首页/骨科精读/深度剖析:下胫腓联合损伤的 3 种手术固定方式!/
深度剖析:下胫腓联合损伤的 3 种手术固定方式!
2023-09-06 14:56:371946浏览
深度剖析:下胫腓联合损伤的 3 种手术固定方式!

踝关节骨折是临床常见的创伤类型,而约 20% 的踝关节骨折伴有下胫腓联合损伤。非手术治疗下胫腓联合损伤的方法主要是使用石膏、支具等将踝关节外固定于中立位,但是这样易发生踝关节不稳定、慢性疼痛及踝关节功能丧失等并发症。

因此,手术固定是临床上下胫腓联合损伤最有效的治疗方法。今天,我们来剖析下胫腓联合损伤的 3 种手术固定方式

螺钉固定

最传统、最常用的固定方式为用 1 枚或多枚螺钉对下胫腓联合进行固定。关于下胫腓联合螺钉的数量、直径、位置、固定三或四层皮质、是否取出等有很多文献,但是结果均不确定,无法判断哪种选择更好。

但是,无论哪种选择,都可以使下胫腓联合得到有效固定。一般在 8~12 周后下胫腓联合韧带即可愈合,此时螺钉的存在已无必要。但学界对于是否需要取除这些已无存在必要的螺钉一直存在争议。

支持取除的学者认为,下胫腓联合是微动关节,在行走过程中关节间隙将会变宽,下胫腓联合螺钉的存在会限制这种变化,从而影响踝关节的活动。这些学者主张应在术后 10~12 周时将螺钉取除,从而使踝关节可以自由活动并避免螺钉断裂。

然而,有研究表明即使保留下胫腓联合螺钉对患者的功能预后也无明显影响,取除螺钉还会增加并发症的风险和患者的经济负担。因此,也有学者认为无需常规取除该螺钉

图 1  下胫腓联合螺钉示意图

由左向右分别为完整、松动、断裂、取除后的下胫腓联合螺钉(图片来自文献 [1])

那么,究竟有无必要取除下胫腓联合螺钉以使患者获得理想的功能恢复呢?最近荷兰阿姆斯特丹医学科研中心创伤外科的 Dingemans 等 [2] 在 Bone Joint Journal 上发表了一篇系统综述,他们得出结论:不应常规取除下胫腓联合螺钉。

Dingemans 通过 Medline、Embase 和 Cochrane Library 等权威数据库检索所有关于下胫腓联合螺钉的文献,最终取除和保留下胫腓联合螺钉的 11 篇文献纳入研究。

虽然入选的 11 项研究都存在一些方法上的缺陷,但是所得的研究结论却比较一致。2 项随机对照试验研究均发现,移除与保留下胫腓联合螺钉的患者功能预后无明显区别。9 项病例对照研究中的 8 项证明保留下胫腓联合螺钉可获得相同或者更好的功能预后。因此,Dingemans 等认为在缺少高质量证据的情况下,不应常规取除下胫腓联合螺钉

看到这,是不是有站友觉得不甘心:不取螺钉真的没事吗?如果出现问题怎么办?

随着材料学的发展,可吸收螺钉在临床上的应用也越来越广泛。可吸收螺钉可对下胫腓联合进行有效固定,在达到与金属螺钉相同固定效果的同时,避免二次手术取出。

Schepers 等 [3] 和 Sun 等 [4] 的研究发现使用可吸收螺钉金属螺钉的患者的并发症发生率无显著差异,其功能预后也无明显区别。但是,孙辉等 [5] 研究发现,可吸收螺钉也存在多种并发症的可能,如无菌性炎症、排异反应及异位骨化等。

弹性固定

除了使用金属螺钉和可吸收螺钉牢固固定,还可使用弹性固定下胫腓联合,包括使用缝线进行纽扣缝合、使用缝合锚或带袢纽扣钢板进行弹性固定等,临床最常用的固定方式为带袢纽扣钢板固定。

弹性固定可在固定下胫腓联合的同时,保持了其微动功能,以利于踝关节功能恢复,避免拉力螺钉松动、断裂及二次手术。

Kortekangas 等 [6] 和 Laflamme 等 [7] 的研究发现,使用带袢纽扣钢板固定下胫腓联合的患者二次手术率显著低于使用下胫腓联合螺钉的患者,且功能预后无明显差异,可以成为一个替代选择。

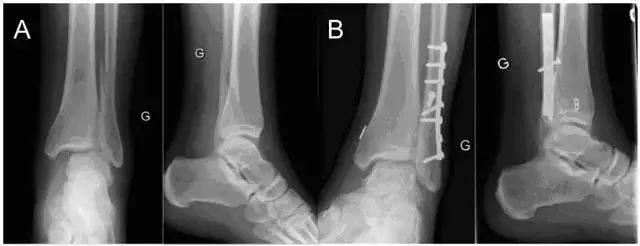
图 2  使用带袢纽扣钢板固定下胫腓联合损伤示意图

A 一例典型的 Weber C 型骨折;B 开放复位并使用带袢纽扣钢板固定术后踝关节正侧位片(图片来自文献 [7])

韧带重建

除了螺钉固定和弹性固定,韧带重建也是一种修复下胫腓联合损伤的方法。在下胫腓联合中,下胫腓后韧带提供 40% 的稳定性,下胫腓前韧带提供 35% 的稳定性,骨间韧带提供 22% 的稳定性

采用人工韧带重建下胫腓前、后韧带,可以恢复下胫腓韧带 75% 的稳定性,同时保留了其微动功能,并且更符合下胫腓联合体的生物力学特性。郭雅娣等 [8] 分别使用人工韧带重建和拉力螺钉固定的方法治疗 32 例下胫腓联合损伤的患者。人工韧带重建组分别重建下胫腓后韧带和下胫腓前韧带,并用螺钉将韧带两端分别固定于胫骨和腓骨上。

结果表明,人工韧带重建组术后 10 月美国足踝外科协会(AOFAS)评分显著高于拉力螺钉固定组,术后完全负重时间早于拉力螺钉固定组。因此,人工韧带重建下胫腓联合体的前、后韧带更符合下胫腓联合体的生物力学功能,符合下胫腓联合体微动的生理特性,可能是治疗下胫腓联合损伤的一个较好方法。

知识回顾

下胫腓联合由胫骨下端的腓切迹与腓骨下端的内侧面组成,是一个微动的弹性关节,生理状态时可随踝关节的运动而出现相应运动,运动模式是旋转和平移的符合运动。下胫腓联合还有传递并调节腓骨负重的作用,10%~17% 的体重可通过下胫腓联合传至腓骨,并通过腓骨与胫骨的相对运动和位置关系调节腓骨的负荷比例,维持踝关节的力学稳定。

下胫腓联合内部没有关节软骨,两者靠下胫腓韧带连接。下胫腓韧带非常有力,是维持下胫腓联合乃至踝关节稳定的重要韧带,由下胫腓前韧带、后韧带、骨间韧带及横韧带四部分组成,其结构与功能如下(图 3):

图 3  下胫腓联合远端韧带结结构

包括骨间韧带(IOL),下胫腓前韧带(AITFL),下胫腓后韧带(PITFL),下横韧带(ITL);

①下胫腓前韧带:起于胫骨下端的边缘,向下外附着于外踝的前面及附近的粗糙鼓面上,止于胫骨及腓骨的前结节;②骨间韧带:为骨间膜的延长部,由胫骨向腓骨斜行,方向为内上向外下,其作用是使胫腓骨下端紧紧连在一起,以加强腓骨的稳定性,防止距骨脱位;③下胫腓后韧带:起于胫骨脊后侧,止于外踝后缘,与内、外踝的关节面合成一腔,以容纳距骨,成为与距骨相接触最深部的韧带;④下胫腓横韧带:是横行于胫骨后面的下缘与外踝内侧面的胫腓骨滑膜延长部,其作用主要是防止胫腓骨在距骨面上的向前脱位。也有学者认为横韧带不是一条独立的韧带,只是下胫腓后韧带的一部分。

参考文献[1] J Orthop Trauma,2010,24(1):2-6.[2] Bone Joint J,2016,98-B(11):1497-1504.[3] Injury,2014,45(4):775-779.[4] Bone Joint J,2014,96-B(4):548-554.[5] 孙辉,罗从风,施慧鹏,等. 两种材料螺钉固定下胫腓联合损伤的前瞻性随机对照研究 [Z]. 中国重庆:20092.[6] Injury,2015,46(6):1119-1126.[7] J Orthopaedic Trauma,2015,29(5):216-223.[8] 中华创伤杂志,2015,31(4):336-337.

友情链接: