首页/口腔小技巧/洗牙存在的误区,你中标了吗?/
洗牙存在的误区,你中标了吗?
2023-08-03 17:14:301094浏览
洗牙存在的误区,你中标了吗?

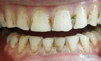
我们每天都要吃喝,而在大快朵颐后,很多人却不那么注重口腔卫生,吃得乱七八糟又不刷牙漱口,长期下来堆积很多黄色的、棕色的甚至黑色的脏东西。牙齿的常态就是下面这样的:

有些人认真刷牙,看的见的地方是干净的

但牙齿里面的情况却是糟糕至极的

现实情况是,现代的绝大部分人并没有掌握正确的刷牙方法,只是根据自己的习惯进行牙齿的清洁,难免有些部位刷不到位,尤以牙缝处和下前牙里面为甚,久而久之就成为牙结石,当刷牙已经解决不了牙齿问题的时候,我们就需要去“洗牙”了。

为什么要洗牙?

洗牙,也叫做结石刮除,是借由各种器械(如超音波洁牙机,手动刮牙器等)来去除这些附着于齿颈与牙龈沟之间的牙结石及牙菌斑。通过洗牙可以减轻牙龈炎、牙周炎的炎症状况,高程度改善牙齿的整体情况。

但很多人并没有固定洗牙的习惯,甚至是拒绝洗牙的,主要原因就是他们对洗牙存在以下几个误区,那么这几个误区具体指什么呢?

洗牙会让牙齿变得脆弱敏感

洗牙仅是牙齿敏感的诱因,真正的根源还是牙周病。牙石虽然脏,虽然有害,但它毕竟是为了牙根隔绝了外界的刺激。所以,当牙石已经默默地生长了五年、十年以后,一旦牙石被突然洗掉,牙龈又已经萎缩了,脆弱的牙根再次直接暴露在口腔里,尖锐短暂的剧烈疼痛就开始了。

而如果因为害怕敏感而不敢、不愿洗牙,那么将会导致牙周病愈演愈烈,最终导致牙齿松动脱落。

正确的做法应该是定期洗牙,同时积极治疗牙周疾病。

洗牙会让牙缝变大变松

如果洗牙后牙齿松动,只能说明洗牙洗晚了。牙根周围的骨头在长期的牙石压迫和牙龈炎症作用下萎缩到只剩下一半左右,根据杠杆原理。牙齿在受同样外力的情况下就会比之前容易松动了。由于牙结石的累积会将牙龈慢慢下压,导致牙龈萎缩,再加上大量牙石填满牙缝周围,因此清除后牙缝看起来好像变大了。

这时有人会说了:“按你这么说,我这骨头萎缩也不是一天两天了,为什么之前没事,一洗完牙就松了?”但就像之前讲到的牙齿敏感提到的,牙石有的时候也能发挥一定的“保护”作用。

正确的做法是养成定期洗牙的习惯,不然萎缩的牙龈是很难再长回来的。

洗牙会疼得神经发麻

即使是健康的牙齿,洗牙时也会略有不适,但完全可以忍受,不会疼到神经发麻。洗牙的疼痛程度取决于牙周袋的深度和牙根是否平整。若牙周袋不是很深,在刮治过程中可能不会感到疼痛,只是做常规洗牙,偶尔会有一点不适感。若牙周袋较深的患者,则需要进行深度清洁(深刮),牙医可能会在局部打麻药,让治疗的过程比较舒适。

牙石最易生长的地方就是那些不易清洁的位置,比如牙齿和牙龈的交界处,而这个交界处还是牙齿本身洁白坚硬的牙釉质和稚嫩敏感的牙龈。即使是没有牙周病的情况下,用金属器械触碰这个位置,也会引起一定的不适,但这种不适,是短暂且在人们疼痛接受范围内的。

如果完全不管不顾牙齿,等到引发更严重的牙齿疾病的时候,才会带来更多难以接受的牙齿疼痛。

那么认清误区之后我们还要了解洗牙能给我们的牙齿解决些什么问题,即洗牙的目的是什么。简单来说为以下三点:

去除牙菌斑、牙结石;◆消除炎症,恢复软组织形态,维持牙槽骨高度;◆及时发现口腔中的其他隐患、问题。

及时发现问题及时解决,这样我们的牙齿才能保持一个健康有活力的状态。洗牙不可怕,可怕的是我们放弃牙齿管理。最后,希望每个人都能有“洗牙”意识,都能拥有一口3D炫彩牙!

友情链接: