首页/口腔小技巧/让每位医生都能拍好口腔摄影的方法,值得收藏!/
让每位医生都能拍好口腔摄影的方法,值得收藏!
2023-07-21 15:02:122234浏览
让每位医生都能拍好口腔摄影的方法,值得收藏!

常听医生们说,拍摄口腔照片很难。拍摄困难大概有这样一些理由:照相机太重,需要照顾到患者的感受,单手操作镜面不太方便等等。在短时间内并尽量减少劳累和疼痛的情况下,将口腔照片拍摄结束,不论是对患者还是医生来说都是十分重要的。然而,拍摄好的照片上如果没有将需要观察的信息拍摄进去,那就毫无意义了。拍摄怎样的照片,才能做到在最短时间内将所需信息全部拍摄进去,并且能够对这些照片进行观察分析,我们必须要有一个了解。

拍摄好的照片不要置之一旁,尽可能将其放大观察。除找出口腔拍摄的要点之外,若能够找出拍摄出现的问题,并进行改善,就可以拍摄地更加完美了。

本文介绍了日常口腔拍摄过程中的注意点、基本的口腔拍摄、以及练习拍摄的方法等。希望能够帮助大家抓住口腔拍摄的技巧,轻松拍出好照片。

口腔内的医学照片是啥样的?

口腔内的医学照片是记录患者口腔内信息的重要资料,在确认初诊状态制定治疗计划、进行刷牙指导、以及观察牙根刮治和根面平整术等术后口腔内变化方面有着重要作用。

另外,在让患者理解自身口腔内的变化以及治疗效果方面也发挥着重要作用。

拍摄记录口腔内医学照片,可以在进行现场直接检查后继续进一步观察,这样也许能够检查出当时没发现的牙龈炎以及初期龋齿等症状。

注意有固定规格的口腔内医学照片的拍摄

在拍摄口内像时,要注意有固定规格的照片。有固定规格的照片是指通常拍摄的部位和张数都是一样的照片。

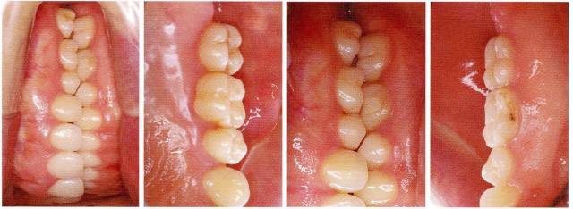
用同样的标准去拍摄,就可以看出其中的变化和个人差别(图1a)。如果拍摄的倍率、部位以及角度没有统一,就很难与之前的状态进行比较(图1b)。

图1a 易于进行比较的照片

通过定期拍摄类似于初诊时和SRP后这样的对比照片,记录下牙龈炎的恢复状况,患者就可以感觉到自己的变化了。

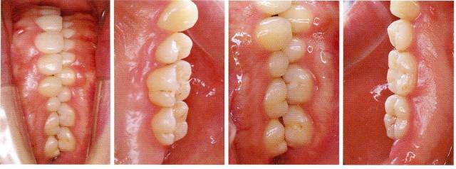
图1b 难于进行比较的照片

初诊时因为有智齿,所以拍摄的是

号牙齿,但再评价时因为拔掉了智齿,所以拍摄到的是

号牙齿。因此,就无法对4号牙齿作比较。

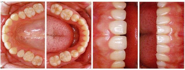
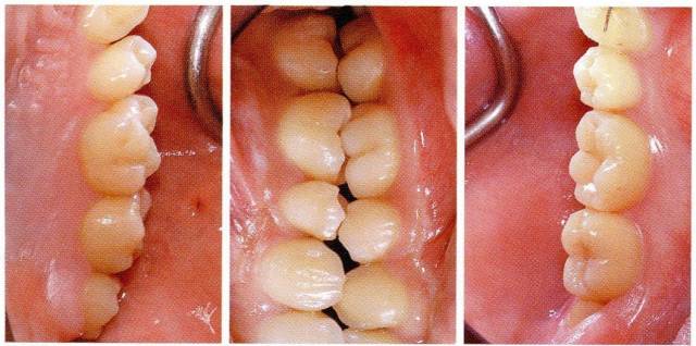
规格照片① 医疗保险等所必须的5张照片

利用好◇至少要记录必要部位及其信息。◇在医疗保险范围内,用5张照片就可以记录口腔内的信息了。◇记录牙列和牙合状态适用于对孩子进行口腔拍摄。

拍摄的要点◇基本的摄影倍率为1:2(数码相机为1:2.8~1:3)。◇牙齿正面图与上下颌咬合面正中图,以及正面观和左右颊侧面观咬合平面。

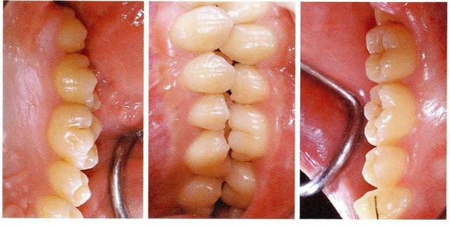
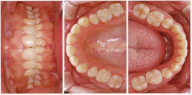
规格照片② 能够更详细观察的12张照片

活用◇用以确认5张基础照片没有涵盖到的部位◇通过正面图和咬合面图观察牙列整体,通过1/3颌的扩大照片观察牙龈和牙齿的状况。◇另外,将牙齿模型和X射线写真比照,可以更好的向患者做说明。

拍摄要点◇正面图、咬合面图的摄影倍率1:2(数码相机1:2.8~1:3)。◇1/3颌扩大照片按照1:1.2(数码相机1:1.8倍率)拍摄。◇将正中部分放在照片中央拍摄。◇1/3颌照片尽量将牙龈拍摄进去。

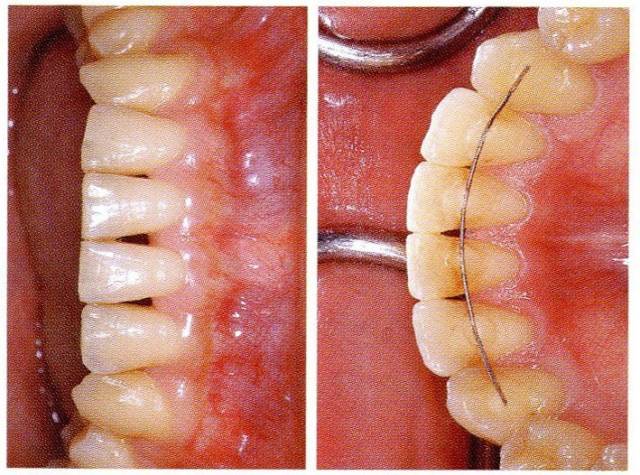
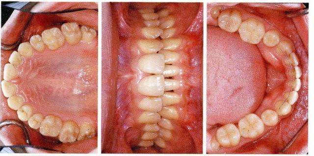
规格照片③ 认真确认前牙状态的13张照片

活用◇用以确认5张基础照片没有涵盖到的部位◇通过正面图和咬合面图观察牙列整体,通过1/3颌的扩大照片观察牙龈和牙齿的状况。◇镜面相反,所以在正面图的左侧放右侧照,右侧方左侧照,通过这样,再现了从正脸开始整个口腔内部的状态。◇将前牙分成上下颚两部分拍摄,下颚前牙部分就可以进行更详细的确认。

拍摄要点◇正面图、咬合面图的摄影倍率为1:2(数码相机1:2.8~1:3).◇1/3颌扩大照片按照1:1.2(数码相机1:1.8倍率)拍摄。◇将正中部分放在照片中央拍摄。◇1/3颌照片尽量将牙龈拍摄进去。

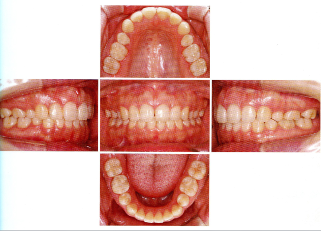
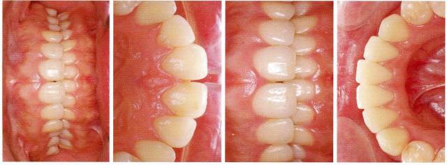
规格照片④ 网罗了所有部位的16张照片

应用场所◇通过5张基本照片观察整体牙列,通过1/3颌扩大照片观察牙齿和牙龈状况。◇将前牙部分分为上下颌拍摄,可以更详细的确认下颌前牙部分。◇将牙齿模型和X射线照片比照说明,可以更好的让患者理解。

拍摄要点◇正面观和咬合面观的拍摄倍率为1:2(数码相机1:2.8~1:3)。◇1/3颌扩大照片的拍摄倍率为1:1.2(数码相机1:1.8)。◇将拍摄的重心拍摄在照片中央。◇1/3颌的拍摄尽量将牙龈也拍摄进去。

友情链接: