首页/口腔修复/口腔精读 | 不借助导板直接修复IV类洞的完整步骤!/
口腔精读 | 不借助导板直接修复IV类洞的完整步骤!
2023-04-23 10:45:382340浏览
IV类洞的修复是最具挑战的洞形。在本病例中,我们将回顾一些必要的步骤,使这类技术更易掌握。

译者:郁皓文,南京医科大学口腔医学院2022级硕士研究生(导师:于金华 教授)

原文网址:https://www.styleitaliano.org/index-free-class-iv-complete-step-by-step/


IV类洞的修复是最具挑战的洞形。在本病例中,我们将回顾一些必要的步骤,使这类技术更易掌握。让我们从以下4条基本规则开始:

1. 我们必须叠加不同的材料,包括混合半透明和不透明的材料,以获得类似天然牙齿的效果。

2. 我们必须优先考虑恢复牙齿的形状和解剖结构,而不是一些小的特征。照片、工具、模型和器械的运用都非常重要。

3.修整和抛光技术必须简单、快速和有效,并且医师应该能够在检查和后期维护时重复操作。

4. 我们必须知道如何长期维护修复体,即如何修整和调改它,以防它变色或出现裂缝,甚至折裂。


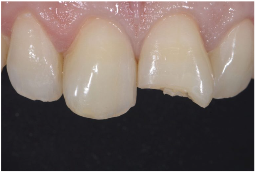
本病例患者的21发生了IV类洞非复杂性冠折。我们决定立即修复它,因此并没有用蜡型。在做所有其他操作之前,我们先进行了比色并选择了色度。

图1. 前牙直接修复顺序。其内容考虑了所有可能的情况,涵盖从去除旧的修复体,到恢复不同类型的边缘的各种步骤。在本病例中,没有旧的修复体,因此步骤1和2是不必要的,而步骤5和6并不是本病例情况选择的边缘。重要的是使流程说明方便我们的治疗。STYD5:确定原修复体边缘;STYD2:去除原复合树脂材料;STYD6:中长斜面预备;STYD7:去角;STYD8:邻面边缘预备。

图2. STYD3车针用于去龋和去除残片。它有3个尺寸,可根据需要使用。

图3. 如果能够正确选择斜角,它能够有效保护牙体组织,并提供一个非常好的促进材料与牙体混合的效果。45度斜角用于牙齿的中三分之一,这在大多数情况下适用。使用的STYD6车针。

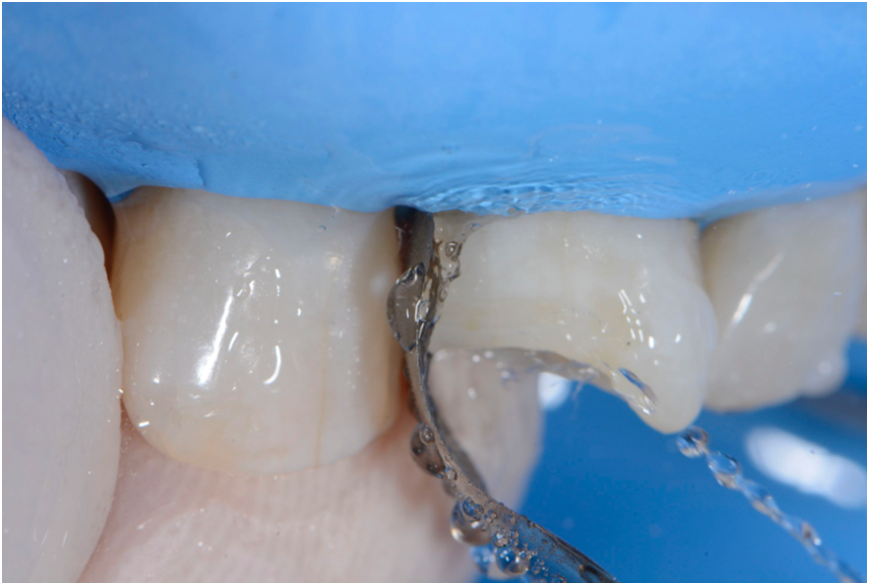
图4. 对牙釉质进行选择性酸蚀,时间最少为15秒,最多为30秒。

图5. 彻底冲洗酸蚀剂。          

图6. 反复涂擦粘结剂20秒。

图7. 扩展固化是影响粘结层质量的关键因素之一。

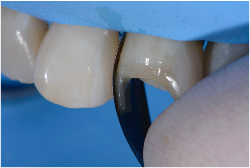
图8. 为了在无导板的情况下修复,首先需要通过添加材料来获得一个可操作的缺损范围。我们将专注于重建一个由天然牙体和邻近牙齿引导的邻面结构,然后根据周围解剖结构进行调整。成形片被用来帮助构建近中壁。

图9. 使用的低振动频率的充填器械来堆塑材料。

图10. 由于材料的触变特性,振动使其更具流动性,很容易贴合。一旦振动停止,复合树脂材料就会恢复到较硬的稠度。

图11. 边缘嵴的构建,需要尽可能多地从周围组织中得到参考。本病例是从颊侧开始,模拟腭部的倾斜度也是一样。

图12. 复合树脂材料固化时,要用手指握住成形片到其最佳位置。一定要精细,并确保成形片没有变形。

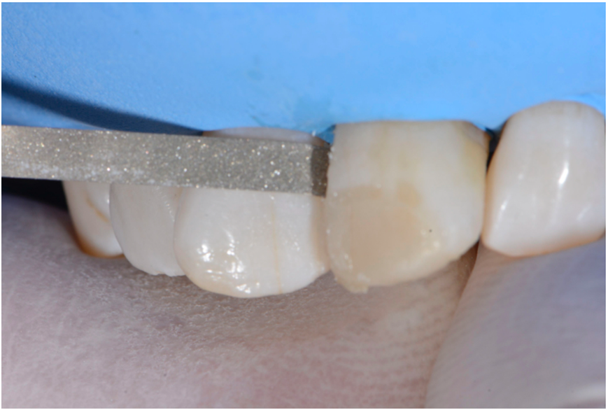
图13. 对徒手堆塑结构的修整是必要的,用低速砂碟完成外形的修整。

图14. 内侧壁的修整使用STYD2车针完成,不用喷水。

图15. 用粘结剂可以很容易地去除调磨产生的碎屑。随后吹气去除粘接剂及其中的碎屑。

图16. 制作近中壁的目的是增加一些支撑,以确定手指的正确位置,从而获得足够好的结果。只有这样,我们才能在预计的位置添加少量薄平的复合树脂材料于空腔中,并去除多余的材料,进行固化形成一个相当好的腭壁。

图17. 复合树脂材料在成形后固化。手指牢牢地保持在原地,不要用力过猛。重要的是不要在腭部造成缺陷。

图18. 在未固化的牙本质树脂上使用Misura器械,以达到合适的唇侧层厚度。

图19. 塑形毛刷的准备。使用粘结剂湿润毛刷是必要的,不过液体不要过量,否则可能影响复合树脂材料的物理性能。

图20. 前牙树脂毛刷的使用。

图21. 最后的釉质层通常用手工堆塑。对于纹理较多的牙齿来说,这项任务可能具有挑战性。通过使用LM Arte Condensa的尖端左右移动赶压和抛光树脂团,复合材料将能够在器械的引导下贴合唇侧缺损。也可以用大一点儿的充填器械。

图22. 在成形器械的帮助下,通过简单地将器械从一个表面(牙体)移动向另一个表面(未固化的复合材料),我们可以精确地恢复唇面。

图23. 对堆塑外形的修整从确定切端长度开始。

图24. 随后是初步恢复解剖形态。

图25. 用红标抛光条修整近中面。

图26. 前牙修整车针。STYF1:二级解剖结构定深;STYF3:咬合面和切牙引导;STYF4:光滑和三级解剖;STYF5:精细光滑。

图27. 使用STYF3车针修整腭侧,使其光滑。

图28. 然后在STYF4车针的帮助下确定二级解剖。

图29. 用STYF5车针进行精细平滑抛光和进一步调整纹理。

图30. Shapeguard spiral 进行预抛光。

图31. 抛光膏和毡轮配合一起使用。

图32. “混合钻石膏”(hybrid diamond paste)是一种超高光泽的化合物。它在抛光时不会从牙齿上脱落,但由于它是完全水溶性的,只需用水就能非常容易地去除。

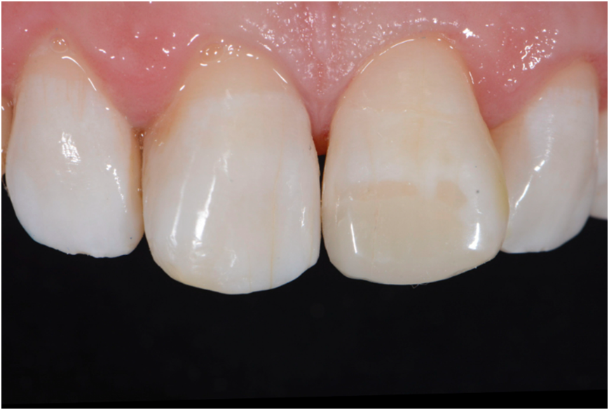
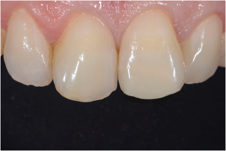
图33. 最终修复体,修复体区域较暗是预期中的,患者应该在开始之前就被告知这一点。

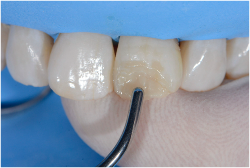
图34. 复查显示了几乎完美的整合,这就是为什么我们不应该在橡皮障下临时使用颜色,或在完成后立即调整修复体。

内容来源于江苏牙体牙髓!

友情链接: