首页/骨科小技巧/【骨科小技巧】跟骨骨折透视⽅法!/
【骨科小技巧】跟骨骨折透视⽅法!
2023-04-23 10:37:063042浏览
跟骨骨折相对比较少见,占所有骨折的1%-2%,但因其可导致长期残疾,所以很重要。

跟骨骨折相对比较少见,占所有骨折的1%-2%,但因其可导致长期残疾,所以很重要。严重跟骨骨折最常见的机制是高处坠落后足部轴向受力。跟骨骨折可分为两大类:关节外骨折和关节内骨折。关节外骨折通常更易评估和治疗。跟骨骨折患者通常存在多处合并伤,评估患者时考虑到这种可能性是很重要的。

正确患者透视体位是手术的关键

今天主要介绍一个跟骨的几个透视体位

常用的体位包括侧卧位,俯卧位,今天主要介绍侧卧位。

X 线影像学评估是正确诊断的基础,可有效指导临床治疗。

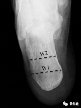
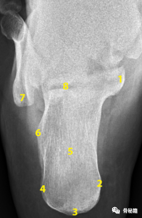
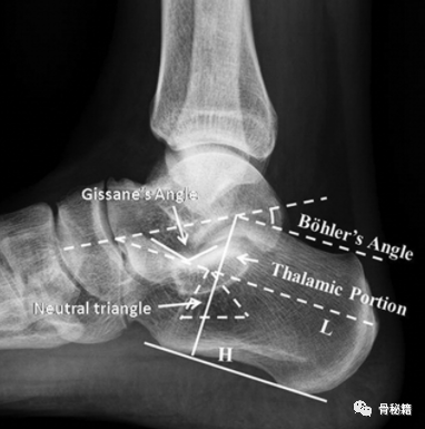
跟骨骨折的 X 线评估主要包括对侧位片和轴位片,Broden位片的测量。

1. 侧位像。在侧位片上有 2 个非常重要的影像学标记 

Böhler’s 角:评价跟骨高度和关节压缩情况; 

Gissane’s 角:评价跟骨前、中和后关节面的相对位置改变。

2. 轴位片。主要用于评价跟骨外翻畸形程度、宽度、后关节面的塌陷及与跗骨窦的相对位置。

3.Broden位片 可评估跟距后关节面的较好方法,用于术中评估关节面骨折复位情况;

患者被放置在 X 射线可透⼿台上的卧位,⼿台有⻓的悬垂板,可容⼤型 C 臂通过,⼿外科医⽣位于患者后⽅,以便⻣折复位和螺放置提供最佳位置

透视装置与患者的前部和尾部成⼤ 45 度⻆定位,可以位、斜 (Broden) 视,并在垂直位置行透视。

距下关节的可视化最好通过侧斜视图获得, 其中 C型臂向后滚动约30 度,稍微向床脚倾斜。可以通过不同的旋转和倾斜量进⼀步微调后⼩⾯和距下关节可视化。

透视装置与床脚成45 度⻆时,外科医⽣将透视装置向后滚动到桌⼦⻆下⽅的⽔平位置,即可轻松查看后⾜视图(Harris视图)

内容来源于骨秘籍!

友情链接: