首页/口腔修复/前牙有“缝”怎么办?谈谈前牙间隙的关闭技巧!/
前牙有“缝”怎么办?谈谈前牙间隙的关闭技巧!
2023-04-03 18:09:171493浏览
前牙有“缝”怎么办?谈谈前牙间隙的关闭技巧!

牙间隙闭合手术是牙科美容术中最常用的治疗方法之一。我们将一步一步地展示这个案例,来给出一种方案,可以让你在这种类型的治疗中取得成功。

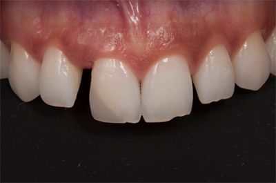
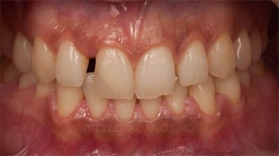
图1一位28岁的女性患者,她要求用微创牙科治疗来解决这个问题。

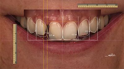
图2我们拍摄口腔内和口腔外的照片来制作DSD协议,向患者展示我们可以达到的效果,并在治疗阶段指导我们。

图3

图4数字微笑设计旨在了解我们在治疗期间可以做些什么,并且是在牙科计划期间指导我们的一个很好的工具。

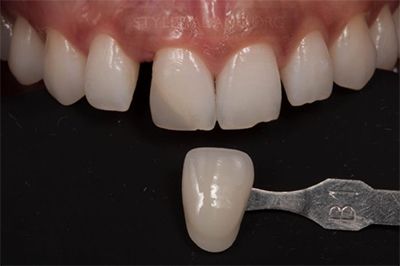
图5我们将数字分析转移到铸造模型中,使蜡与我们提出的实际情况和治疗计划一样可靠。

图6打蜡是为了向患者展示可能的最终结果,并在分层过程中指导我们。

图7使用16%的碳化物过氧化物制备漂白方案。

图8当我们得到病人想要的颜色时,我们就进入了恢复期。

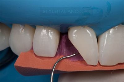
图9用橡皮障隔离以获得干燥的空间,可以用模板进行穿孔。

图10重要的是要有良好的空间

图11消除旧的复合材料,但没有消除太多的牙釉质。

图12用甘氨酸粉清洁牙齿,让我们有更好的附着力。

图13与其他粉末相比,甘氨酸对牙本质的侵蚀性较小。

图14在这种情况下,使用三步粘合剂来获得粘合。用37%正磷酸蚀刻。

图15

图16黏合

图17利用LM-Arte Fissura仪器,我们可以对硅键进行标记,从而知道在哪里扩展第一层复合材料。

图18涂上牙釉质层。

图19取下硅胶键后,我们用氧化铝盘去除远端多余的复合材料,注意不要破坏蜡制的解剖结构。

图20分层过程是按照复合配方进行的,并注意牙釉质的厚度。

图21我们一颗牙齿接着一颗牙齿做。

图22用铅笔绘图让我们知道我们需要复制的解剖结构。

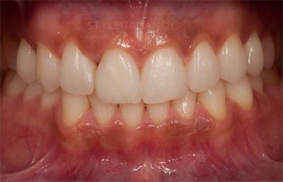
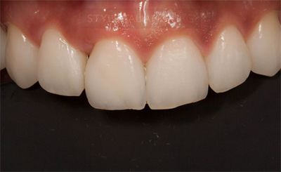
图23最终结果。

图24通过遵循这些步骤,可以达到预期的良好结果,并给患者想要的效果。

友情链接: