首页/骨科小技巧/【骨科小技巧】骨折后相关感染!/
【骨科小技巧】骨折后相关感染!
2023-04-23 10:27:571032浏览
骨折相关感染(FRI) 是骨损伤后的严重并发症,会给诊断带来严重挑战。总体而言,关于 FRI 诊断标准的科学证据数量有限。

骨折相关感染(FRI) 是骨损伤后的严重并发症,会给诊断带来严重挑战。总体而言,关于 FRI 诊断标准的科学证据数量有限。

致病菌进入伤口并将宿主的反应从骨愈合过程转移到可以阻止骨骼愈合的炎症和抗菌过程。

诊疗流程(长按翻译英文)

仅有的 2 个无可争议的明确标准是化脓性引流伤口裂开/破裂

FRI 的诊断标准

确认标准提示性标准

临床症状

 瘘管

 窦

 伤口破裂

 化脓性引流或有脓液

临床症状

 局部/全身(如局部发红、肿胀、发热)

 新发关节积液

 持续、增加或新发的伤口引流

微生物学

 通过培养从至少 2 个独立的深部组织/植入标本中鉴定出表型难以区分的病原体

实验室标志

 血清炎症标志物(ESR、WBC、CRP)升高

组织病理学

 深层组织标本中存在微生物,通过使用针对细菌和真菌的特定染色技术进行确认

 在慢性/迟发性病例中存在 > 5 个

中性粒细胞/高倍视野(例如骨折不愈合)

放射学和/或核成像标志微生物学

 从单个深层组织/植入标本中鉴定出的病原微生物

临床症状 - 以下任何一项:

疼痛(不负重,随时间加重,新发)

局部发红

局部肿胀

局部温度升高

发烧(单次口腔温度测量值≥38.3°C (101°F))

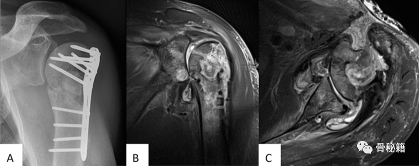
肱骨骨折术后感染,MRI显示感染范围与窦道坏死区域。

放射学迹象 - 以下任何一项:

溶解(在骨折部位,植入物周围)
内固定松动
形成隔断(随时间发生)
骨愈合进展失败(即骨不连)
存在骨膜骨形成(例如,在骨折部位以外的地方或在合并骨折的情况下)

分类

骨折固定后出现症状的时间是最常用和适用的 FRI 分类方法 。Willenegger 和 Roth 将 FRI 分为早期(< 2 周)、延迟(3-10 周)和晚期(> 10 周)。这种分类被广泛采用,因为它代表了 FRI 的时间依赖性病理生理变化,并可能影响治疗决策。

接骨术后早期出现的感染主要由病原体(如金黄色葡萄球菌). 通常通过临床评估做出诊断,因为这些患者通常表现出典型的局部感染体征和伤口渗液,可能伴有局部或全身炎症反应。在这个阶段,细菌可以附着在表面并形成生物膜,然而,这种“早期”生物膜可能仍处于“不成熟”阶段。

延迟出现代表一个灰色区域,具有成熟的生物膜和病原体可能的骨侵入。延迟可能是由于毒性较低的生物体或早期抗生素使用不足,部分抑制了感染症状的早期发作。

在晚期感染中,可以看到成熟的生物膜以及骨坏死和骨质溶解,需要彻底清创和移除/更换植入物 。致病病原体可能非常多样。

FRI 手术治疗的主要目标 

1.骨折稳定

2. 根除感染作为最终结果

(在某些情况下,最初抑制感染直至实现骨折稳定)

3. 软组织的愈合

4、功能恢复

5.慢性感染/骨髓炎的预防

这个时候考虑了两个主要的手术概念,基于骨折固定装置主要针对骨折巩固并且可以在愈合后移除的事实,这与植入物是永久性的假体周围关节感染相反。

第一个概念包括植入物保留,第二个概念包括植入物移除(愈合的骨折)或植入物更换(未愈合的骨折)。

在这两种情况下,微生物检查的深层组织取样都是必须的。

FRI 手术治疗的关键方面是彻底清创、用生理盐水冲洗、骨折稳定性、死腔管理和足够的软组织覆盖。需要强烈考虑使用抗菌药物。在 FRI 的情况下,应在组织取样后开始经验性广谱抗生素治疗。此后,这需要尽快根据培养结果进行调整。最后,建议在停止治疗后至少进行 12 个月的随访。

内容来源于骨秘籍!

友情链接: