首页/创伤/胸锁关节脱位固定技术,你掌握诀窍了吗?/
胸锁关节脱位固定技术,你掌握诀窍了吗?
2022-12-15 15:56:321918浏览
创伤性胸锁关节脱位是少见的骨科损伤,约占肩部关节脱位的3%,可能损伤纵隔中的重要结构,造成致命的后果,近年来治疗胸锁关节脱位的手术技术不断进步

创伤性胸锁关节脱位是少见的骨科损伤,约占肩部关节脱位的3%,可能损伤纵隔中的重要结构,造成致命的后果,近年来治疗胸锁关节脱位的手术技术不断进步,主要体现在内置物的改良上。


根据胸锁关节脱位时韧带的损伤程 度对其进行分级:Ⅰ级,扭伤,韧带结构完整或部分撕裂,关节结构正常;Ⅱ级,胸锁韧带完全撕裂,肋锁韧带部分撕 裂,关节失去稳定性,出现半脱位;Ⅲ级,所有韧带及关节 囊完全撕裂,关节完全失去稳定性。


近日希腊医生Emmanouil Fandridis等介绍了一种重建的方法:见(Anterior dislocation of sternoclavicular joint: A novel surgical Technique)



A:从柄部前部至后部皮质垂直方向钻出两条骨隧道。类似于锁骨的胸骨侧,从前皮质向后皮质钻出两个垂直骨隧道。B、C:不可吸收的缝线是通过平行的四个孔。


D\E:缝合线平行。然后,通过拉动游离缝线边缘,复位固定。


其实关于胸锁关节的手术方式较多,尚未形成统一的金标准,手术技术的进步主要体现在内置物的改进,既要求固定确切又要尽量符合胸锁关节生物力学性能。

1、克氏针及张力带固定:


或直接钢丝困扎:


该手术创伤小、手术时间短、易掌握,但其稳定性难以满足生物力学要求,早期仍需制动处理。若克氏针发生断裂、移位可造成内固定失效或其他脏器损伤。

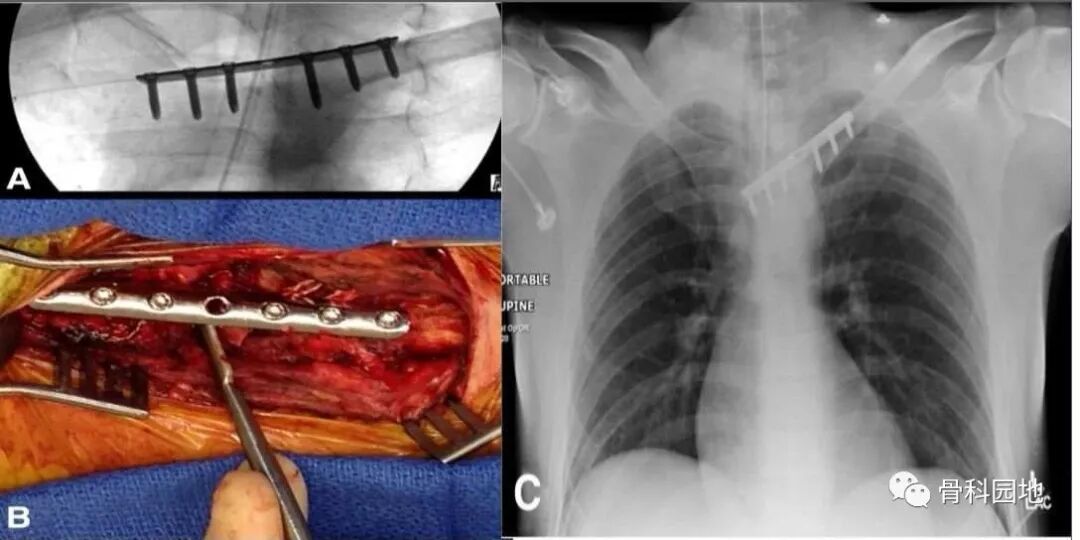
2、重建板或钩钢板固定技术:




钢板技术是治疗胸锁关节脱位的主要技术之一,但也存在不足:如贴附性不佳,钩结构仍有损伤纵隔的风险,合并锁骨近端骨折时难以有效固定等等。

3、韧带修复及重建技术

锚钉固定:


韧带重建


韧带的修复及重建技术更加符合胸锁关节的生物力学要求,使关节结构更加稳定并尽力恢复其原有的生理功能,逐渐成为主流的手术技术。韧带修复及重建材料包括强力缝线、自体肌腱、异体肌腱、锚钉、袢钢板等等。

友情链接: