首页/骨科小技巧/急性颈长肌钙化性肌腱炎!/
急性颈长肌钙化性肌腱炎!
2023-05-17 10:38:382270浏览
急性颈长肌钙化性肌腱炎!

急性颈长肌钙化性肌腱炎是一种晶体异常沉积的无菌性炎症,主诉为急性颈后疼痛、颈部僵硬、斜颈、吞咽疼痛。

颈长肌分三部分:上斜纤维自C3-C5横突前结节至C1前结节,垂直纤维自上胸椎、下颈椎至上颈椎,下斜纤维自T1-T3至C5-C6横突前结节。

急性颈长肌钙化性肌腱炎根据病情程度,X片未见明显异常或可见椎前软组织肿胀、钙化。

MR T2相可见椎前软组织肿胀及高信号,多数病例会伴有C反应蛋白、血沉等轻度增高。避免误诊误治为感染脓肿而行抗生素治疗或切开引流。

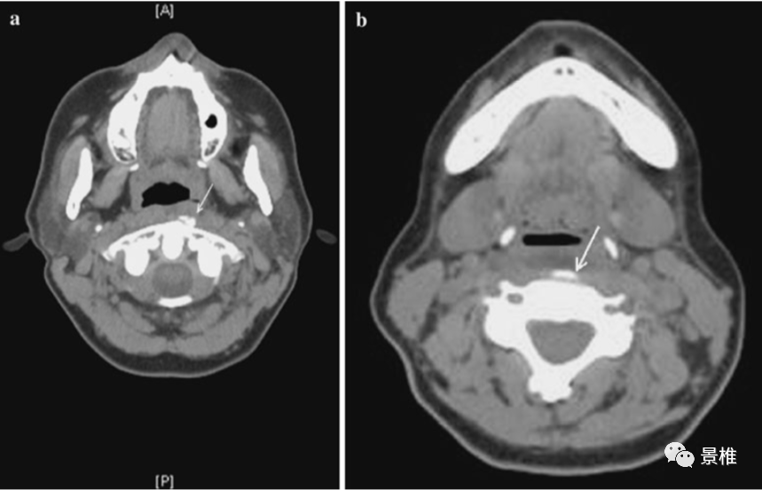
CT是诊断金标准。可看到椎前水肿和特征性的C1-3颈长肌腱羟基磷灰石晶体沉积。

急性颈长肌钙化性肌腱炎是一种自限性疾病,首选NSAIDs和颈托制动。以及西米替丁,不但能缓解NSAIDs的消化道刺激症状,还能治疗钙化性肌腱炎。

严重时联用皮质类固醇或阿片类药物。症状通常在治疗后48h内缓解,1 - 3周内痊愈。

内容来源于景椎!

友情链接: