首页/创伤/复位新方法:粗隆间骨折之“顶拉技术”!/
复位新方法:粗隆间骨折之“顶拉技术”!
2022-12-21 16:37:021071浏览
粗隆间骨折的复位可以采用很多方法进行复位。但是有没有更好的方法呢?今天小编告诉你的新方法!不用切开,经皮微创复位,谁用谁知道!

粗隆间骨折是致死率很高的手术,近年来粗隆间的并发症越来越多。


固定失败的原因有很多,医生的经验不足骨折的分类、稳定性的判定、手术经验等;内固定的选择不当内固定的选择、内固定置入等;医疗设施匮乏不同医院和地域的医生水平差别大、缺少最基本的手术配套设备。


其中重要的原因就是粗隆间骨折的复位,粗隆间骨折复位,我们讲了很多,尤其是在扩髓前,对于移位的患者,可以采用很多方法进行复位。但是有没有更好的方法呢?今天小编告诉你的新方法!不用切开,经皮微创复位,谁用谁知道!


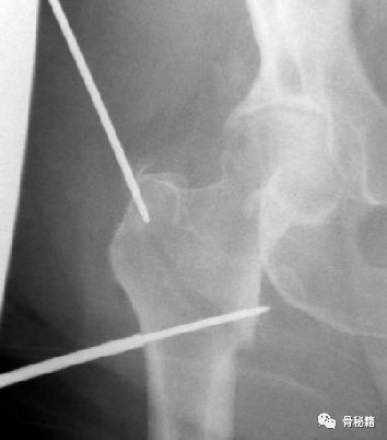
这样一个粗隆间骨折,骨折线经过入钉点,这个时候复位比较困难,及时复位,进钉的时候也很容易将骨折线撑开而造成复位不良。

我们先来了解两个常用方法

1.粗隆间骨折的顶外侧壁传统复位方法+快钻慢进

2.传统方法之微创钳夹复位法


今天我们介绍的是顶拉技术

什么是顶拉技术?

首先经过基本复位之后,大小粗隆之间仍然有少量复位不足,这个时候一般就可以打钉了,通过加压来完成其中的间隙闭合!

1.应用螺纹导针,植入到偏前方的皮质 直达内侧的骨折块


2.将该导针套上一个套筒直达骨皮质,套筒上夹kocher钳,远端连接T把手



3.下面就是复位了,将带螺纹的导针经过T把手向外侧拉,同时向内侧推kocher钳和所夹的套筒。这样一个进一个出,就完成了复位。

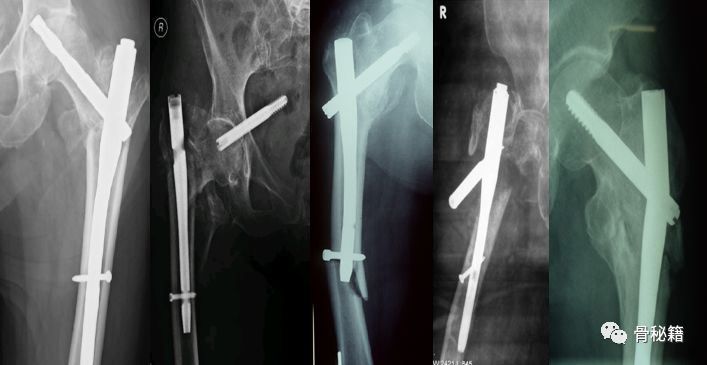
4.这种情况下就可以在复位加压的情况下完成骨折的扩髓和固定了

5.最后再通过螺钉的加压完成最后加压


术后影像,是不是感觉不错呢??

友情链接: