首页/脊柱/一种创新的骨科技术:经皮骨水泥椎间盘成形术!/
一种创新的骨科技术:经皮骨水泥椎间盘成形术!
2022-12-21 16:28:542076浏览
椎间盘是软性组织,注入骨水泥后,会引起邻近椎体骨折吗?会导致整块脱出吗?会再次引起不稳吗?注射时,会不会渗漏到椎管?手术适应症如何把握?

椎间盘是软性组织,注入骨水泥后,会引起邻近椎体骨折吗?会导致整块脱出吗?会再次引起不稳吗?注射时,会不会渗漏到椎管?手术适应症如何把握?

不算Letter的话,目前国内外关于这个主题的文章共有7篇。1篇个案报道(国内,随访1月)1篇技术报道(technical note)4篇回顾性研究(病例数分别为7例、28例、47例和54例,最长随访1年)和1篇关于适合PCD的PMMA-MC骨水泥研究。

1.Varga团队首次报道(2015. Orthopade)

2015年,来自匈牙利的P.P. Varga教授首次报道采用经皮骨水泥椎间盘成形术治疗伴真空征、椎间盘不稳的不适合开放手术的47例机械性腰腿痛患者,并发表在Orthopade杂志上。类似于“vertebroplasty”和“kyphoplasty”,作者称这个手术为“cement discoplasty”,即骨水泥椎间盘成形术

P.P. Varga

他想到PCD这种新技术,在原文中是这样描述的:

“During a vertebroplasty procedure, the authors observed that the adjacent disc with vacuum phenomenon filled with PMMA, and signs of instability had disappeared on postoperative X-ray. This led to the development of the PCD procedure: PMMA augmentation of the intervertebral disc with vacuum phenomenon in patients otherwise not suitable for more invasive surgery. The hypothesis of the authors is that, by filling disc space with PMMA, instability is decreased, thus reducing in turn pain and disability”. “在椎体成形过程中,骨水泥渗漏至邻近伴真空征的椎间盘内,但术后复查却发现术前的椎体不稳现象居然消失了”。这给作者带来灵感,提出PCD手术:即将PMMA骨水泥注入伴真空征的椎间盘内。

可见,临床中,注意观察总结是很重要的。

手术适应症的选择:

  • 因椎间盘退变引起腰腿痛的老年患者;
  • CT可见单个或多个节段症状性节段不稳伴椎间盘真空征(vacuum phenomenon),且MRI提示相同水平的椎间孔狭窄(foraminal stenosis);
  • 不适合进行开放手术;
  • 与患者充分沟通,交代PCD手术优缺点和潜在并发症,并知情同意。

手术采用局麻,部分病例选择全麻,后外侧椎间盘造影(discography)入路,注入高粘度PMMA骨水泥,最大注射量为3-5ml。47例(130个椎间盘)均顺利完成PCD手术,无神经损伤的发生,随访6个月,ODI和VAS评分均较术前显著改善。

图:手术前和6个月随访时,ODI和腰痛、腿痛VAS评分情况

图: 垂直不稳和PCD概念a: 站立时,在负荷作用下,有效椎间孔面积小于俯卧位(无负荷);站着时,神经根受到压迫可导致下肢痛。b: PCD:在俯卧位,“真空”的椎间盘充满PMMA。c: 椎间盘成形术后,椎间盘高度保持不变,椎间孔横截面积较术前明显增大

图: PCD术中图像a: 向椎间盘间隙插入Jamshidi 针; b: 针在正位时的位置; c,d: 将K-wire 插入Jamshidi针内; e,f: 插入椎体成形术套管针; g,h:PMMA骨水泥填充椎间盘; i,j: 术后情况

图: 1个节段PCDa: 术前站立位侧位片; b: 术前仰卧位侧位片(注意:椎间孔的横截面积变大); c: 术后站立位侧位片(横截面保持不变); d,e: 术前CT,病变节段冠状和矢状位重建,椎间盘明显真空征; f: 横断位示椎间盘内真空征情况; g,h: 术后CT,冠状和矢状位重建显示骨水泥填充情况; i: 横断位填充情况

图: 5个节段PCDa: 术前CT矢状位重建: 多节段椎间盘退变,所有椎间隙均有真空征; b, c: 术后CT矢状和冠状位重建, 5个节段PCD骨水泥填充情况; d,e: 术前站立腰椎正侧位片。f: 术后站立正位片,PCD术后退行性脊柱侧凸得到部分矫正


2. Varga团队的回顾性研究(2019. Eur Spine J)

回顾性分析28例(112椎间盘)单节段或多节段PCD治疗严重腰椎间盘退变引起的轴性腰痛和功能障碍的临床资料。全部采用全麻,经Kambin三角椎间盘造影入路注入高粘度PMMA骨水泥。

术后骶骨倾斜角和骨盆倾斜角均明显减小,腰椎节段和整体前凸角、椎间盘和椎间孔高度均明显增加。随访6个月,VAS和ODI评分较术前显著改善,且腰痛的改善程度与节段性侧凸矫正明显相关,且无明显并发症的发生。

最后,作者得出结论,PCD是一种治疗严重椎间盘退变引起轴性腰痛和功能障碍的有效微创方法,不但可纠正腰椎侧凸,而且可达到椎间孔间接减压的效果。对于伴有多种内科疾病且不宜行开放手术的老年患者,PCD是一种选择。


3. 来自中国的回顾性研究(2017. Pain Physician)

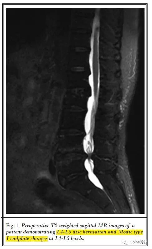
上海交通大学附属第六医院放射科Tian等将PCD与经皮腰椎间盘切除术(percutaneous lumbar discectomy,PLD)相结合治疗7例症状性腰椎间盘突出症伴终板 I型 Modic改变患者,采用局麻下后外侧入路,先进行椎间盘切除,然后进行PMMA骨水泥灌注,随访1年,VAS和ODI评分显著改善。仅1例出现骨水泥穿刺通道渗漏伴轻微腰痛,24h后缓解,未见其他明显并发症。

图: 左图为PLD(先),右图为PCD(后)

最后作者总结,PLD+PCP可作为老年腰椎间盘突出症伴I型Modic终板改变患者的可选治疗方法,对于因一般情况不佳难以耐受传统开放手术或不愿意接受开放手术的患者来说,这似乎是一个选择。此外,这是一种微创技术,可在清醒镇静下进行,并发症发生率极低,住院时间短。


4. Camino Willhuber团队的技术报道(2018. Eur Spine J)

Camino Willhuber教授来自阿根廷,他们详细的介绍PCD的操作过程、适应症和禁忌症及优缺点。

适应症:1. 老年患者,通常应大于75岁;2. 典型机械性腰痛,站立时加重,卧床休息或佩戴支具(主诉);3. 动力位片、站立和仰卧位X线片或站立X线和CT片提示腰痛与椎间盘高度变化相关,也称为手风琴现象(accordion phenomenon);4. 椎间盘真空征5. 1个或多个节段的脊柱畸形或退行性椎体滑脱且因高手术风险、不能耐受开放手术者

图:手风琴

图: 典型的手风琴现象左图为站立位X线片,右图为仰卧位CT。站立位负重时的椎间盘与仰卧位(不负重)椎间盘塌陷程度不同,且侧凸角度也不同(分别为25°和14°)

禁忌症:1. 严重骨质疏松症(相对禁忌症,可增加邻近椎体骨折)2. 严重畸形(相对禁忌症,PCD的目的不是为了恢复严重冠状位和矢状位平衡)3. 肥胖(相对禁忌症)4. 感染和肿瘤(绝对禁忌症)

值得一提的是,仅仅存在椎间盘真空征不是PCD的适应症(因为大多数真空征是无症状的),如果椎间盘内真空征伴随手风琴现象,则提示存在椎体节段不稳,可考虑行PCD。

典型病例: 1例78岁的女性患者,慢性腰痛1年(VAS 7分),活动后加重,卧床后减轻,严重影响生活质量,但无下肢放射痛,无四肢运动和感觉障碍。

图: 术前影响资料可见退行性侧凸伴多节段椎间盘真空征

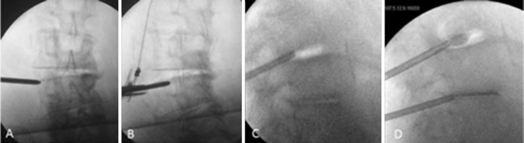
图: A: 俯卧位,髋关节伸展,以增加腰椎前凸和椎间盘间隙; B: 经皮透视下放置Jamshidi针; C: 在肌电图监护下穿刺并注射; D: 缓慢注射骨水泥

图: 椎弓根外入路(经安全三角,类似于椎间盘造影入路)

图: 椎弓根入路

图: 术后情况

图: 与典型病例相似的另一退变性侧凸患者,术前存在手风琴现象,经多节段PCD术后冠状位得到10°的纠正且恢复部分腰椎前凸

表:PCD的优缺点和注意事项


5. Camino Willhuber团队回顾性研究(2020. Global Spine J)

回顾性分析PCD治疗54例严重椎间盘退变伴/不伴退行性侧凸的病例资料,手术步骤参考上述的技术报道,术后最少随访1年,VAS和ODI评分均显著改善,腰椎前凸和冠状位Cobb角得到部分纠正。平均手术时间38min,平均住院时间1.2天。

纳入标准:

1. 年龄大于65岁;2. 存在机械性腰痛,严格保守治疗6周无效;3. 存在椎间盘真空征和软骨下硬化(subchondral sclerosis);

4. 存在手风琴现象

排除标准:

1. 病人少于1年随访时间;

2. PCD与其他手术同时进行,如融合术或减压术;3. PCD同一节段既往有手术史

术后90天,4例(7.4%)出现根性症状需要进行椎间孔减压,其中2例骨水泥渗漏至椎间孔,1例出现椎间盘突出,1例腰痛缓解,但出现根性痛,需进行椎间孔减压。

1例出现深部感染,1例出现PCD邻近椎体骨折并进行PVP手术。

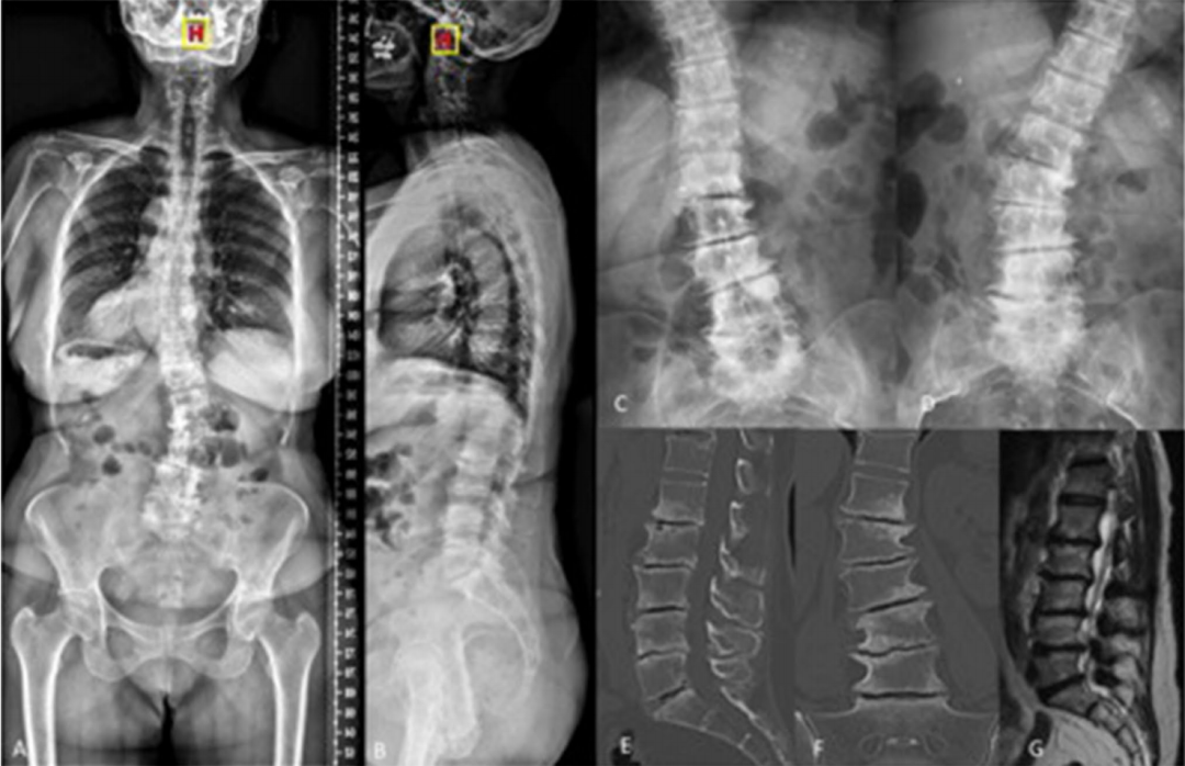
图: 典型病例

6. 来自国内的个案报道(2020. 颈腰痛杂志)

图: 国内西安市中心医院骨二科报道1例局麻下行经皮L5-S1椎间盘臭氧盘内减压术+PCD治疗顽固性腰痛,采用后外侧入路直接进入椎间盘,术后随访1个月,VAS和ODI评分均明显改善,未见明显并发症


7. PMMA-MC骨水泥 (2019. Regenerative Biomaterials)

来自四川大学和邢台骨科医院的研究,分析矿化胶原PMMA骨水泥(PMMA-MC)的特性,并应用于山羊椎间盘退变模型,发现PMMA骨水泥中加入矿化胶原可阻碍巨噬细胞的增殖,促进骨融合,减少胶原纤维的形成。因此,PMMA-MC可作为PCD的合适注射材料。

图:骨融合的大体观察


目前,PCD这项技术仍处于探索阶段,缺乏高质量的长期随访结果,但对于不能耐受常规手术的老年人,未尝不是一种选择。PCD的主要目的是缓解轴性/机械性腰痛,但纠正手风琴现象后可部分纠正退行性侧凸,增加椎间孔横截面积,缓解动态性椎间孔狭窄,从而改善下肢症状。Camino Willhuber教授认为PCD术后邻近椎体骨折较少发生,可能与严重椎间盘退变伴随手风琴现象患者存在的软骨下硬化有关。此外,类似于PVP,可将穿刺通道放置于椎间盘前中1/3,同时透视下缓慢、可控的推注骨水泥,骨水泥达到椎体后缘需停止注射,可预防骨水泥渗漏。

友情链接: