首页/骨科小技巧/“倒梯形征”!/
“倒梯形征”!
2023-03-27 10:45:081259浏览
“倒梯形征”!

手术技巧

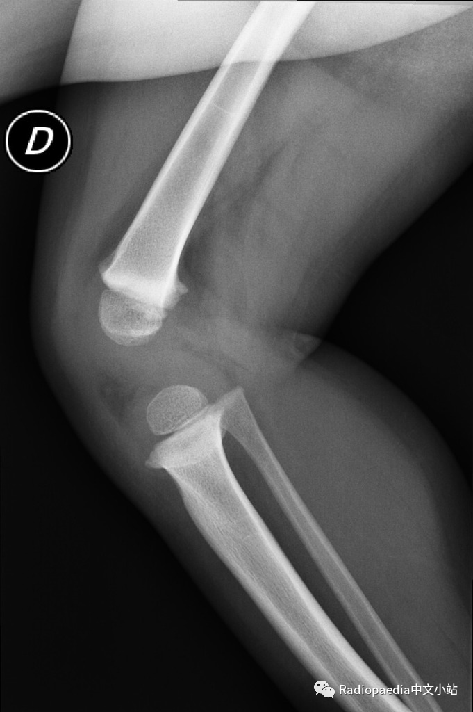
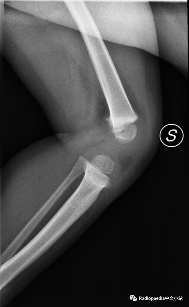
年龄:2岁性别:男病史:O型腿,走路困难

X线


X线见双胫骨内翻,双胫骨近侧干骺端增宽,内侧皮质增厚呈鸟嘴样

胫骨干骺端-骨干角

胫骨干骺端-骨干角:通过胫骨近侧干端的最宽处画条直线(连接内侧和外侧尖状突起处),该线与胫骨长轴的垂直线形成的角度,用于诊断Blount病。胫骨生理性弯曲(2岁以下常见)时,这个角度大约为5°,当大于11°提示 Blount病,大于20°可确诊。但是,一些研究已经开始质疑干骺端-骨干角的有效性,因为该角度的测量可能受到胫骨旋转的影响。

结论:Blount病

病例讨论


Blount病(胫骨内翻)是一种累及胫骨近端的进行性畸形,发病机制可能是由于胫骨近侧骺板的内后方受到应力,导致生长板发育障碍。该病分为婴儿型和青少年型。


婴儿型Blount病,常为双侧受累(60~80%),但双侧多不对称。多有家族史,见于1~3岁婴幼儿,危险因素是过早走路和肥胖。需要与生理性弯曲相鉴别。


大部分2岁以下的婴幼儿下肢弯曲都是正常的,属于生理性改变,不需要治疗就可以消失。生理性弯曲的特点:①胫骨和股骨均向外侧弯曲;②股骨远端和胫骨近端干骺端边缘轻度致密、呈鸟嘴样突出;③胫骨和股骨的内侧骨皮质增厚;④股骨远端和胫骨近端骨内侧骨化不良呈楔形;③胫骨远侧生长板可以倾斜。


当临床出现进展性内翻,同时平片中胫骨近端出现特征性改变(干骺端内侧增宽、规则,骨皮质增厚且呈垂直走形呈鸟嘴样;内侧骨骺高度减小)时可以明确诊断。


青少年型Blount病进展缓慢,多发生于8~14岁儿童,多为单侧。患者常伴疼痛,畸形程度较婴儿型小。


治疗:通常都会在患儿18~24个月大时开始进行支撑治疗,持续时间平均为2年。如果保守治疗失败,患儿可能需要进行重排截骨术,这种手术在患儿5岁前进行效果最住。对于青少年型 Blount病患儿,如果存在继续生长的可能,则可以行胫骨外侧干骺端固定术。


因为Blount病会引起进行性加重的畸形,到了后期只能通过手术治疗。所以,Blount病的早期诊断至关重要。

友情链接: