首页/关节/全髋关节置换能用多久/
全髋关节置换能用多久
2023-12-25 11:35:351159浏览
全髋关节置换能用多久?

需要行全髋关节置换术的患者,最关心的问题常是“假体使用寿命”。今天这篇来自韩国学者的论文可以你给参考。2023年5月,来自韩国的Park JW等学者对30岁以下患者行第四代陶瓷对陶瓷全髋关节置换术的患者进行了10 ~ 13年的随访,并将随访结果发表在美国《J Bone Joint Surg》杂志(中科院1区,IF=5.3)。下面简单汇报一下他们的结果。



目的


本研究的目的是评估年龄小于30岁的患者使用第四代陶瓷摩擦界面(即Delta ceramic-on-ceramic, CoC)行生物型全髋关节置换术(THA),术后10年以上的临床和影像学结果、并发症和假体生存率。


方法


 

2008年3月至2012年1月期间,76例(91髋)年龄小于30岁的患者行生物型THA,采用Delta CoC摩擦界面。其中 71 例(85髋)患者(男44例;女27 例)获得10 至 13 年的随访,纳入最终分析。患者手术时的平均年龄为 25.9 岁(16 至 29 岁)。

结果


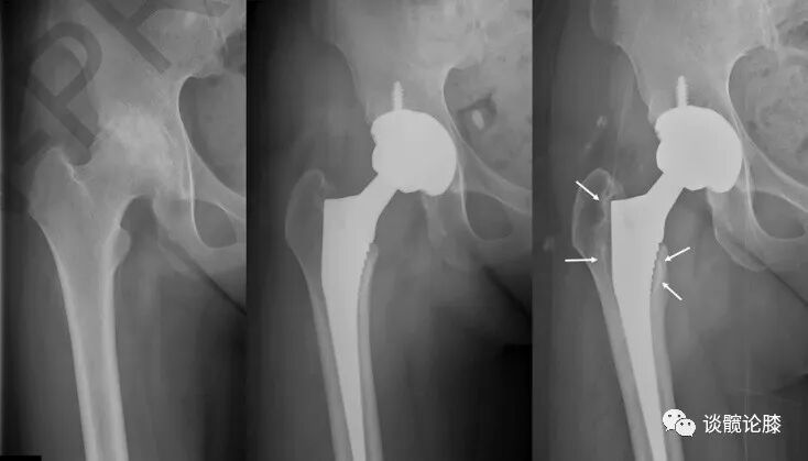
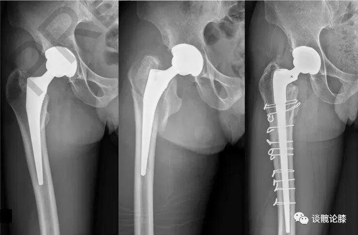
随访期间无陶瓷碎裂,5(5/85,5.9%)髋出现异响(吱吱声),3髋出现假体周围骨溶解(2髋位于股骨柄周围,Gruen分区 1和 7区,图1;1髋位于髋臼周围,DeLee -Charnley分区 2区,图2)。1例因Vancouver B2型股骨假体周围骨折而翻修(图3);1例合并系统性红斑狼疮的患者因假体周围关节感染而接受了清创术。任何原因导致再次手术的存活率为92.4%(95%置信区间为82.4%至100%)。

图1.骨溶解位于Gruen分区 1和 7区

图2.骨溶解位于DeLee -Charnley分区 2区

图3.Vancouver B2型股骨假体周围骨折


结论

年龄小于30岁的患者行生物型THA,采用第四代陶瓷摩擦界面,可获得满意的长期临床疗效和假体生存率。

编者按

如果排除假体周围骨折和感染,患者采用第四代陶瓷摩擦界面的生物型THA,有可能获得终身使用。

友情链接: