斑,肿胀、压痛局限于着力部位,无环形压痛及纵向叩击痛;X线片无骨折征象。
(5)肱骨干骨折
肱骨外科颈骨折:肿痛在肩部,肱骨上端压痛;X线正位片及穿胸位可显示骨折线在肱骨解剖颈下2一3cm;治疗后骨折多能愈合。

肱骨髁上骨折:多发生于儿童,肘部肿胀较明显,呈靴状畸形;X线片示骨折线在肱骨下端扁薄处;治疗后常遗有肘内翻畸形。
上臂扭伤:压痛局限于损伤部位,有牵拉痛,上臂功能障碍较轻;无环形压痛及纵向叩击痛,无异常活动。
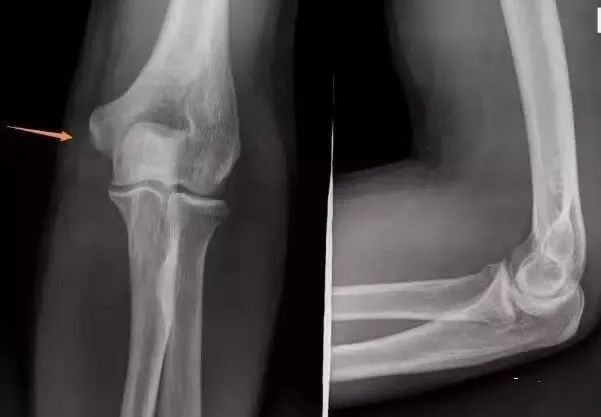
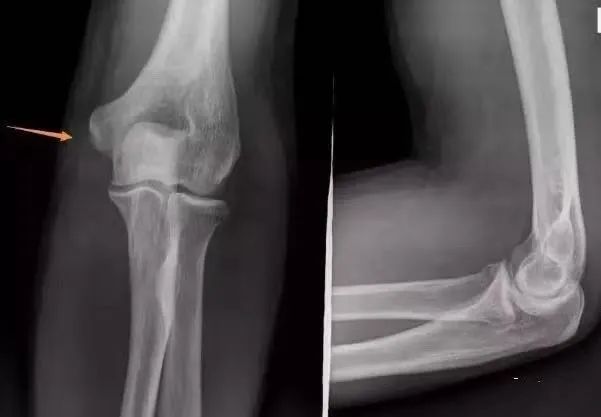
(6)肱骨髁上骨折
肱骨外髁骨折:肿胀及压痛局限于肘外侧,有时可触及骨折块;X片摄片桡骨纵轴线不通过肱骨小头骨化中心。

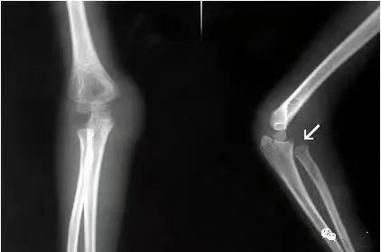
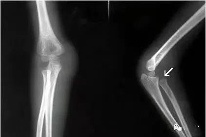
(7)肱骨外髁骨折
肱骨髁上骨折:肿痛较明显,呈环周压痛;X线片示骨折线不波及关节面,桡骨纵轴线通过肱骨小头骨化中心。

肱骨小头骨折:单纯的肱骨小头骨折多见于成人,合并部分外髁的肱骨小头骨折以儿童多见。亦有肘外侧及肘部的肿胀、疼痛,功能障碍;肘关节伸屈活动受限,尤其屈曲90-100°,常发生肘部疼痛加重并有阻力感觉;X线表现常有特征性,需仔细观察正、侧位X线片。

(8)肱骨内上髁骨折肘关节后脱位:两者均有肘部疼痛、肿胀,伸直位固定。但脱位为环击肿痛,弹性固定于135°、肘窝可扪及肱骨远端,鹰嘴上方空虚,肘部呈靴状畸形;X线片示脱位、无骨折征。关节向后内或后外脱位,肱骨内上髁骨折常可合并肘关节向后内或后外脱位。

肱骨内髁骨折:在小儿肱骨内髁内骨化中心未出现之前,X线上不能显示骨化中心位置。肱骨内髁骨折与内上髁骨折主要根据X线片上肱骨小头肱骨内上髁及桡骨小头骨化中心的位置变化加以鉴别。

(9)尺骨鹰嘴骨折肘关节脱位:两者均有肘部疼痛,伸直位固定。但脱位为环周肿痛,弹性固定于135°,肘窝可扪及肱骨远端,肘关节主、被动活动均受限;X线示肘关节脱位,无骨折征。

(10)尺骨上1/3骨折合并桡骨头脱位尺桡骨干双骨折:症状、体征相似,儿童及成人均可见;X线片示无桡骨头脱位征。

(11)尺桡骨干双骨折孟氏骨折:在肘前方可触及脱位的桡骨头关节面,X线摄片可见桡尺骨干双骨折,尺骨骨折线在近1/3处并有桡骨头向前脱位。

(12)桡骨下1/3骨折合并下尺桡关节脱位
尺桡骨干下1/3骨折:前臂中下段肿痛、畸形,异常活动,前臂旋转功能受限,尺桡骨下1/3可扪及骨擦感,前臀活动障碍更明显;X线片示尺桡骨干下1/3骨折,无下尺桡关节脱位。
桡骨下段骨折并下尺桡关节脱位:腕部肿痛、增宽,腕关节屈伸活动受限,明显餐叉样畸形,无桡骨下1/3处异常活动;X线片常见合并尺骨茎突撕脱。
(13)腕舟骨骨折
先天性双舟骨:临床上较少见,在X线摄片上两块骨之间,界限清楚、整齐、光滑,无致密坏死或边缘不整齐现象。
桡骨茎突骨折:腕部桡侧肿胀、疼痛,有骨擦音,X线片见骨折线在桡骨茎突。

(14)掌骨骨折
掌指关节脱位:局部肿痛,活动功能障碍,弹性固定在过伸位,可扪及脱位的掌骨头;X线片见掌、指关节脱位,无三角形骨块。
(15)指骨骨折
指间关节脱位:近关节部肿痛、活动障碍;指间关节弹性固定在伸直位;X线可确诊,常伴有撕脱骨折。

伸肌腱断裂:指背侧疼痛,伸指功能障碍,被动活动正常;X线片无骨折征。
(16)肩部骨折
孟肱关节脱位:前部最常,跌倒时用手撑地,肩峰突起,肩部轮廓变平,肱骨头突起,剧烈的刺痛,肌肉紧绷,腋窝前方或下方可及肱骨头
关节盂缘撕裂:跌倒时用手撑地、肩部的牵引力过大或肱二头肌强力的收缩。内旋或内收时疼痛,外展或屈曲时无力。
冈上肌撞击:疼痛(卧侧卧位尤其明显)疼痛弧(上举60°~120°) 冈上肌和肱二头肌疼痛,内旋并屈曲时有绞锁感
(二)下肢及下肢带骨骨折
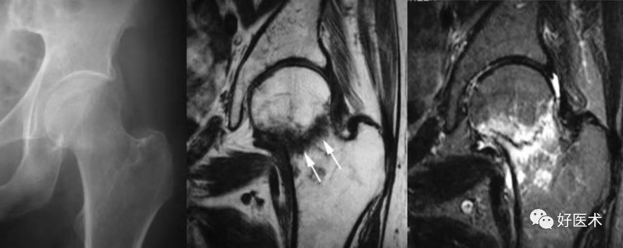
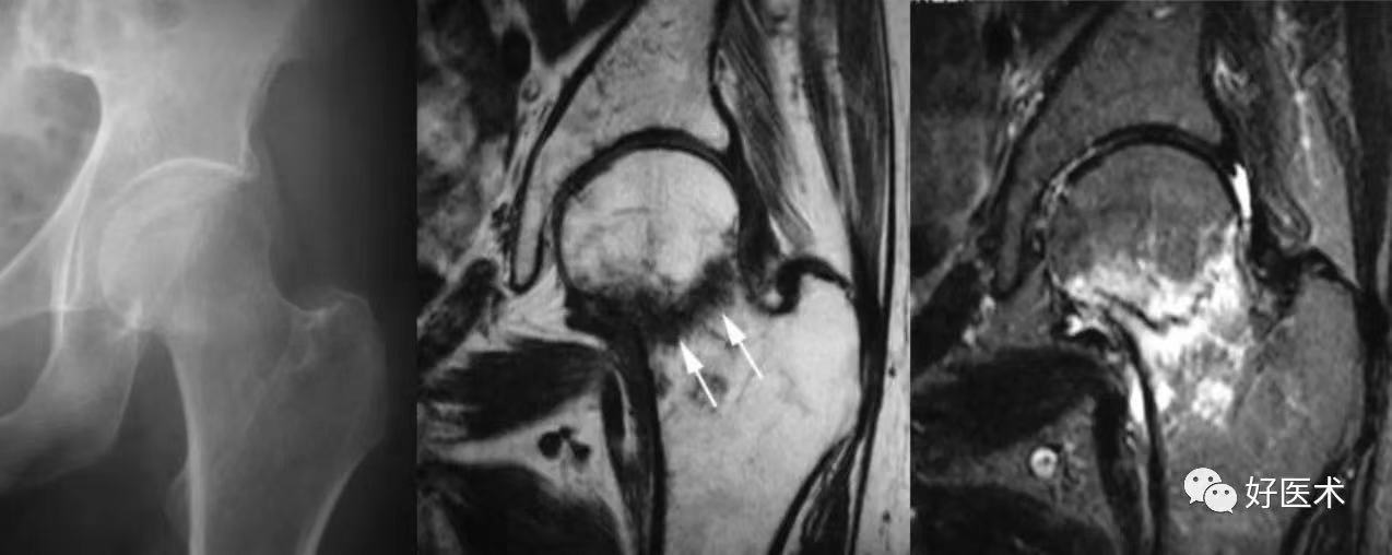
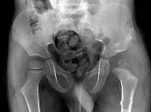
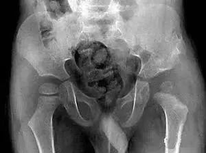
(1)股骨颈骨折
股骨转子间骨折:受伤机制与本病相似,但患者年龄常更大,局部肿胀明显,压痛点在股骨为粗隆部,皮肤一般可见瘀斑;X线片可助鉴别。
(2)股骨转子间骨折
股骨颈骨折:受伤机制与本病类似,但年龄相对较小,局部肿胀及痕斑不甚明显,压痛点在腹股沟中点;X线可助鉴别。

髋关节后脱位:常见于青壮年,有强大暴力损伤史;弹性固定于屈髋、屈膝、内收、内旋位,在臀后可扪及脱出的股骨头;X线片可鉴别。

股骨干上1/3骨折:青壮年及儿童多见,有明显外伤史;局部压痛敏锐,出现短缩、成角或旋转畸形,可触及骨擦感和异常活动;X线片示股骨干骨折。
(3)股骨干骨折
股骨髁上骨折:股骨髁上处压痛敏锐、骨擦感和异常活动;X线片示髁上骨折。

(4)股骨髁上骨折
膝关节脱位:暴力强大,疼痛剧烈,肿胀严重,膝关节弹性固定在某一位置上,无骨擦音;X线可鉴别。

(5)髌骨骨折

副髌骨骨折:局部无明显压痛,伸膝无明显受限;X线片见骨块边缘整齐、光滑,多对称存在,多发生在髌骨的外上角。
股骨髁部及髁上骨折:受伤暴力较大,压痛点在股骨髁部及髁上,可出现畸形,有骨擦音,X线摄片可鉴别。
胫骨平台骨折:压痛点在胫骨内外侧平台,髌骨前面摸不到裂隙;X线摄片可鉴别。

(6)胫骨髁骨折
股骨髁部骨折:暴力强大,压痛点在股骨髁部,X线片示股骨髁骨折。

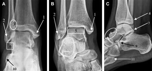
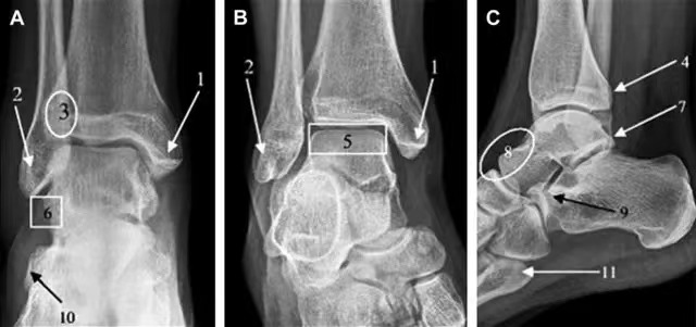
(7)踝部骨折脱位
距骨骨折脱位:多由高处跌下所致,压痛点在距骨,X线片可协助鉴别。

踝部韧带损伤:多由踝关节扭伤所致,肿痛,压痛点在内踝下方或外踝的前下或下方,无骨擦音和畸形;X线摄片可排除骨折。
(8)距骨骨折
踝部骨折:压痛点在内或外踝,有畸形和骨擦音;X线摄片可协助诊断。

跟骨骨折:高处跌下所致,足跟部有瘀斑、压痛,骨折移位严重出现扁平足,后跟增宽;X线摄片可鉴别。

先天性距骨后三角骨:无明显外伤史,多由扭伤踝部照片时发现,照双侧X线片对比多为对称性,三角骨与距骨后侧紧密相连,骨片界线清晰、光滑。
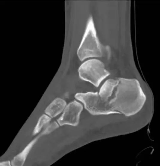
(9)足舟骨骨折
距骨骨折:多由高处跌下所致,压痛点在距骨,X线摄片可鉴别。

副舟骨:为对称性,与舟骨体连接平面齐整光滑,局部无压痛。
(10)趾骨骨折
趾间关节脱位:足趾弹性固定在某一位置,无骨擦音;X线片可鉴别。
(11)跖骨骨折
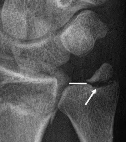
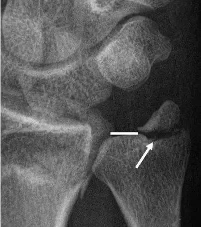
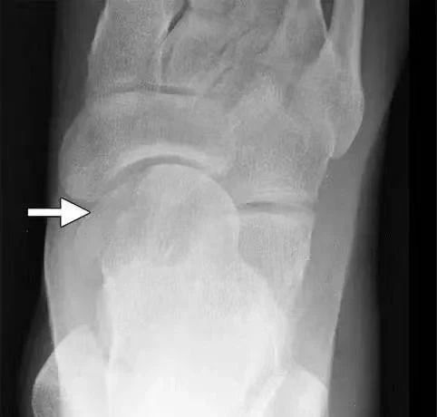
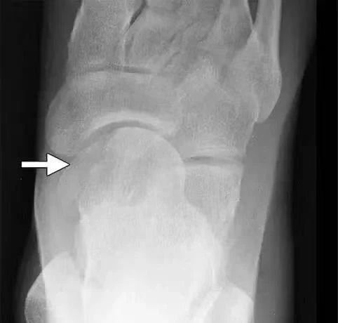
第五跖骨基底骨骺未闭:小儿受到外伤后出现肿胀、疼痛,不能行走,摄片发现有骨骺未闭合时,与健侧对比,以便明确诊断。
腓骨长肌腱籽骨:受伤后同样有肿胀、疼痛,但肿胀、疼痛不明显,骨片光滑、规则,双侧均有。
