首页/骨科小技巧/腕部的“银叉征”!/
腕部的“银叉征”!
2023-01-03 13:51:013579浏览
腕部的“银叉征”!

腕银叉状畸形是指桡骨骨折远端连同手部向背侧移位,其近侧有凹陷。这是柯氏骨的典型体征之一。见图1~图2。

图A:解剖图示银叉样畸形;图B:银叉

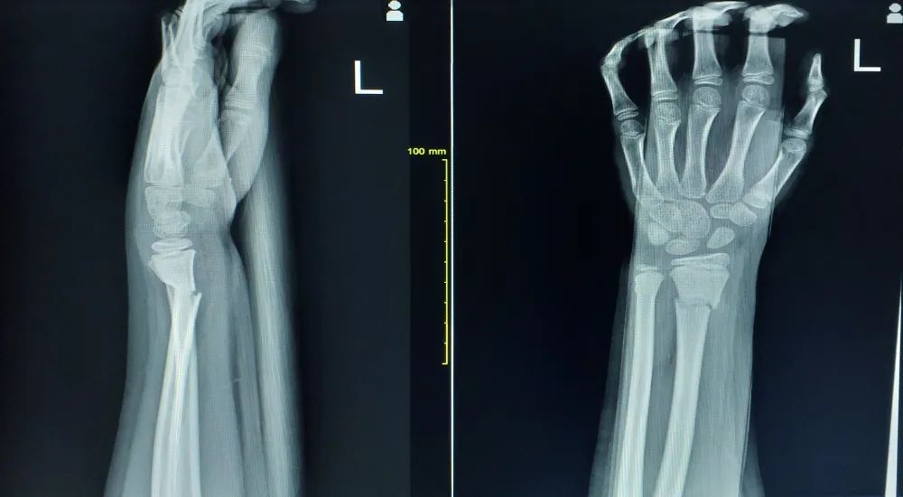
银叉样畸形X线图像

X线片正侧位示柯氏骨折

扩展阅读

1、伸直型骨折(Colles 骨折)

Colles 骨折多为腕关节处于背伸位、手掌着地、前臂旋前时受伤。

典型畸形姿态即侧面看呈「 银叉 」畸形,正面看呈「 枪刺样 」畸形。X 线可见骨折远端向桡、背侧移位,近端向掌侧移位。

2、屈曲型骨折(Smith 骨折)

受伤时腕关节屈曲、手背着地引起,也可由于腕背部受到直接暴力打击发生。

受伤后腕部下垂,局部肿胀,腕背侧皮下瘀斑。X 线可见典型移位,近折端向背侧移位,远折端向掌侧、桡侧移位。可合并下尺桡关节损伤、尺骨茎突骨折和三角纤维软骨损伤。

3、桡骨远端关节面骨折伴腕关节脱位

桡骨远端关节面骨折伴腕关节脱位 (Barton 骨折) 是桡骨远端骨折的一种特殊类型。

在腕背伸、前臂旋前位跌倒, 手掌着地, 暴力通过腕骨传导, 撞击桡骨关节背侧发生骨折, 腕关节也随之而向背侧移位。

其发生率占全身骨折的 0.1%。临床上表现为与 Colles 折相似的「银叉畸形」及相应的体征。

X 线拍片可发现典型的移位。当跌倒时, 腕关节屈曲、手背着地受伤, 可发生与上述相反的桡骨远端掌侧关节面骨折及腕骨向掌侧移位。

这类骨折较少见, 临床上常漏诊或错误诊断为腕关节脱位。只要仔细阅读 X 线片, 诊断并不困难。

友情链接: