首页/口腔小技巧/青少年骨性扩弓案例分享!/
青少年骨性扩弓案例分享!
2023-04-27 10:21:092452浏览
案例分享

作者:成都凯瑞口腔  杨清清正畸博士

患者资料

性别:女

年龄:9岁

主诉:牙齿不齐,两颗门牙飞出来,有牙缝

多生牙拔除


患者从2020年就开始在诊所做儿牙保健检查和治疗等,经过拍片检查发现一颗多生牙,藏在门牙后面。因为这颗多生牙的生长方向和位置不好,所以建议直接拔除。

临床检查


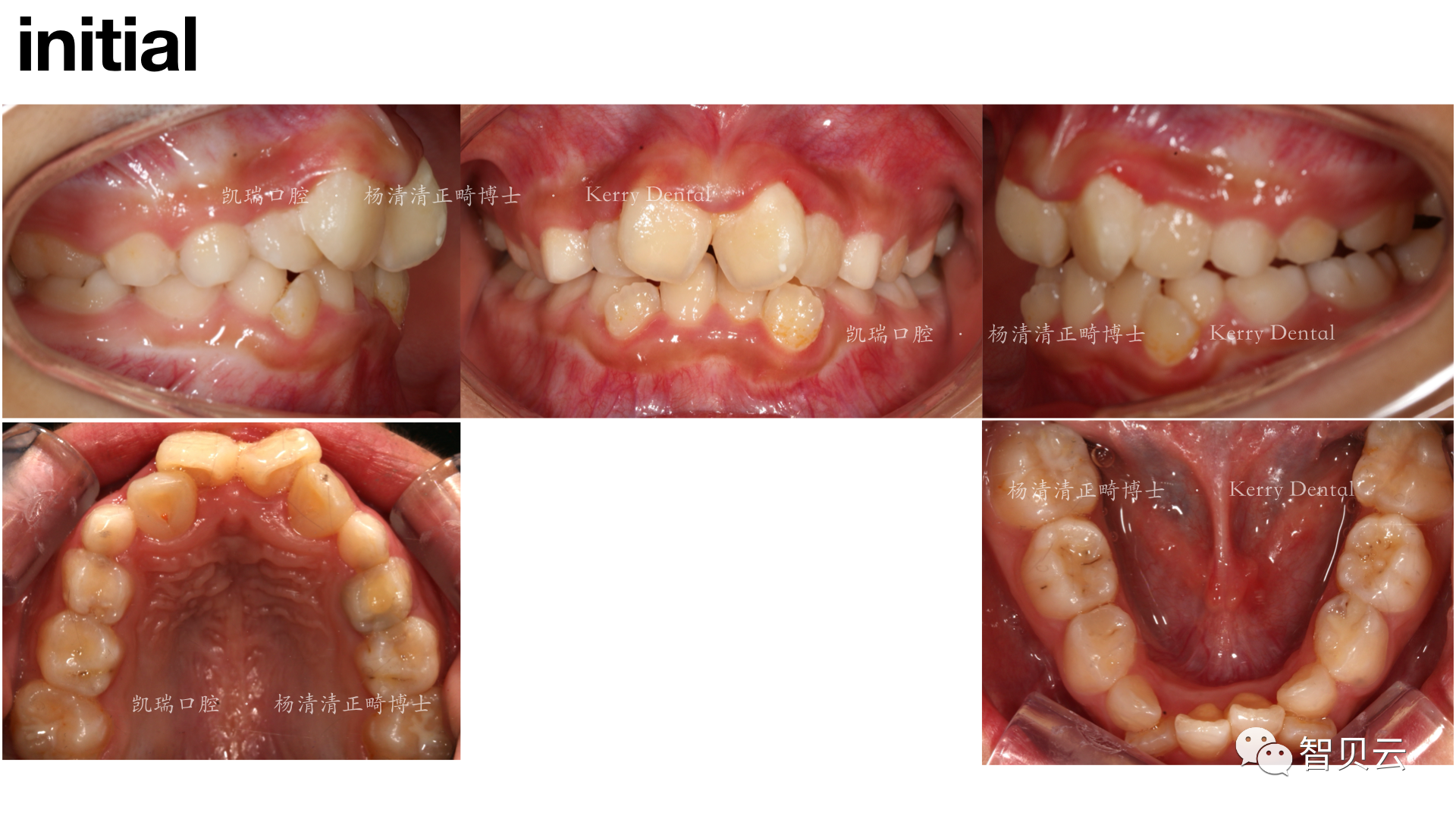
治疗前面相


治疗前口内像

从口内可以看到,患者牙齿不整齐,两颗门牙外撇,中间还有牙缝

上下牙弓都比较狭窄,所以导致两颗门牙部分被挤在牙弓外面

治疗前影像学检查

拥挤量:上颌6-8mm,下颌4mm

咬合关系:右侧咬合正常,左侧是Ⅲ类咬合

矫治方案

早期矫正

上下颌扩弓+2*4

矫治过程

2021.7

刚刚戴上扩弓器

2021.10

在扩弓器的帮助下,上颌已经能看到明显的变化,牙弓形状逐渐变圆

2021.11

进入正畸过程的第二阶段,取掉上颌的扩弓器,上颌门牙开始粘托槽,排齐牙齿

2021.12

复诊粘上下颌托槽

2022.1

上下颌基本已经排齐,双侧咬合到达预期位,矫治进入倒计时



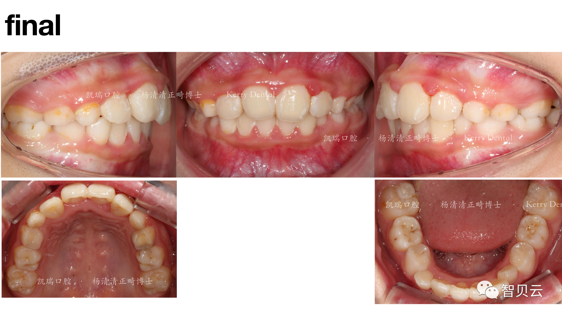
治疗后


2022.4  

经过3个月的精细调整,终于结束矫正。咬合双侧均调整至中性咬合,中线整齐,上下牙弓呈卵圆形,牙齿排列整齐,覆合覆盖正常

对比照


从全景片上看,矫正前后解除了拥挤,恒牙有了正确萌出的位置,已萌出的恒牙牙根也非常健康


内容来源于智贝云!

友情链接: