首页/创伤/长骨干髓内钉断了怎么办,也许我们可以“钓”出来!/
长骨干髓内钉断了怎么办,也许我们可以“钓”出来!
2022-12-07 17:07:15802浏览
长骨干髓内钉断了怎么办,也许我们可以“钓”出来!

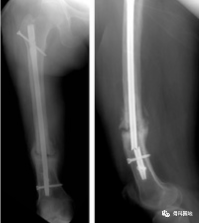
从长骨干取除断裂的髓内钉仍然是一个棘手的问题。本文介绍一种方法,该方法在技术上比文献中描述的其他方法要求低。此方法类似于钓鱼,这是一种通过鱼钩钓鱼的方法。在这种方法中,断裂的钉子在透视引导下钩住,并通过由不锈钢丝制成的钉钩以逆行方式取回。它无创地去除断裂的钉子,需要进一步暴露。1.首先钩子有一个宽阔的嘴,一个窄的弯曲(图A,B)。

2.逆行的方式钩住并取回钉子(图A,B)。

钓鱼技术用于取回髓内钉远端断裂部分。取了一根 20 号长的不锈钢线,其长度足以到达并取回断裂的钉子。如上所述,在其一端制作了一个钉钩。将去除的钉子近端部分用作模板,以按照所需的尺寸制作钩子。在透视引导下,钩子沿着髓管向下传递,然后穿过断裂的钉子,使得整个钩子位于钉子远端()。

然后将不锈钢丝拉近端以钩住断裂的钉子。然后通过轻轻地将不锈钢线拉出来取回钉子(图B)。

本方法的主要优点是它需要的东西,在一般的骨科器械中很容易获得。此外,由于钩子可以按照所需的尺寸准备。与文献中描述的其他钩子相比,制备的钩子具有更深的曲度,因此钉子固定得更牢固。狭窄的弯头允许通过钉子轻松钩住。最后,由于钉子钩的嘴巴更宽,钩住的机会也得到了提高。

韩国学者曾设计了一种类似的工具:

友情链接: