搜索
学习中心
登录
首页
/
口腔小技巧
/
口腔小技巧 | 口腔科常见的病例影像!
/
口腔小技巧 | 口腔科常见的病例影像!
2023-04-23 10:58:13
941浏览
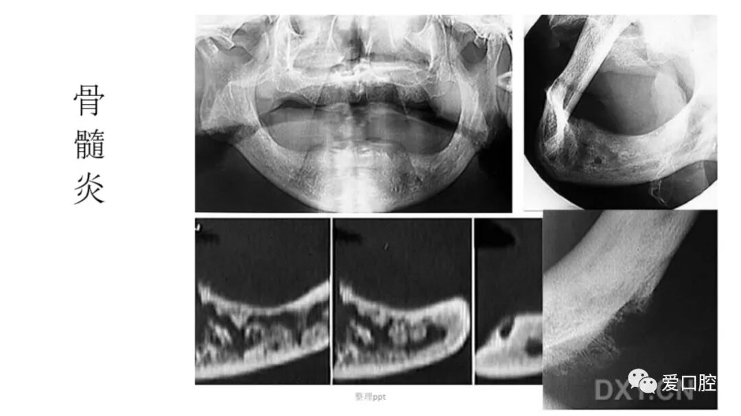
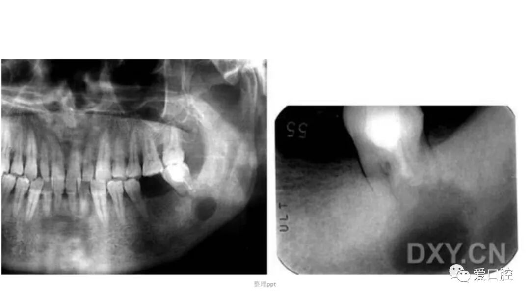
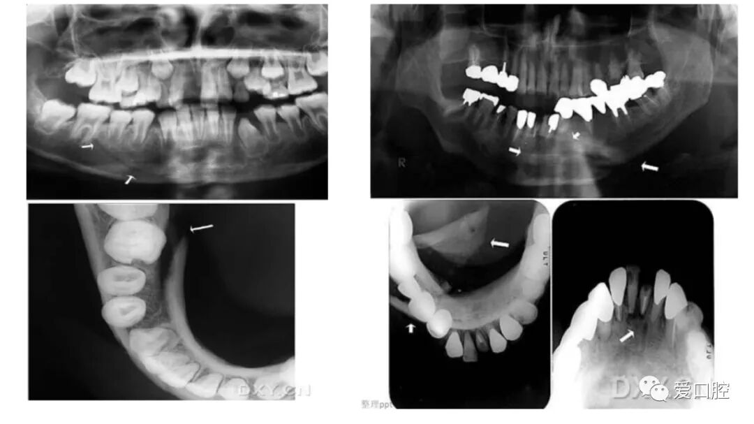
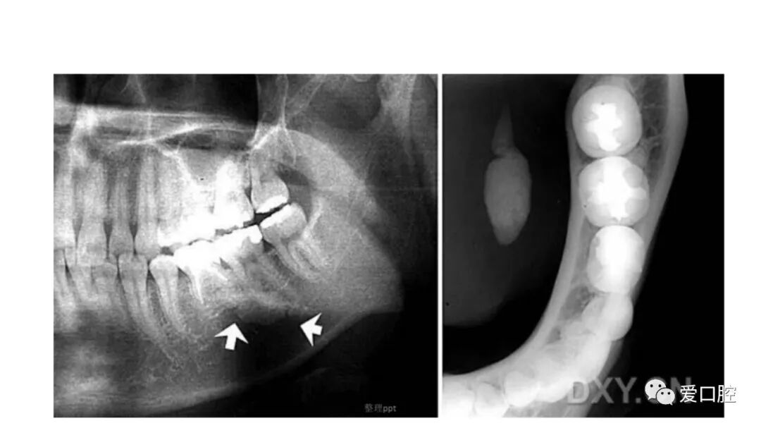
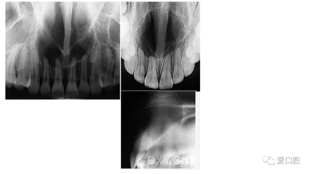
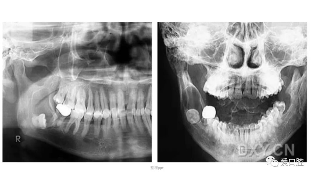
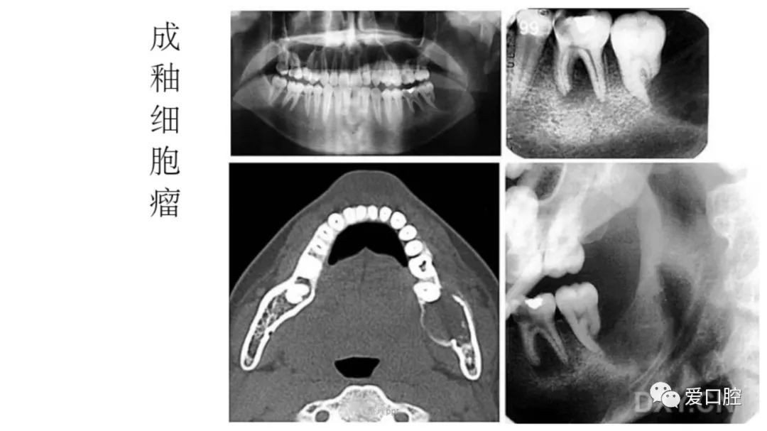
病例影像
内容来源于
爱口腔
!
友情链接: