首页/骨科精读/骨科精读 | ​腓骨的固定在治疗胫骨 pilon 骨折中——真的有必要吗?/
骨科精读 | ​腓骨的固定在治疗胫骨 pilon 骨折中——真的有必要吗?
2023-04-23 10:31:251369浏览
胫骨 pilon 骨折的发生多是由于高能量轴向负荷产生的关节和干骺端粉碎以及广泛的软组织损伤。腓骨骨折的存在是胫骨 pilon 骨折放射学严重程度的预测指标。

胫骨 pilon 骨折的发生多是由于高能量轴向负荷产生的关节和干骺端粉碎以及广泛的软组织损伤。腓骨骨折的存在是胫骨 pilon 骨折放射学严重程度的预测指标。

尽管 Ruedi 和 Allgower 于 1969 年提出手术治疗应首先固定腓骨以恢复长度,然后再固定胫骨,包括重建胫骨关节面,然后植骨等,但尚无明确的方案来建议固定的顺序和方法填补干骺端缺损和内侧支撑。

然而 ,关于胫骨pilon ORIF 中腓骨固定的作用报道不多,但越来越多的证据表明,在这些复杂骨折中,腓骨根本不需要固定。

Choon Chiet HONG等人通过回顾研究腓骨固定在治疗胫骨 pilon 骨折的必要性,介绍如下:

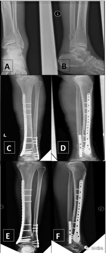
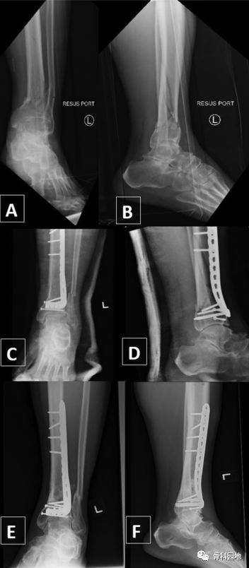
治疗方法

一、没有腓骨固定的情况下使用前外侧胫骨远端钢板固定骨折

二、使用内侧胫骨板和腓骨钢板固定。

三、使用前外侧钢板固定胫骨和腓骨克氏针固定。

数据分析

 一、胫骨 pilon骨折 和相关腓骨骨折患者的人口统计数据。

二、胫骨 pilon骨折 和相关腓骨骨折患者的并发症比较腓骨是否固定

三、去除植入物 (ROI) 的亚组分析。3A:比较有腓骨固定和没有腓骨固定的 ROI。图 3B:比较采用腓骨固定的 ROI,但采用固定类型(钢板和螺钉与克氏针)。3 C:比较仅涉及腓骨植入物的 ROI。

结论

胫骨 pilon 骨折治疗中的腓骨固定不是常规必需的,也不会减少机械并发症,如畸形愈合、延迟愈合、骨不连和植入物失败。腓骨骨折固定应保留用于可能有助于复位或提供额外稳定性的情况。需要更多的临床研究来探讨腓骨固定在治疗胫骨 pilon 骨折中的作用。

内容来源于骨科园地!

友情链接: