
概述
异位骨化(Hoterotopic Ossification, HO)作为中枢神经疾病的并发症,最早于1918年被Dejerine 描述,之后于1968年,Roberts对脑外伤后关节周围HO做了较为全面的报道,引起了临床医生的重视。那么,到底什么是异位骨化?
异位骨化是指在非骨骼组织(包括肌肉、肌腱或其他软组织)中出现病理性骨组织形成,主要继发于创伤、烧伤、神经损伤以及关节置换术后,是临床上严重的并发症。
由于异位骨化的高发病率以及其发病机制的复杂性,其预防及治疗一直受到人们的重视,且治疗的关键在于患者疼痛的缓解以及功能的改善。但目前对异位骨化发病机制的认识,最有效的预防方案,手术时机的选择,物理治疗的必要性以及基因靶向治疗的临床应用等问题尚不明确。
需要强调的是,临床上往往把异位骨化与骨化性肌炎(myositisossificans,MO)或异位钙化(ectopic calcification,EC)相混淆。
骨化性肌炎是指在肌肉组织内出现钙盐沉积,而异位钙化则指在其它软组织结构内或周围出现矿物化(mineralization)或石灰样沉积(calcium deposit)。骨化性肌炎又可分为局限性、进行性和局部创伤性三种。跟腱末端病钙盐沉积、肩袖钙化、后纵韧带钙化均属于异位钙化的范畴。
异位骨化(HO)有成熟的板层骨、松质骨、骨髓腔、滋养血管,以及少量的造血功能和肌纤维薄膜等类似正常骨的结构,其周围软组织水肿、增生、肌肉坏死和骨质疏松是异位骨化的继发性反应,而不是原因。
HO 往往位于关节周围的肌群或韧带的间隙,而不是侵袭到这些组织内;即使包绕正常的肌肉、肌腱、神经血管等,将异位骨化切除后,这些组织结构仍基本完整,而骨化性肌炎或异位钙化往往侵及组织本身。因此,异位骨化、骨化性肌炎、异位钙化是不同的概念。
病因及发病机制
HO的发病原因及机制仍不清楚,多发生于脑外伤、脊髓损伤、烧伤或关节创伤的患者。近年来,多数研究认为异位骨化形成所需的3大条件包括:
1.成骨诱导因子。骨形态发生蛋白2(BMP-2)和骨形态发生蛋白4(BMP-4)是目前研究最多的成骨诱导因子,他们可以通过与丝氨酸/苏氨酸激酶受体结合介导胞内信号传递,促使周围的细胞向成骨细胞转化。
2.成骨前体细胞。长期存在的炎症反应会导致周围或血液中成骨前体细胞群聚集,从而促使周围组织发生异位骨化。而普遍认为参与异位骨化形成最主要的细胞群是间充干细胞。
3.局部微环境。在缺氧的环境中,容易产生缺氧诱导因子1α,并由此产生血管内皮生长因子、碱性成纤维细胞生长因子、血小板衍生的生长因子和血管生成素2等多种血管生成因子,从而使血管内皮细胞运动、聚集和增殖,参与异位骨化形成。因而,HO的形成机制可能是由于局部炎症反应导致机体释放成骨诱导因子,在局部微环境的作用下,诱导成骨前体细胞分化为软骨细胞,进而通过软骨内成骨形成异位骨。
影像表现
影像表现与临床及病理变化基本同步。早期为急性水肿期,表现无特异性,肿块边界模糊,无钙化或钙化不明显,周围大范围水肿,因为容易存在骨膜反应,易误诊为恶性肿瘤。
X线、CT检查
X 线检查是异位骨化最常见的检查方法,CT 更能清晰地发现早期成骨病灶。在疾病早期,仅表现为界限不清的软组织肿块,难以与炎症、血肿等疾病鉴别;随着骨化的成熟,X 线、CT 图像上逐渐出现点状钙化影,可出现特征性的「环状」「花边」或「蛋壳」样骨化,病灶周围呈软组织密度,这一影像征象有一定的特征性;晚期诊断困难较小,X 线平片和 CT 表现为软组织内团块状骨性致密影,为成熟的板层骨。如果持续随访,会发现病灶在6-7个月后持续缩小,最终可以看到骨小梁影。

左图:X 线显示线状钙化影 (左蓝色箭头)。右图:随访 4 个月,可见钙化增多 (红色箭头),符合异位骨化。

CT 检查:左图异位骨化最初表现为软组织肿块,周围组织水肿,肿块充血周边密度增高,右图患者 4 个月后复查可见局部软组织机化变厚,肿块较前减小但周围见环样骨化。
MRI检查
MRI 具有良好的软组织对比度,表现与疾病的时间相关,并且与其他影像平行,急性期 ,主要为软组织肿块合并周围水肿,病灶在 T1WI 上与肌肉呈等信号或稍高信号,在 T2WI 上以高信号为主。中期,T1WI 和 T2WI 信号都可减低,可以在病灶内部看到扭曲了的长T1 脂肪层,病灶边缘的钙化表现为低信号环,后期低信号环将越来越清楚,这也是异位骨化的特征性表现之一;此时 X 线平片可以看到皮质边缘。
后期,界限清楚的信号不均匀肿块,无水肿,在肿块中心可以 T1 呈高信号,表示脂肪化的黄骨髓形成,外围一圈 T1、T2 扭曲的低信号,代表骨化的皮质骨,此时期 MRI 的诊断价值不如 X 线和 CT,需要结合二者观察。
早期异位骨化:该患者颅脑损伤并且合并膝关节创伤,首次检查(a-d)股内侧肌周围T1高信号,皮下脂肪水肿,压脂呈花边样改变;3 周后复查(e-f)病灶内层不均匀强化,平片可以看到骨化及骨膜反应。
晚期异位骨化:患者受伤后 9 个月因关节强直复查,注意病灶周边清楚的低信号环。
HO的发生率
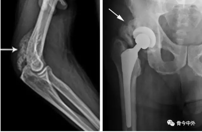
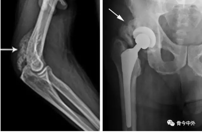
关于HO的发生率,多数研究报道为10%~20%。无论是中枢神经损伤性还是四肢创伤性HO,最好发是髋关节,其次是肘、膝、肩,几乎不累及腕、踝、手、足这样的小关节。
脊髓损伤患者的HO极少发生于上肢关节。创伤性HO可位于关节旁或将关节包绕,而神经损伤性HO则往往位于关节旁。在创伤骨科中,尤以髋臼骨折和肘关节骨折最为多见。关节置换术后以及严重的长骨骨折后异位骨化发病率为3%~20%。

髋臼骨折和肘部骨折所致异位骨化最为常见,髋臼骨折内固定术后大约40%患者形成异位骨化。Guo等推荐髋臼骨折手术采用粗隆翻转或者后侧入路,异位骨化在粗隆翻转、前路手术及后路手术的发生率分别为33.3%、42.1%和36.9%
。
肘关节骨折后异位骨化的的发病率约为40%,异位骨区常位于肘关节后内侧。20%以上肘关节异位骨化患者,肘关节屈伸活动度减小,其活动度<100°。
另外,研究显示男性较女性易患HO,且累及范围也是男性较女性广。因神经损伤引起的HO,儿童的发生率远低于成人,且儿童HO有的能自行吸收。
HO的分类
根据成因可分为获得性及原发性两大类型。
1.获得性HO:
创伤后骨化性肌炎,可以源于任何形式的肌肉骨骼系统的损伤,如较常见的骨折、脱位、人工关节置换术、肌肉或软组织挫伤及较少见的肾脏、子宫、阴茎及胃肠道等手术或创伤;
创伤后神经源性HO,源于脊髓损伤、闭合性颅脑损伤、中枢神经系统感染、肿瘤及脑血管意外等;源于其他原因的HO,如烧伤、血友病、镰刀细胞性贫血、破伤风、脊髓灰质炎、多发性硬化、中毒性表皮坏死等。
2.原发性HO特指进行性骨化性肌炎(myositis ossificans progressive,MOP)或称进行性纤维发育不良性骨化(fibrodysplasia ossificans progressive,FOP)、进行性骨化性纤维增殖症、进行性骨化性蜂窝织炎Munchmeyer病,为一种常染色体显性遗传病。
HO的临床表现
HO的发生可开始于原始损伤(initial trauma)后的任何时间,甚至数年后,但一般均在伤后4~12 周,高峰时间为伤后2 个月,一般不超过6 个月。最初的表现主要是关节周围软组织和肌肉的急性炎症,即肿胀、疼痛、发热、皮肤红斑和关节活动范围减少。这时,临床上往往与肢体深静脉血栓难以区别,要警惕。
碱性磷酸酶(AKP)一般在HO 出现临床表现前的7 周内升高,出现局部症状3 周后超出正常,5 个月后渐趋正常。当临床怀疑存在异位骨化时,应行影像学检查,以确定异位骨化的位置和程度。

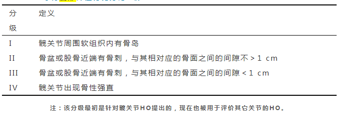
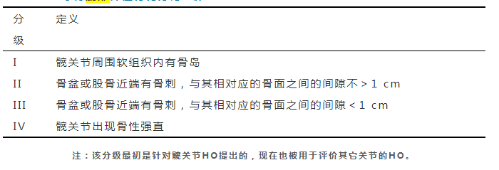
对HO临床诊断、治疗、预后判断有指导意义的分级,比较公认的有三类:Brooker的X线HO 分级;Garland 脑损伤分级,该法对判断HO发生或复发的倾向有意义;Hastings和Graham 的肘关节HO 功能分级 。
Brooker等将髋部异位骨化分为4级


Garland 脑损伤分级

Hastings和Graham根据临床和影像学表现,将肘关节异位骨化分为3级。

治疗方法
异位骨化发生后,可以通过适度的理疗锻炼尽量维持留存的关节活动度。如果骨化发展为重度,常会对关节活动造成严重影响,引起患者工作和生活的不便。如果要改善关节活动,进行骨化切除、关节松解可能是最有效的方法。
文献中对肘关节异位骨化切除松解的报道较多,而对髋关节的报道则很少,对髋臼骨折术后骨化切除的报道则极少。国内吴新宝等于2014年总结报道2005年10月-2010年11月间进行手术的18例髋臼骨折术后异位骨化切除的患者,平均随访4.5年,临床优良率为66.7%。
骨化切除的时机
在过去,为了降低异位骨化复发的风险,多数推荐推迟手术切除直到影像学上骨化成熟,这通常要等到受伤或手术后1~2年。异位骨化晚期切除的问题是肌肉的失用性蒌缩及软组织瘢痕化更严重,不利于关节活动度的恢复。
如果关节完全僵直,长时间的等待可能会导致关节自发性融合,此时进行骨化切除和髋关节松解,效果差,甚至会出现股骨颈骨折。近年来,对骨化切除时机的观点有些改变。认为早期切除手术操作简单,软组织挛缩较轻,并能最大化功能恢复。有报道肘关节异位骨化早期手术切除取得令人满意的结果,没有增加骨化复发的风险。
因此,推荐切除时机为,髋臼骨折术后超过3个月,体检局部无红肿热痛,血清碱性磷酸酶正常(<150U/L)或呈连续下降趋势,影像学检查骨折已愈合。
异位骨化切除
- 在保护好坐骨神经后,通常会发现其深层的外旋肌群被异位骨化所替代。
- 在骨化切除前,尽量要找到骨化与正常骨的界线。
- 如果切除手术距离髋臼骨折切开复位内固定的时间较短,界线会容易辨别。如果间隔的时间长,骨化会更为成熟,界线会更难辨别。
- 在髋臼侧,可以用内固定物作为判断标志,在股骨侧,股骨大粗隆皮质薄,界线判断会较困难。
- 最终骨化切除范围还可以通过手术中活动髋关节寻找撞击的部位来确定。有的患者还需要做适度的软组织松解。
- 在大粗隆窝梨状肌止点部位的松解非常有效。松解过程中注意对关节囊及旋股内侧动脉的保护,以降低股骨头坏死的风险。
- 待术中髋关节被动活动度满意后,可以逐层闭合切口。
预防手段
1.药物干预:目前预防异位骨化形成公认的最有效的药物是非甾体类抗炎药物(NSAIDs)。
>>非甾体类抗炎药物(NSAIDs)
非甾体类抗炎药物主要通过防止前体细胞分化为成骨细胞而起作用,其通过抑制环氧化酶而阻止前列腺素的合成,抑制间充质细胞向成骨细胞分化,进而达预防异位骨化形成的作用。
《肘关节僵硬诊断及治疗的专家共识》(2019年)中指出:NSAIDs是异位骨化复发的预防最常用药物,如吲哚美辛等,应在术后24h内开始应用,一般建议使用吲哚美辛25mg,3次/d,连续用6周。
《加速康复外科理念下髋臼骨折诊疗规范的专家共识》(2019年)中指出:口服吲哚美辛一直被认为是一种简单、有效的预防HO的方法,但对照研究显示口服与否与HO的发生率并不相关,反而会影响髋臼或合并骨折的愈合进程。推荐异位骨化的预防首先注意术中软组织的保护,在后方软组织损伤明显、无合并长管状骨骨折时,可口服吲哚美辛预防HO,剂量 25mg/tid至术后6周,若存在脊髓或脑外伤等HO高危因素,可考虑采用放疗或联合吲哚美辛预防。
《成人创伤性肘关节僵硬松解诊疗方案的专家共识》(2020年)中指出:异位骨化复发的预防主要包括预防性非甾体类抗炎药物的使用等。非甾体类抗炎药物主要通过抑制前列腺素E2生成预防异位骨化,临床上常用的药物为吲哚美辛,推荐用法为75mg、一天两次或25mg、一天三次,口服3-6周。
因选择性的环氧化酶 2 抑制剂也有抑制异位骨化发生的作用,并可显著降低胃肠道副反应,建议使用塞来昔布(200mg、一天一次,口服6周)预防肘关节术后异位骨化的发生。
【吲哚美辛】注意事项:不良反应有胃肠道反应、肝肾损害、高血压、轻度水肿、视觉改变、角膜色素沉着、视网膜改变、抑制造血系统(粒细胞或血小板减少等,偶有再生障碍性贫血)、过敏反应、心脏毒性等。
禁用于溃疡病、帕金森病、精神病、癫痫、支气管哮喘、肝肾功能不全者。有心脏毒性高危因素(包括心血管病史或心血管疾病或并发症高危病者)、血小板减少或出血性疾病者慎用。
与呋塞米、布美他尼、吲达帕胺合用,吲哚美辛可减弱或降低其利尿降压作用;与氨苯蝶啶合用,易引起肾功能损害。此外,长期使用可能延迟骨折愈合。
【塞来昔布】注意事项:不良反应有胃肠道反应、肝肾损害、视力障碍、心血管风险等。对磺胺类药物过敏、缺血性心脏病、脑卒中者等,慎用于心脑血管疾病者。
氟康唑、扎鲁司特、他汀类等细胞色素CYP2C9抑制剂可使塞来昔布的代谢减慢而升高其血药浓度;可使β受体拮抗剂、抗抑郁药物、抗精神病药物的血药浓度升高。此外,有骨折者使用会增加骨折不愈合的风险。
>>双膦酸盐类药物
双膦酸盐类药物如依替膦酸二钠、氯膦酸二钠、帕米膦酸二钠、阿仑膦酸、利塞膦酸、伊班膦酸、唑来膦酸等,预防HO发生的机制为抑制骨化过程中非结晶磷酸钙转化成羟磷灰石,而阻止骨基质钙化过程及使骨矿化进程减慢,还有抗炎作用,而阻止HO的发生。
但因其不能阻止骨基质合成,且是延迟而不是阻止HO的矿化作用,故停药后HO会继续发展,目前在临床上应用较少,不适合HO常规预防性应用。
注意事项:不良反应有消化道反应、流感样症状、发热、肾毒性、肝损害、低钙血症、颌骨坏死(ONJ)、非典型股骨骨折(AFF)、眼部反应、心房颤动、皮肤反应、无症状血浆磷酸盐水平降低等。
慎用于活动性胃及十二指肠溃疡者、功能性食管活动障碍者、返流性食管炎者、低钙血症者、肾功能损害者等。
禁用于致食管排空延迟的食管异常(狭窄或迟缓不能)、不能站立或坐直至少30min者。
避免与有肾功能损害的药物如NSAIDs、增强对比剂等联用;与非甾体类抗炎药物(NSAIDs)、抗血栓药物同用,可加重黏膜损伤。用药期间,及时处理口腔感染,尽量避免侵入性口腔科操作。
>>其他抑制维生素K类药物如华法林,可抑制体内维生素K的还原反应,防止其参与羧化反应,而维生素K羧化反应参与骨钙素的形成,故华法林抑制骨钙素、骨基质形成及骨质矿化,可能有预防HO的作用。
秋水仙碱可在体外抑制成骨细胞增殖,选择性抑制组织矿化,对HO起抑制作用,可能有预防HO的作用。
2.放疗:放疗的作用机制是通过杀灭局部的单核细胞、巨噬细胞阻止骨形态形成蛋白(BMP)的生成,并灭活多能间充质细胞,阻断其对BMP产生应答,从而达到抑制HO发生的效果。有研究证实小剂量的放疗具有复发率低、安全性高的优点,不仅可以有效地预防脊髓损伤后出现的HO,还可以作为全膝关节置换术后HO的一级预防。
3.分子生物学机制干预:近年来,大量的研究从分子及细胞层面解释异位骨化的发生机制,Jonathan等通过体内外实验,证实了间充干细胞(MSC)是影响HO形成的主要细胞,并使用三磷酸腺苷双磷酸酶在烧伤部位通过三磷酸腺苷(ATP)进行水解,从而预防HO的发生。另有研究还发现预防异位骨化的靶基因具有高度特异性,可以通过作用于局部特定基因,起到异位骨化的效果。
