首页/口腔修复/口腔精读 | 中切牙直接印模法复合树脂修复!/
口腔精读 | 中切牙直接印模法复合树脂修复!
2023-04-23 10:54:091462浏览
一位20岁的女性患者要求改善她的笑容。她在10岁时遭遇外伤,中切牙接受了不锈钢牙冠修复。患者有着良好的的口腔卫生以及牙龈健康。

译者:赵炜业,南京医科大学口腔医学院2017级“5+3一体化”本科生

原文网址:https://www.styleitaliano.org/direct-mock-up-and-direct-composite-on-central-incisors/ 

审校:闫明


一位20岁的女性患者要求改善她的笑容。她在10岁时遭遇外伤,中切牙接受了不锈钢牙冠修复。患者有着良好的的口腔卫生以及牙龈健康。

图1. 牙髓活力试验阳性,X线片未见根尖周病变。

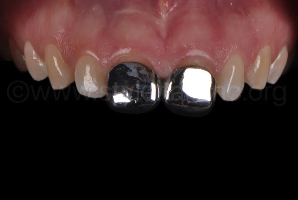
图2. 可以注意到不锈钢牙冠边缘和牙龈组织之间的牙冠暴露,这是过去 10 年在上颌发育阶段牙齿继续萌出的指征。

为患者提供了不同的治疗方案,但最终由于患者年龄很小选择了损伤较小的方案。

图3. 使用Jota TM # C18R 碳化钨车针去除金属冠,去除时务必小心不要损坏牙釉质。用超声波仪器通过空化去除磷酸锌粘接剂。

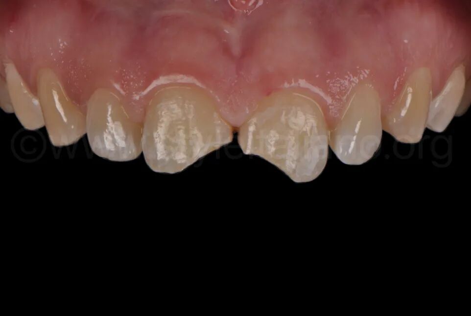
图4. 可见宏观和微观纹理。为了牙釉质的最佳保留,我们选择了用复合树脂直接修复以尽可能恢复牙齿完整性。

图5. 选择按钮大小的复合树脂进行初步比色尝试。在牙齿的颈部区域取颜色饱和度,因为它是牙齿中牙釉质最少的部分以及在切缘区域确定牙釉质和半透明度的值。

图6. 橡皮障隔离是为了防止手术过程中的污染。

图7. 在对牙体组织进行修整之前进行直接模型制作。由于我们没有在上橡皮障时使用夹子,我们在对直接模型进行光固化之前可以让患者咬合进行调整。

图8. 因为硅橡胶适应性更好,在橡皮障下制作硅橡胶咬合导板可以更好地贴合。

图9. 用锋利的器械去除模型,牙齿表面用50μm氧化铝颗粒喷砂。

图10. 进行选择性酸蚀,然后进行牙本质处理和粘附。

图11. 在硅橡胶导板重新就位后,使用半透明复合树脂在导板上堆塑腭侧壁。

图12. 用抛光条和金刚砂车针去除多余的树脂。

图13. 去除多余的复合材料后,我们需要对接触点进行整形。

图14. 因此,放置了两个金属片段成形片并用塑料楔子固定。为了获得紧密的接触点和更直的邻接壁,用手指捏住成形片的上端会很有帮助。

图15. 流动树脂可用于获得更光滑的邻接壁。

图16. 注意,切端牙本质发育叶的形状和大小将决定修复体中乳白光的类型。

图17. 我们在最后一层放了A2树脂,在邻接端我们改为 A1。

图18. 我们使用甘油来防止氧阻聚层的形成并提高最终光泽度。

图19. 用铅笔标记近中边缘嵴。近中线像一个拉长的 S,远中线较短。在两颗牙齿的颊侧表面上绘制凹陷和隆起。始终保持对称。

图20. 使用#873 JotaTM的锥形金刚砂车针低速研磨树脂,标记凹陷和凸起的区域,也可以使用倒锥形#807 JotaTM制作微纹理。

图21. 等待修复的牙齿再水化以评估颜色匹配是否成功是重要的。

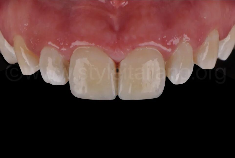
图22. 最终修复体。注意切端平面如何与下唇的曲率匹配以及在唇框内的正确融合。


内容来源于江苏牙体牙髓!

友情链接: