首页/口腔小技巧/左上第二前磨牙血运重建术!/
左上第二前磨牙血运重建术!
2023-07-26 14:23:531627浏览
左上第二前磨牙血运重建术!

病例分享

血运重建是一种自体支架植入技术,支架源于根尖周组织的血凝块。这一技术让牙本质在治疗后可继续生成,从而增加根管壁厚度和牙根长度,以降低远期根折风险,通过分享该病例,说明血运重建术对于年轻恒牙牙根发育的长远意义。

01

病史介绍

一般情况:患者男,15岁。

主诉:左上后牙咬合痛3天。

现病史:患者左上后牙3天前出现咬合痛不适,有浮起感和伸长感。

既往史:既往体健,否认系统性疾病史和药物过敏史

专科检查:全口口腔卫生状况可,少量软垢,25牙合面可见畸形中央尖部分磨损痕迹,松动(I°),叩痛(+),无瘘管,冷诊(- ),根尖区压痛明显。

25牙可见畸形中央尖

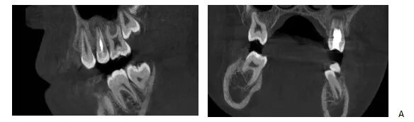
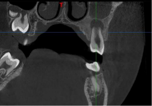
辅助检查:CBCT显示25牙根尖呈喇叭口样敞开,未发育完全,根尖低密度暗影。

CBCT矢状面显示25牙根尖未发育完成,根尖阴影

CBCT冠状面显示25牙根尖未发育完成,根尖阴影

02

临床诊断

25牙慢性根尖炎急性发作,畸形中央尖。

03

治疗方案

1.用vitapex行根尖诱导术,每隔3个月复查。2.行根尖屏障术,考虑根尖未发育完成,根管短且壁薄,牙根强度低,易出现根折。3.行牙髓血运重建术,每隔3-6个月复查,若根尖炎症消除,可期待继续发育,若失败可再选择根尖屏障术。告知每种方法的疗程及费用,患者家属知晓后要求行牙髓血运重建术,并签字同意。

04

治疗过程

1. 25牙橡皮障隔湿下开髓,CBCT确定根管长度,机械预备结合大量1%次氯酸钠超声荡洗,0.9%生理盐水终末冲洗,吸潮纸尖干燥根管,封氢氧化钙糊剂,玻璃离子暂封,嘱2周后复诊。

2. 两周后复诊:橡皮障隔湿,去除暂封,1%次氯酸钠荡洗后干燥根管,显微镜下探及根尖肉芽组织后用40#K锉根尖引血,约20分钟后血凝块形成。

在血凝块表面覆盖MTA至釉牙骨质界下约2-3mm,自粘接流体衬洞,37%磷酸选择性酸蚀,粘接,纳米树脂充填窝洞,调合,抛光。

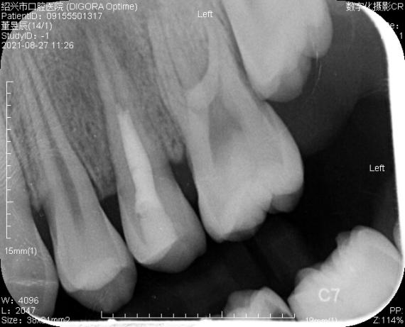
术后根尖片显示MTA及充填物密合,嘱2个月后复诊,勿咬硬物。 

05

治疗效果

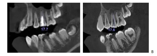
 2个月后复查CBCT见充填物完好,根尖低密度暗影较前明显缩小

4个月后复查CBCT见充填物完好,根尖低密度暗影基本消失,根管长度较4个月前未见明显改变。

06

讨论

再生的软组织是否是牙髓组织?

再生的硬组织是否是牙本质?

在利用血凝块作为支架过程中,根管持续发育仍然不可预测。此外,大多数人类组织学研究似乎表明,通过这种方法产生的组织更有可能是牙髓样软组织和牙骨质样或骨样硬组织。从严格的组织学术语来说,这些组织只是通过纤维化和纤维化组织的矿化进行组织修复的表现,并不代表牙髓-牙本质复合体的真正再生。多种类型的生物材料已被广泛研究并应用于牙髓再生手术中支架的构建。然而,一个具有所有有利性能的候选支架仍有待确定。此外,目前还没有一种传统的方法可以用来构建完全模拟牙髓-牙本质复合体三维结构的生物材料支架。随着3D生物打印技术和纳米技术的快速发展,各种生物材料的精确制造,促进了牙髓再生从实验室到椅旁的进程。

友情链接: