首页/创伤/肩袖损伤的诊断及治疗策略,超详细解析!/
肩袖损伤的诊断及治疗策略,超详细解析!
2023-01-03 13:54:126203浏览
肩袖损伤越来越常见,发病率最高占到肩关节疾患的 41%!只有充分了解肩袖损伤,才能针对性地进行治疗。

肩关节由肱骨头与肩胛骨的关节盂构成,是典型的球窝关节。关节盂小而浅,边缘附有盂唇。

肩袖是覆盖于肩关节前、上、后方之肩胛下肌、冈上肌、冈下肌、小圆肌等肌腱组织的总称。位于肩峰和三角肌下方,与关节囊紧密相连。

肩关节力偶:从解剖学角度讲,肩袖在肩关节的三维活动中起一定的作用。在冠状面,三角肌和肩袖下半部分(冈下肌、小圆肌、肩胛下肌)是一对力偶;在水平面,肩袖前部(肩胛下肌)和后部(冈下肌、小圆肌)之间是另一对力偶。  

冈上肌和肩胛下肌腱融合成一个鞘状结构,在肱二头肌沟入口处环绕肱二头肌腱。鞘的顶层是由冈上肌腱组成,底层是由肩胛下肌腱组成。这种关系与肩胛下肌腱撕裂常并发二头肌损伤有相关性。

韧带是维持肩关节稳定性的静态结构,也是肩关节大角度运动的最主要稳定结构。肩关节韧带主要有盂肱上韧带、中韧带、下韧带、喙肩韧带和喙肱韧带。

肩袖损伤的诊断

肩袖损伤分为肩袖腱炎和肩袖撕裂两种情况。本病常发生在需要肩关节极度外展的反复运动中(如棒球,自由泳、仰泳和蝶泳,举重,球拍运动)。

肩袖损伤的症状

疼痛与压痛:肩部疼痛,急性期疼痛剧烈,呈间歇性,以夜间为甚,不能卧向患侧。慢性期呈持续性钝痛。可向上臂或颈部放射,肩外展或伴有内旋和外旋时疼痛加重。压痛多见于肱骨大结节处或肩峰下间隙部位。

肌肉萎缩:肩腱袖断裂2一3周后即可出现冈上、冈下肌萎缩,尤以冈下肌明显。

继发性软组织挛缩:病程超过3个月者,可以继发肩关节周围软组织的挛缩,肩关节活动范围有程度不同的受限以外展外旋及上举受限较明显。

肌力、活动度降低:主要为主动上举(包括外展和屈曲)、外旋和内旋力量的减弱和活动度的降低。但被动活动范围无明显受限。表现为洗脸、梳头、穿衣、拿放高处的物品以及驾驶等日常活动的困难。

肩关节的特殊检查:空罐试验敏感性最高(68.4%),坠臂试验和lift-off test的特异性最高(100%),而Neer test准确率最高(75%)。检查冈上肌和冈下肌时,Jobe sign和 full can test 准确率相当。Howkins sign敏感性83%,特异性23%。疼痛弧试验敏感性97%,特异性5%。外旋滞后试验和坠臂试验对于诊断全层撕裂有着较高的特异性(91%和86%)。

Lift-off阳性对于诊断肩胛下肌全层撕裂和脂肪浸润特异性很高。但是单独一个检查对诊断肩袖损伤是不够的,多个试验联合在一起可以明显提高诊断效率。

Neer征:患者取坐位,检查者稳住肩胛骨的同时,将患肩大幅前举,导致大结节与肩峰相撞击。是肩袖损伤的重要病因之一,尤其是冈上肌损伤往往伴有肩峰下撞击征阳性表现。(疼痛弧60°-120°)

Hawkins试验:患者取坐位,前屈肱骨头至90°并屈肘90°,然后强制内旋肩关节。本试验作为Neer征的补充都是检查肩关节撞击征的。

Gerber喙突下撞击试验:动作与Hawkins试验相似,肩关节前屈90°、肘关节伸直位,在水平面内收10°~20°,使小结节与喙突相接触。疼痛提示喙突下撞击征。冈上肌抗阻试验

Jobe 试验(空杯试验):肩关节外展90°,水平面内收30°(肩胛骨平面),内旋使大拇指向下,然后检查者在患者双侧手腕处施加垂直向下的应力,并嘱患者抗阻力外展肩关节。本实验用于检查冈上肌肌力。与对侧相比力量减弱或者提示肩袖病变或者冈上肌腱病变或者撕裂。冈上肌完全撕裂,可以出现落臂征。

冈下肌和小圆肌抗阻试验外旋应力试验:患者上肢外展前屈中立位,屈肘90°,肩关节外旋45°~60°,检查者于手背处施加应力,嘱患者做对抗动作,检查肩关节外旋肌力(冈下肌和小圆肌)。

外旋滞后试验:患者背对检查者,肘关节被动屈曲90°,检查者维持患者肩关节前屈20°并最大外旋位,检查者放松腕部后,嘱患者维持上肢位置,如不能维持为阳性。同样是检查冈下肌和小圆肌的功能。(类似投篮试验及吹号角试验)。

坠落征:患者背对检查者取坐位,检查者在肩胛骨平面保持患者上肢前举90°,肘关节屈曲90°并最大限度外旋上肢。检查者放松腕部,要求患者主动维持肘关节位置。如果滞后或“掉下”,则为阳性,主要检查冈下肌功能。

Lift-off 试验:主要用于检查肩胛下肌。患者取坐位或站立位,上肢内旋,手背部靠紧下腰背部。如果患者不能将手背抬离下腰背部,此试验为阳性

压腹试验:患者用手掌压住腹部,维持上肢于最大内旋位。如果主动内旋有力,肘关节不会向后掉落,肘关节位于躯体前方。

辅助检查

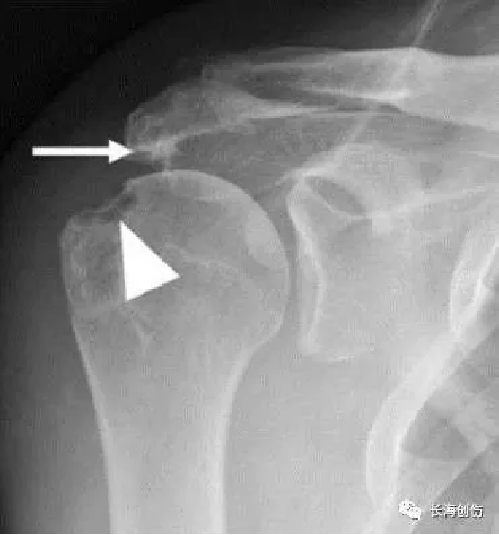
X线检查:一般无阳性改变,存在肩袖损伤的间接征象:可表现为肱骨大结节囊性变、肩峰下前1/3骨质硬化、肩锁关节退行性变和肱骨头上移。

超声检查:超声检查是一种可靠的、快速的、准确的检查手段,既经济又节省时间。超声可以提供非常清晰的肩袖影像,特别是大的和巨大的撕裂,敏感性和特异性与MRI相当。它对于肩袖全层损伤有着很高的敏感性(96%)和特异性(93%),对部分撕裂也有很好的诊断价值(敏感性84%,特异性89%)。它过分依赖检查医师经验。

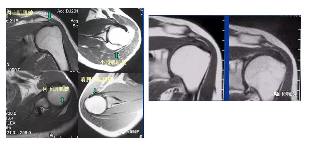
核磁共振:MRI不但可以显示肩袖损伤的程度、范围、肌腱回缩、脂肪浸润和肌肉萎缩等情况,还可以显示肱二头肌长头腱、肩峰形态、肩峰下间隙、肩锁关节等更多的信息。

MRI 分级:0 级:正常的肩袖韧带在MRI上为均匀的低信号,是肌腱的延续;1 级:又称肌腱炎,这时肩袖的连续性是完整的,但是在冈上肌肌腱内见信号的增高。1 级的信号改变在质子加权图像中显示最为清晰,为中等信号。这种信号的改变最为可能是由于水肿、炎症反应和出血所引起的;2 级:T1WI或PDWI上见有信号增高并见肩袖的变细或不规则,滑囊内通常有积液;3 级:T2WI上信号增高涉及整个肌腱,肌腱连续性中断,滑囊内多有积液。

鉴别诊断

肩袖损伤的治疗

分期Neer (1972)将肩袖损伤分为Ⅲ期:I 期为年龄<25 岁,病变可逆,活动时肩痛到活动期间痛,肩峰上区点状触痛,有疼痛弧,抗阻力时疼痛加重;

Ⅱ期为年龄25~40 岁,反复创伤引起慢性肌腱炎,持续性肩痛,常于夜间加重,体征与I 期相似但更重;

Ⅲ期包括完全性肌腱断裂、骨性改变,年龄在40 岁以上,病史长,可以轻度肩痛到严重肩痛,夜间为甚。肩活动范围可从正常到严重受限,被动活动大于主动活动。

非手术综合治疗

适用于Neer I 期,特别是伤后少于3 个月,肩袖部分撕裂、不愿接受手术治疗的完全撕裂和老年患者,予镇痛、止血、脱水、活血化淤等药物治疗,同时配合局部痛点封闭、理疗,并于患肩外展、前屈、外旋位予石膏或外展架固定3~4 周,随后进行肩关节功能锻炼,多可收到良好的疗效。

手术治疗

若非手术综合治疗4~6 周仍不能基本恢复肩关节的外展活动,则需考虑手术治疗。手术治疗适用于完全性肩袖撕裂和非手术治疗不满意的肩袖部分撕裂者。对肩袖完全撕裂者手术方法应选择原肌腱附着区域肌腱- 骨重新固定,用不可吸收缝线牢固缝合;对肩袖部分撕裂者,手术宜行断裂部位吻合修复。

肩袖损伤的康复

如果肩袖受伤,可以依照图示,进行几种帮助肩袖损伤康复的简单练习。准备一个弹力带,将它固定于墙壁、门或者脚下。每周练3-4次。开始阶段,每个动作5-6次为一组,做1-2组;随后可根据恢复情况增加训练强度,练习次数可逐渐增加至每个动作10-12次为一组,做2-3组。

友情链接: