首页/骨科小技巧/平片必备技能:前后脂肪垫征!/
平片必备技能:前后脂肪垫征!
2023-03-27 10:50:402921浏览
平片必备技能:前后脂肪垫征!

手术技巧

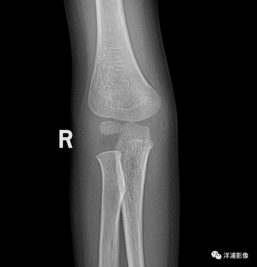
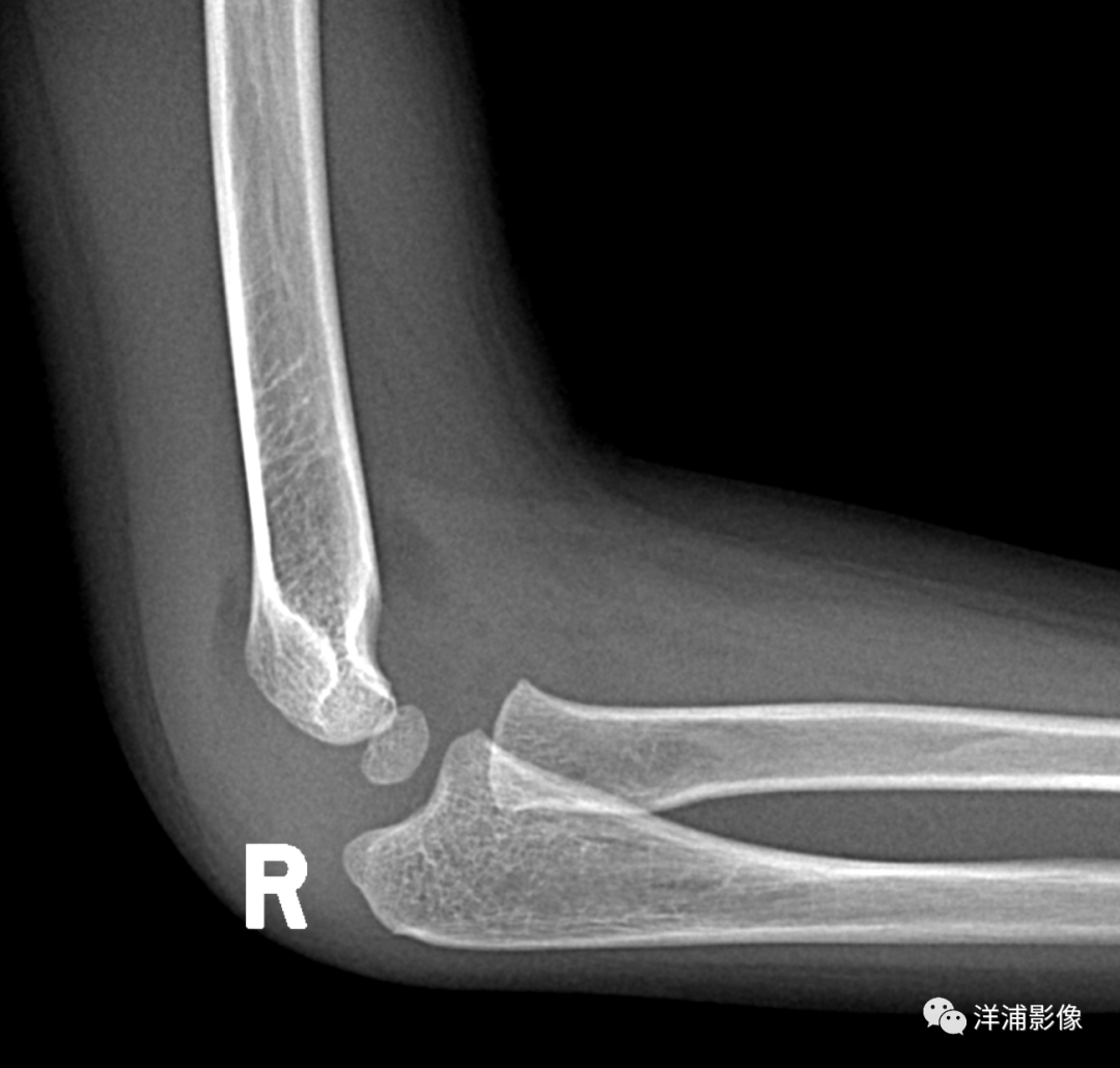
男,4岁,右肘外伤:



脂肪垫通常可在X线平片上显示,但当急性创伤导致软组织肿胀和出血时,脂肪垫可能移位或显示不清。在已知的众多脂肪垫中,目前最有意义的是肘关节囊内脂肪垫和膝关节髌上脂肪垫。当肘后脂肪垫及帆状前脂肪垫显现时,可诊断此为肘关节积液。肘后脂肪垫的显示强烈提示关节囊内隐匿性骨折,但1/4的患者在随访中无阳性发现。


脂肪垫征(fat pad sign):又称帆船征(Sailing sign) 或八字征;细微的软组织表现是骨折的标志,不应漏掉。前后脂肪垫移位提示肘关节内的积血、积液改变,使关节滑膜、脂肪垫被推移,在侧位片上呈“船帆”状;虽然有时肘关节X片中看不到骨折线,但是出现前脂肪垫征时强烈提示有桡骨小头骨折。



但是!!!!

脂肪垫征≠骨折,只是说骨折的概率明显增大。

部分研究表明前脂肪垫征(anterior fat pad sign)发生关节内骨折的概率为70-80%。后脂肪垫征(posterior fat pad sign)发生关节内骨折的概率达90%。

友情链接: