
颈椎序列曲度
正常颈椎正常生理序列为生理性前凸,正常前凸曲度约为20°~34°

Cob角测量

生理应力线

Borden氏法
脊髓及神经


血运--颈椎椎体



颈椎前路手术
自1950年由Smith-Robinson及Cloward首次提出,时至今日,颈椎前路减压、融合已成为世界范围内应用最为广泛的手术治疗颈椎病的方法。

颈前外侧入路(Smith-Robinson)最常用的术式入路
适用范围:上至第3颈椎(C3),下至颈胸节段交界处。对于C3至C6水平节段,应避免伤及喉返神经。
我们倾向于采用颈右侧切口入路,此时颈长肌(LC)被牵引至右侧,而气管(Tr)与食管(Es)却被牵引至左侧。

颈前路手术适应症
1、有脊髓受压症状的脊髓型颈椎病,颈椎间盘脱出症,后纵韧带骨化症(孤立型)
2、神经根型颈椎病,保守治疗无效,症状严重,反复发作
3、椎动脉型颈椎病有反复晕眩、摔倒症状,经保守治疗久治无效,并经椎动脉造影,确定可经手术解释压迫者
4、颈椎失稳症、颈椎骨折脱位
5、椎体前方骨刺压迫或刺激食道已遥成吞咽困难者
6、颈椎椎体肿瘤、结核及炎症
颈前路入路
1.体位:仰卧位,颈部过伸位
2.体表标志
- 舌骨— C3
- 甲状软骨— C4、C5
- 环状软骨--- C6
- 颈动脉结节—C6
3.切口位置:皮肤皱襞,中线斜行 胸锁乳突肌后缘— 横或斜切口-愈合最佳
- 左侧 –右侧 ?
- 由于左侧喉反神经行程较固定,且位于食管气管沟中,解剖位置比较固定,选择左侧切口,可降低神经意外损伤的风险,很多外科医生右侧入路亦很少出现喉反神经麻痹症状。
4.分离层次:浅层分离--皮肤切口至筋膜鞘












深层分离:分离颈长肌、椎前筋膜、前纵韧带、骨膜,定位





病例一、
彭XX 男性 43岁
主 诉:外伤致双上肢疼痛、麻木4小时专科情况:双侧前臂桡侧肘横纹以下皮肤浅感觉略减退,痛觉过敏,温觉减退。双侧指屈肌、指伸肌、骨间肌肌力均为2级,双侧腕屈肌肌力为3级,双侧腕伸肌肌力4级,肱二头肌、肱三头肌腱反射(+++),跟膝腱反射(+++),双侧Hoffman sign (-),Babinski sign(-)。
JOA评分:9分。
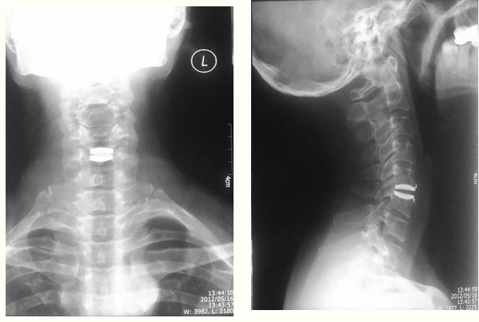
影像学检查


术中操作





术后




前路手术减压
减压范围:
切除致压物
退变椎体后缘骨赘
变性突出椎间盘
后纵韧带及其粘连物
两侧达椎弓基底
显露受压部的硬膜囊

颈前路减压 :
直接与间接减压示意图
椎体次全切除扩大减压:
切除病变的椎间盘及上下椎体的部分骨组织
切除椎管前壁的骨赘及钩椎关节内侧部自体髂骨移植+自锁钢板固定
颈椎前路减压与内固定:
植骨、必要的内固定前路内固定方法
- 钢板螺钉系统
- Cage
根据病变节段范围
通常2~3间隙减压,节段不宜过多,防止改变生物力学功能
多节段颈前路手术:
1.直接减压,减压更彻底
2.便于纠正后凸畸形
3.术后疼痛少,预防轴性疼痛

软组织损伤:吞咽困难、喉返神经损伤
颈前路多节段融合率问题
1.Wang.Jczhichu 指出
单节段椎体次全切(20例) VS 2节段ACDFs(32例)
融合率上无明显统计学差别。
2. 三节段 VS 两节段---椎体次全切
三节段融合失败率约50%(Vaccaro)-71%(Sasso)两节段 :9%(Vaccaro)-6%(Sasso)
结论指出:融合率失败率与椎体次全切节段的多少直接相关
病例2:张xx ,女性, 49岁主诉:颈肩部疼痛不适3年余,加重并行走不稳1年





手术后:



术后一年:



颈前路注意
1.准确显露,颈椎拉钩撑开,保证手术视野
2.次全切时应用漂浮原理,先切椎体两侧包围,尽量漂浮
3.置钉位置,保证颈椎稳定性3.后纵韧带的切除—保证临床效果
4.保证充分引流,次全切可行引流槽
手术技巧
1、潜行扩大颈阔肌下间隙
2、用手指钝性分离血管神经鞘与内脏鞘之间隙
3、肩胛舌骨肌不用切断
4、喉返神经无需刻意显露
5、甲状腺血管多无需切断
6、在烧灼两侧颈长肌,扩大横向减压空间
7、用刮匙旋转刮除间盘组织,避免上下提拉刮除
8、椎体后骨刺较硬,精细椎板咬骨钳咬除
9、潜行咬除椎体后缘、侧方骨质--扩大减压范围
10、植骨块前高后低呈梯形--颈椎生理曲度
11、嵌入植骨块时 应较椎体前皮质低1mm
12、切除椎体前缘骨刺--钢板贴附
13、皮内缝合--美观
