首页/创伤/手术要点:尺骨鹰嘴骨折克氏针张力带固定的10大技术缺陷!/
手术要点:尺骨鹰嘴骨折克氏针张力带固定的10大技术缺陷!
2023-01-30 16:51:541476浏览
手术要点:尺骨鹰嘴骨折克氏针张力带固定的10大技术缺陷!

尺骨鹰嘴骨折占肘关节及其周围骨折的40%以上,对大多数尺骨鹰嘴骨折或尺骨鹰嘴截骨后的复位固定,克氏针张力带固定被认为是最简单、有效的固定方式。

由于其操作较为常规,导致部分医生将这一技术简单化、随意化,国外学者对239例尺骨鹰嘴骨折行克氏针张力带固定患者的X线进行分析,发现部分医生在该技术的使用上存在下述10项手术缺陷,直接导致内植物激惹、异位骨化、创伤性关节炎、关节活动度丢失等并发症。

10项手术缺陷示意图。

1. 两枚克氏针不平行。平行克氏针可更好传导力量,避免力传导分散。两枚克氏针成角>5°被认为是不平行。2. 克氏针过长。尽管有学者认为克氏针穿出对侧皮质1cm范围内是可以接受的,但突出的克氏针可能导致神经血管损伤等严重并发症。因此认为克氏针穿出长度超过克氏针尖长度的2倍被认为是克氏针过长3. 克氏针向桡侧偏斜。克氏针在侧位上偏斜在前后位上可清晰辨认。4. 克氏针尾部固定不充分。克氏针尾部在剪断后因折弯180°,以适应尺骨鹰嘴顶部的形态,并有效避免软组织激惹。5. 髓内克氏针。在较早的研究中认为,克氏针置入髓内(非置入对侧皮质)也可取得较好的固定效果,但现普遍认为,克氏针穿入对侧皮质可提供更好的稳定性。6. 克氏针穿入关节。由于鹰嘴滑车呈弧形,克氏针从顶端置入过程中有可能中间部分置入关节内,如发现置入关节内,则应尽快调整或翻修,克氏针置入关节会影响关节活动,并引发创伤性关节炎。

7. 单结固定。钢丝环绕8字后建议双结固定,双结固定可保证内外侧压缩力量均衡。

8. 钢丝结突出。钢丝结突出会导致软组织激惹、疼痛及不必要的内植物取除。建议钢丝结远离骨面。9. 8字结构松散。克氏针张力带的固定需保证内固定系统的稳定,从而将拉力转变为骨折断端的张力,当透视发现钢丝远离骨面或呈波浪状时,则表明8字结构松散。

10. 复位不确切。克氏针张力带发挥良好作用的前提是尺骨滑车关节面的良好复位,当关节面存在明显台阶或存在骨块丢失时,则表明复位不佳。

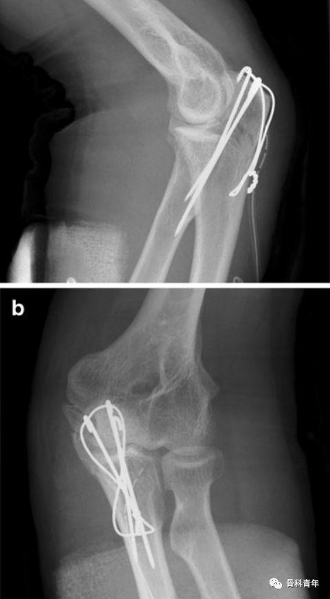
不规范操作示例:病例1:该患者X线显示克氏针过长,远远超出对侧皮质;克氏针不平行,存在交叉;并利用了第三根克氏针。


病例2:该患者X线显示克氏针过长;单结固定;克氏针尾部折弯不够,未有效固定;克氏针穿入关节。


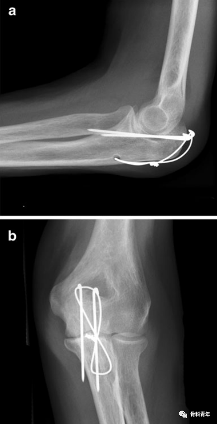
病例3:该患者X线显示克氏针向桡侧偏斜;克氏针过长。

友情链接: