首页/骨科精读/看到这种异常,千万别报骨折!/
看到这种异常,千万别报骨折!
2023-08-24 15:04:281375浏览
看到这种异常,千万别报骨折!

病史:男孩,8岁,外伤来诊,发现左侧坐骨异常;

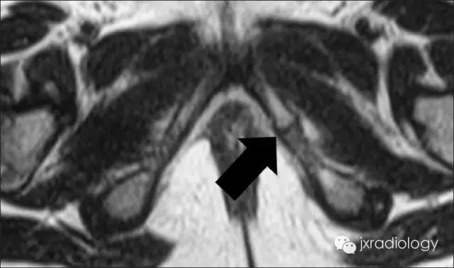
左侧坐骨锯齿状改变,骨折?


讲解

坐骨耻骨骨软骨病(Van Neck),即坐骨耻骨结合处骨软骨病,是一种相对少见的骨骺疾病。1924 年由 Van neck 报道 2 例,并做了病理检查,表现为骨小梁不规则,软骨细胞层散在,无炎症的特点;随后 Oliveira F 等亦做了病理检查发现骨骺可见异常骨化。符合骨软骨病表现,并命名为坐骨耻骨结合处骨软骨病。因此将病命名为 Van Neck 病。临床主要以患侧髋部或会阴部疼痛,可伴有髋关节活动受限,X线骨盆正位片有坐骨耻骨结合处局限性骨皮质膨隆,中央区可见透光影的特点。


临床表现

该病主要见于青少年,主要以患侧髋部或会阴部疼痛,少数患者可有髋关节活动受限,体格检查:在坐骨耻骨结合部可扪及局部隆起 ,局部压痛,一般为单侧发病,双侧发病较少,检查髋关节过伸过屈时出现局部疼痛,4字试验阳性。

影像学表现

X线:骨盆正位片为常规检査。在患侧坐骨耻骨结合处可见到骨皮质膨隆,有时出现层状改变,膨隆部位密度浓淡不均,中央可见类圆形透光区,偶有骨皮质破裂影像,膨隆周围可见硬化改变。

CT:CT具有高密度分辨力和横断面成像特点并可三维重建,可见坐骨耻骨结合处局限性膨大,有破碎,其内有低密度透光区,边缘不规则,骨质断裂不连接,骨髓腔有硬化变现。无明显的死骨和骨膜反应,邻近的软组织正常。

MRI:MRI对软组织及其病变范围能很好的显示。

信号改变(T2W多为高信号,T1WI多为低信号,脂肪抑制序列多为高信号)以及骨质与周围软组织的对比度增强三大征象,可能是局部机械应力的结果,但缺乏特异性,并进一步提出坐骨耻骨之间的“纤维连接”可能是坐骨耻骨软骨炎的MRI特有征象。

坐骨耻骨骨软骨病(Van Neck)病因有争议,一些学者认为本病与外力有关,还有人认为此改变为坐骨耻骨结合处融合前骨发育的正常变异,应视为正常现象。

到底是一种疾病,还是人体生长发育中的正常现象,目前仍有分歧;在诊断 Van Neck病之前应重点排除肿瘤、炎症等严重威胁生命健康的疾病,尽量避免误诊;本病以保守治疗为主,但对诊断有疑虑,临床症状持续不缓解,家长有迫切需求者,可以外科干预。

诊断经验

本病由于发病部位较特殊,转归较好,可自愈且无任何后遗改变,如认识不足极易漏诊和误诊。临床上有髋关节或大腿根部疼痛,有剧烈运动史的患儿,在就诊时应考虑本病存在的可能。影像学检查发现坐骨耻骨结合处骨质隆起,密度不均匀,有低密度透光区典型表现,MRI上周围组织有水肿表现,不论有无临床表现均可诊断本病。

友情链接: