首页/关节/X线片测量全髋关节置换患者的长度和偏移量/
X线片测量全髋关节置换患者的长度和偏移量
2023-03-27 10:49:223056浏览
X线片测量全髋关节置换患者的长度和偏移量

达到合适的肢体长度是全髋关节置换术(THA)成功的关键。肢体长度的差异可能导致跛行、功能障碍、骨盆倾斜、不稳定和下腰痛,所有这些都可能导致患者严重的不满。肢体长度不均是继THA之后最常见的诉讼原因之一。手术中肢体通常会延长,但可接受的肢体延长目标尚不清楚。


肢体长度和偏移量计算


首先,在泪滴的水平线上画一条水平线。肢体长度从这条水平线测量到双侧小粗隆中心的水平。在小粗隆上选择了一个两侧看起来相等的位置。测量从颈部切口水平到坐骨的偏移量



测量肢体长度和偏移量的步骤。首先,使用以下标准获得中性旋转的骨盆前后(AP)片是必要的:骶骨中心应与耻骨联合中心对齐,骨盆倾斜度不应与患者的站立AP片有显著差异。两个股骨应该处于类似的小粗隆侧貌所示的相同的旋转度。两条腿的外展程度应相当,且屈曲程度相同。

然后画一条水平线连接两个泪滴的最下面的边缘。对于肢体长度,在小转子上选择一个双侧等效的点,并垂直于水平连接(图A)。为了确定偏移量,然后在每个股骨颈上选择一个点,大约在预期的颈部切口水平。从颈部这一点开始画一条线,平行于泪滴间线到坐骨边缘(图B)。

患者的体位被认为是获得准确测量的关键。测量结果将随着髋关节的屈曲、外展、内收、内旋和外旋而改。

(A)内收和内旋对右髋关节偏移量的影响。与左侧臀部相比,这会产生一种减少偏移量的感觉。(B)骨盆倾斜对肢体长度和偏移量的影响,通过减小髋关节抬高时的偏移量和肢体长度,而对向下旋转的髋关节产生相反的影响。

确定目标肢体长度和偏移量的算法

目标肢体长度是根据关节疾病的数量和患者对肢体长度差异的感知来确定的。多项研究表明,股骨头和髋臼的关节软骨范围在1毫米到2毫米之间。因此,如果关节间隔部分狭窄,肢体可能缩短2到3毫米。如果关节间隙完全狭窄,则肢体可能缩短了4到5毫米。根据骨丢失来确定肢体短缩取决于骨丢失的数量。研究人员发现,软骨下骨的厚度不到1毫米。

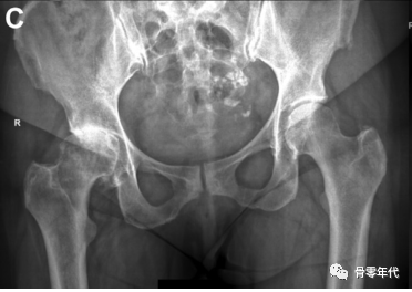
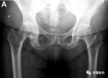
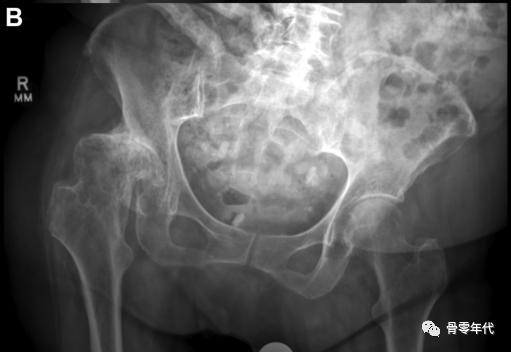
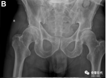
因此,股骨或髋臼软骨下骨丢失时,肢体可能缩短5-6 mm,股骨和髋臼骨丢失时,肢体可能缩短6 mm以上。就本研究而言,骨关节炎的严重程度可分为轻度关节间隙狭窄、完全关节间隙狭窄而无骨质侵蚀、股骨或髋臼骨质丢失,以及股骨和髋臼联合骨质丢失。具有更严重的骨关节炎或更大的结构缺失的患者被分配到更高的目标肢体延长术。肢体延长2~3mm为轻度关节间隙狭窄,4~5 mm为完全关节间隙狭窄,5~6mm为股骨头扁平或髋臼骨质侵蚀。术中选择假体大小时,优先考虑肢体长度和干管适合性,而不是偏移量(如有必要)。因此,在某些情况下,由于杆设计的限制,最终偏移量被允许保持不对称,差值大于5 mm。

用于目标肢体延长的关节炎严重程度分级。(A)关节间隙轻度变窄的目标是延长2-3 mm。(B)完全缩小关节间隙的目标是加长4-5mm。(C)股骨头扁平或髋臼骨质侵蚀可延长5~6mm。(D)股骨头和髋臼侵蚀的目标是延长6mm或更长。

平片较CT不能准确反映股骨偏移量

因此,为了正确评估髋关节生物力学,需要标准化的骨盆放射图像,尽管在临床实践中,这些要求可能会因肥胖和痉挛等患者相关因素而变得相当复杂。相比之下,计算机体层摄影(CT)扫描提供了骨盆的三维视图,并允许以高精度和重复性进行详细的生物力学分析。

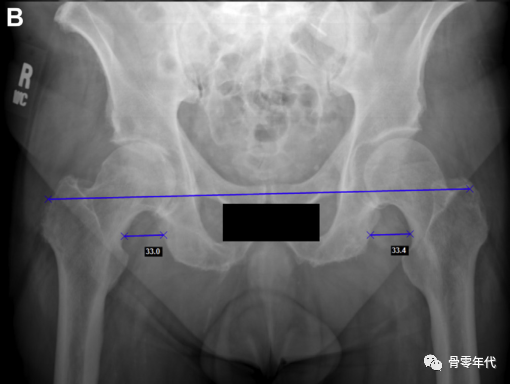
Markus Weber测量了18具身体标本在骨盆正位X线片和CT上的腿长(LL)、整体长度(GO)和股骨偏移量(FO)的变化。四名检查员进行了两次X线片测量。X线和CT测量之间的平均差异为:LL为1.0  mm, GO为0.6mm, FO为1.4mm。1%的放射学LL, 15%的GO和35%的FO测量超出了5毫米的公差极限。x线片用于测量LL/GO变化似乎是可以接受的,但不能反映THA的FO变化。

通过比较术前(A)和术后(B)骨盆的放大校正X线片,评估LL(#)、GO(+)和FO(*)的变化.

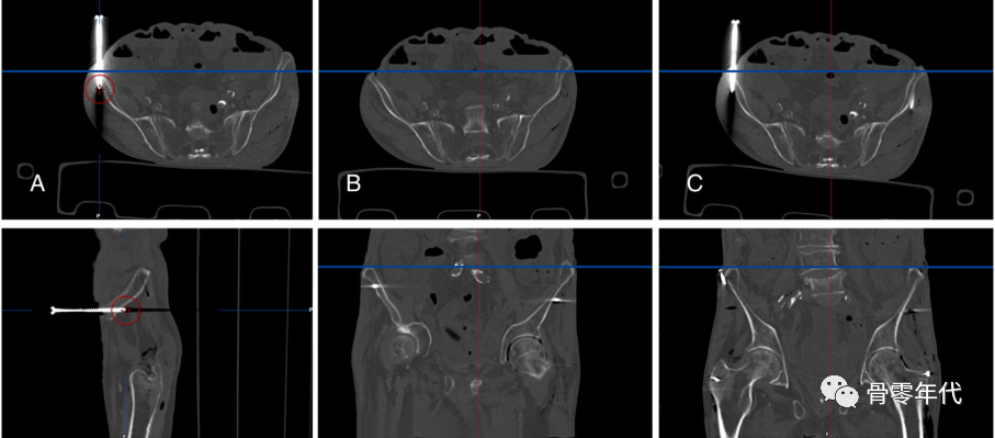
(A)对CT测量,确定了基准地标。然后分析骨盆旋转(B),测量LL、GO和FO的变化(C)。

采用基准点三维ct测量LL (A)、GO (B)和FO (C)变化。对于LL,指小转子上侧面通过ASIS到横平面的距离。从耻骨结节到股轴的垂直距离定义了GO。对于FO测量,创建了Sariali等人描述的特定股骨框架

总结

使用X线测量肢体长度和偏移量,肢体和骨盆位置至关重要。Markus Weber指出X线片似乎可以用来测量LL/GO的变化,但不能准确反映THA的股骨偏移量变化。如果关节间隔部分狭窄,可以适当延长肢体。

友情链接: