首页/足踝/踝关节解剖及损伤MRI表现,临床必备!/
踝关节解剖及损伤MRI表现,临床必备!
2022-12-07 16:56:559785浏览
踝关节解剖及损伤MRI表现

骨性结构

踝关节:全身持重关节

组成:由胫骨下端和内、外踝构成的踝穴及距骨体共同组成。

包括:骨、韧带、肌腱、软骨、滑膜等结构


韧带

内侧三角韧带:胫距前、后韧带,胫跟韧带,胫舟韧带;

外侧韧带:距腓前韧带,距腓后韧带,跟腓韧带;

韧带复合体:胫骨前、后韧带,胫腓骨间韧带;


肌腱

外侧:腓骨长肌腱、腓骨短肌腱

内侧:胫骨后肌腱、趾长屈肌腱、踇长屈肌腱

前方:胫骨前肌腱、趾长伸肌腱、踇长伸肌腱

后方:跟腱


韧 带 显 示 技 术 要 点

T1WI及PDWI能清晰显示踝关节解剖,T2WI及脂肪抑制技术对显示病变有更大的帮助。横断面及冠状面能够显示大多数的韧带,应首先考虑行横断面和冠状面扫描,矢状面作为适当的补充

不同可疑韧带损伤的韧带选择最佳扫描层面:

①距腓前韧带:以20°斜断面效果最佳

②跟腓韧带:以-15°斜断面效果最佳

正常踝关节韧带MR表现

内、外侧韧带及肌腱在所有序列中均表现为条或带状低信号改变;

由于韧带间脂肪信号的镶嵌,韧带在MRI上常表现为纤维条索样改变;


踝关节韧带损伤MR表现

直接征象

韧带形态学上改变:韧带走行、宽厚度异常;韧带边缘不光整;韧带连续性部分或完全中断;韧带信号异常改变

辅助征象

韧带周围结构改变:脂肪间隙及关节腔异常变化;其他邻近组织或结构的异常改变,包括:骨、软骨损伤、肌腱损伤、关节腔积液等。

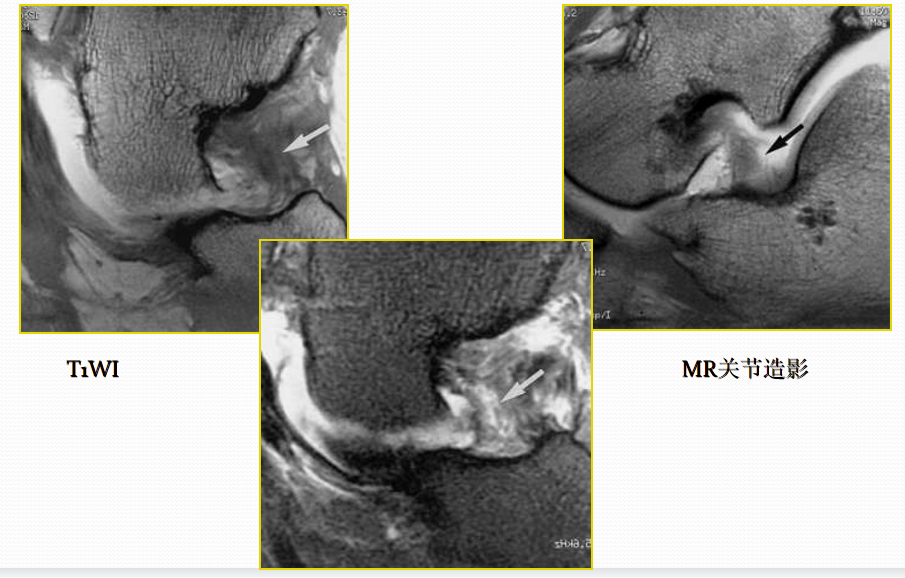
距腓前韧带撕裂

病因病理机制:

  • 最脆弱的外侧韧带,也最先断裂
  • 内翻内旋伴跖屈
  • 距腓前韧带撕裂致内旋受限
  • 临床表现为前外踝疼痛,活动受限

胫前、胫后肌腱撕裂

病因病理机制: 

  • 好发于中年人,胫骨前肌腱多见于登山运动员。
  • 类风湿性关节炎、有副舟骨患者好发。
  • 足踝运动障碍、疼痛。
  • 胫骨后肌腱是维持足弓的重要力量,撕裂后易出现扁足。

MR表现:

  • 胫骨前肌腱较少发生撕裂,一旦发生,多为全肌腱损伤
  • 胫骨后肌腱出现横截撕裂或纵行撕裂
  • 肌腱增粗,原本椭圆形的肌腱横断面变成圆形
  • 可为横向或纵向撕裂;完全或部分撕裂
  • 相应的腱鞘积液和鞘膜增厚
  • 邻近关节见骨关节炎表现

跟腱断裂

病因病理机制:

  • 有体育运动史,对抗收缩力的足被动背屈(小腿三头肌群)
  • 常位于跟骨上方2~6cm处发生断裂 
  • 类风湿性关节炎、系统性红斑狼疮、糖尿病和痛风
  • 急性断裂:易患因素包括慢性跟腱炎和部分撕裂

MR表现:(信号+形态)

  • 正常跟腱呈均匀低信号
  • 脂肪抑制T2WI图像上,跟腱内部或跟腱周围软组织出血或水肿表现为信号增高,跟腱断裂/撕裂表现为跟腱连续性中断或波浪状回缩
  • 跟腱近端回缩,跟腱边缘磨损,呈螺旋状形态
  • 撕裂处增粗的近端与远端之间可见疏松的连接

踝创伤性关节炎

关节扭伤或涉及关节面之骨折。关节内的粘连、滑膜增厚、软骨损坏以及异物存留等,均能影响关节功能而继发退行性骨关节病。临床上均有关节外伤史,急性期可表现为关节囊肿胀和关节间隙增宽。慢性期可表现为关节间隙变窄,骨端骨质增生。骨折涉及关节面或骨骺分离者则因骨痂增生、错位愈合和骨端生长发育异常而畸形,关节内可出现钙化和骨化游离体。 

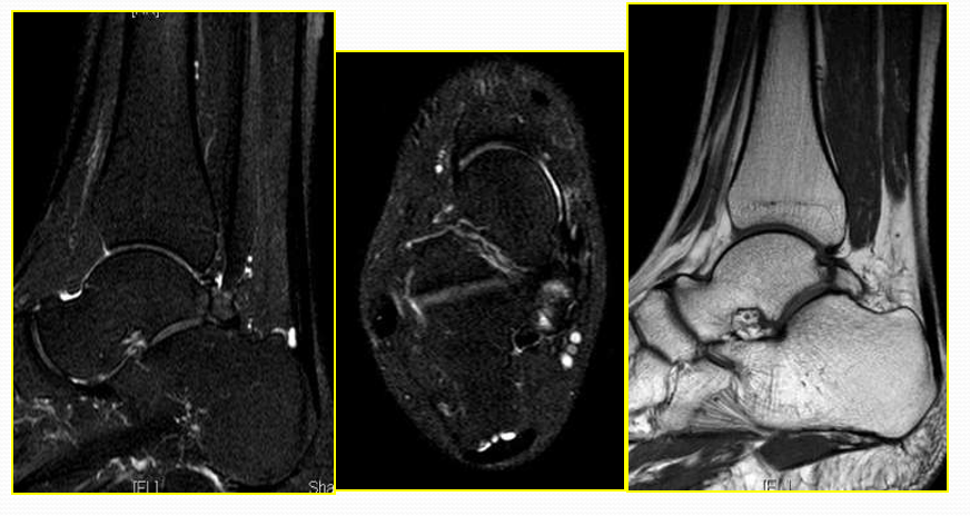
距骨骨软骨损伤

病因病理机制:

  • 距骨骨软骨损伤(OLT)是经软骨的骨折、骨软骨骨折、剥离性骨软骨炎和距骨穹窿骨折的通称。
  • 直接创伤或反复微创
  • 骨坏死过程导致软骨下骨折和塌陷
  • 累及关节软骨和软骨下骨内侧(60%)和外侧(40%)

MR表现:

MRI矢状面显示病变位于距骨圆顶最上缘,冠状面位于内侧角和外侧角。

四期:

Ⅰ期:软骨下骨小梁压缩

Ⅱ期:软骨下囊肿

Ⅲ期:不完全性碎片分离,无移位的碎片周围可见液体

Ⅳ期:碎片移位

跟腱滑囊炎

足在中立位且轻度跖屈时的矢状面和横断面T2WI是显示滑囊炎和跟腱病变的理想检查方位。当有跟腱前滑囊炎存在时,T2WI上正常跟腱前脂肪消失。合并骨质侵蚀和跟骨后上方骨刺

三角籽骨综合征

病因病理机制: 

  • 多见于经常跖屈的患者,如芭蕾舞演员、登山运动员、足球运动员
  • 三角籽骨位于距骨后缘
  • 足强制性跖屈导致胫骨后下缘或跟骨上缘撞击
  • 三角籽骨、距骨后三角、周围软组织、肌腱损伤(后踝撞击综合征)
  • 临床表现为后踝疼痛,活动受限

MR表现:

  • 三角籽骨或距骨后三角结构模糊和变形,T1WI信号降低, T2WI信号升高
  • 周围脂肪水肿
  • 屈踇趾长肌腱信号升高,见鞘膜积液
  • 胫骨后下跟骨上缘骨结构形态变化和信号异常。
  • 三角籽骨和距骨退行性囊变


足底腱膜炎

慢性潜在发展的病变,是引起足跟疼痛的最常见病因。长时间跖屈和足跟部反复轻微创伤导致腱膜的退变和炎症。

最常见的MRI表现:

  • 腱膜周围的浅层和深层在T2WI上弥漫性高信号;
  • 足底腱膜附着处的跟骨骨髓水肿;
  • 在STIR图像上足底腱膜内可见高信号

跗骨管综合征

基本解剖

跗骨管和跗骨窦:位于距下关节后方和跟距舟关节前方之间的锥形结构,外侧开口较大;跗骨管内容:脂肪、神经和韧带(内侧韧带、距跟骨间韧带和距骨颈韧带以及跗骨管韧带)


跗骨管综合征是胫后神经通过跗骨管时因遭受卡压所致的神经病变。

病因:肌腱囊肿、水肿、滑膜增生、跗骨融合、先天或获得性骨和肌肉软组织异常

临床表现:疼痛感觉异常和胫后神经所支配的肌肉运动功能下降

静脉扩张是神经受压最常见的病因和手术指征。

跗骨窦综合征 

病因病理机制:

  • 跗骨窦位于跟距关节间,呈圆锥形,其内有神经、血管、韧带、脂肪
  • 外伤、变形、占位、炎症、感染、关节不稳定等各种原因压迫或刺激神经则为跗骨窦综合征
  • 70%的病例有外伤史,30%有足踝慢性关节炎病史
  • 60%患者的MRI上,可以显示异常跗骨窦和跗管

MR表现:

  • 跗骨窦韧带撕裂,窦内结构模糊
  • 跗骨窦韧带纤维化(在T1WI和T2WI图像上呈低信号)
  • 滑膜炎、液体和韧带扭伤(T1WI低信号;T2WI高信号)
  • 在距下关节后面前、后微隐窝处的液性信号(T1WI低信号;T2WI高信号)
  • 常见到踝外侧韧带撕裂,外踝肿胀

友情链接: