首页/脊柱/布鲁氏菌病的影像学表现,一文讲透!/
布鲁氏菌病的影像学表现,一文讲透!
2023-12-25 13:40:565923浏览
布鲁氏菌病的影像学表现,一文讲透!

布鲁氏菌侵袭脊柱在布鲁氏菌病中的发生率在2%~53 %,另有24%的布鲁氏菌病病人,存在无症状性脊柱炎。腰椎为主要好发部位,其次为胸腰段。之前发布过一,“布” 能不知道的怪病——布鲁氏菌病!,今天我们来学习下布鲁氏菌病的影像学表现!

布鲁氏菌病性脊柱炎的CT表现


病变椎体表现为单发或多发的小圆形不规则破坏区,边界不清,以椎体上下缘软骨终板下相对应部位多见,破坏明显时椎体皮质轮廓不完整,病程短的破坏区周围骨质增生不明显。


病程长、慢性患者,表现椎体边缘性破坏,椎体边缘骨膜增生、肥厚、钙化,形成“唇样”骨赘,在增生骨中的出现的新的破坏区构成“花边椎’特征。病变椎体呈高密度改变,累及多个椎体者常见。


少数见于椎体中心,硬化椎体内呈类圆形低密度骨破坏区。椎间小关节亦见类似改变,相邻椎体密度普遍增高,骨质增生硬化但无死骨形成,部分病变椎旁韧带钙化,破坏区内无死骨片,椎弓根无破坏。椎间盘破坏呈等密度改变,软骨板下骨硬化,椎间隙狭窄。椎旁脓肿少见,偶有脓肿形成,周围脂肪间隙清楚,脓肿内无钙化、无流注脓肿。韧带改变主要是前纵韧带、棘间韧带钙化。 


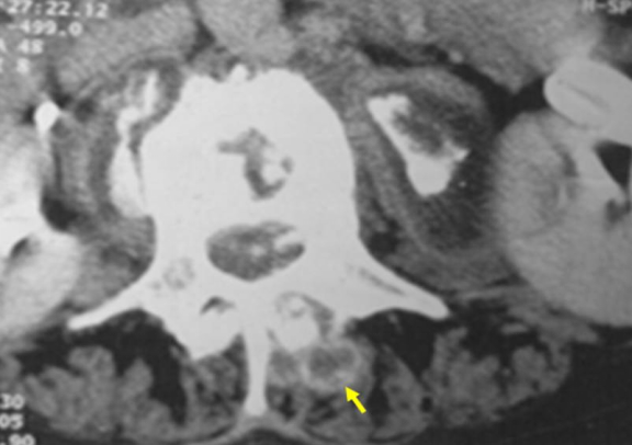
布鲁氏菌病性脊柱炎 CT扫描显示腰椎骨质增生与骨质破坏相间,椎间隙狭窄。椎体边缘骨膜增生、肥大和骨化,形成唇状或台阶样(bank-like)骨赘。新形成的骨赘内又发生新的骨破坏,构成特征性的花边状椎体。相邻椎体的骨赘相互连接、椎体侧---侧融合。图a可见发生于横突的骨膜炎,横突顶部呈帽状增厚(cap-like thickening)。


L4布鲁氏菌性脊柱炎。CT表现新形成骨赘中又有新的骨破坏灶,形成独特的表现形式,称“花边椎”。

左图 L4布鲁氏杆菌性脊柱炎。CT表现椎体周围明显增生形成硬化带,其内有多个新的骨破坏灶。右图 L4型布鲁氏杆菌性脊柱炎。CT表现右侧小关节增生骨质中出现新的骨破坏病灶,左侧小关节增生、硬化。


布鲁氏杆菌性脊柱炎 CT软组织窗,椎体前缘骨破坏,椎旁软组织肿块。

布鲁氏菌性脊柱炎CT重建a 软组织窗;b骨窗 

椎间隙狭窄、终板侵蚀性破坏,硬膜外肿块。注意在椎间盘前方有少量气体积聚(真空征)。 

非典型布鲁氏菌脊柱炎CT表现

椎体前缘、终板侵蚀性破坏,椎旁软组织增大,所谓布鲁氏假彼特氏病(Pott’s disease 结核性脊椎炎)。

男性,47岁,主诉腰痛、下肢肌肉痛、关节痛1年。布鲁氏菌血清学凝集试验显示阳性。腰椎CT平扫 图a、b显示椎体骨质增生,椎体周围低密度不均一影,边界不清。椎体与双侧腰肌大肌边界不清。腰大肌轻度向外移位。

布鲁氏菌病脊柱炎 

患者男性,24岁,主诉腰痛6个月,加重并伴有右下肢麻木疼痛1个月。从事牧羊和羔羊运送工作。布鲁氏菌血清学凝集试验呈阳性。图a、b腰椎CT骨窗平扫 显示椎体多处骨质破坏,椎体边缘有增生和硬化。椎间盘内可见低密度病变;图c、d CT软组织窗显示病变椎体周围低密度影像,为椎旁脓肿形成

布鲁氏菌脊柱炎 CT显示椎间盘、椎体和小关节受累伴椎旁钙化(黄箭头)和硬膜外脓肿。

CT在布鲁氏菌病脊柱炎诊断中的优势与缺陷

1、CT较X线分辨率高,可以发现小的骨侵蚀病灶;

2、CT影像切面无组织结构重叠,能够显示病变范围、病变内部细微变化及软组织异常;

3、CT的三维重建,可清晰观察到骨质增生、破坏、椎间盘破坏,椎间隙变窄、椎旁脓肿;

4、多平面重建(MPR)可清晰地观察椎小关节形态及密度改变,发现韧带钙化均有较高价值。

5、CT引导下从椎间盘---椎体区穿刺活检,虽然没有特异性,但组织病理学检查有助于布鲁氏杆菌病的诊断。

6、CT造影剂注射后,可见椎旁脓肿、腰肌受累、硬膜外脓肿、脊髓移位。但终不如MRI显示清晰。

布鲁氏菌病性脊柱炎的MRI表现

1、MRI检查对布鲁氏菌性脊柱炎椎体破坏敏感,尤其是MRI T2 / STIR序列,检出率更高。

2、急性期布鲁氏杆菌病,椎间盘及相邻椎体T1呈低信号、T2呈高信号、TIR序列呈高信号,水肿呈稍高信号。

3、慢性布鲁氏杆菌病T1椎体信号不均匀,病变周围硬化带形成,在病灶周围呈低信号。

4、椎间盘破坏可见椎间隙变窄,受累椎间盘呈长T1(低信号),长T2(高信号)或混杂长T2改变。

5、慢性布鲁氏菌病性脊柱炎椎旁脓肿,多位于椎旁韧带下,呈椭圆形或长梭形,脓肿局限、量小,MRI表现为局限性的椎旁不均匀的软组织信号,多数较局限,脓肿壁较薄,少数可侵犯周围腰大肌。

破坏的椎间盘、炎性肉芽组织突入椎管、硬膜外脓肿形成、后纵韧带钙化,导致相6、应平面脊髓受压。MRI T1呈低信号或中等信号,T2呈高低混杂囊性异常信号,STIR序列呈高信号。

7、MRI检查对韧带钙化不敏感,但可见受累韧带局限性增厚,Tl 及T2均为等信号。

8、对于椎小关节的炎性改变,MRI冠状位显示较好,表现为关节面的不规则破坏,关节间隙内可见少许线条样长T1、长T2积液征象。

9、MRI增强扫描:受累椎体、椎间盘呈不均匀轻度强化。脓肿壁厚且呈不规则强化,脓肿内不强化。

腰椎布鲁氏菌性脊柱炎早期MRI表现

A  T1 L4呈低信号;B  T2  L4呈高信号。椎体前方有轻度、边界不清的骨破坏,无硬膜外脓肿。

腰椎布鲁氏杆菌脊柱炎MRI  T1影像增强显示L4/L5椎体、前纵韧带、后纵韧带和黄韧带信号增强。

布鲁氏菌性脊柱炎MRI a T1;b T2;c T1增强;d T2轴位增强 MRI 显示S1上终板、椎体周围骨水肿、硬膜外脓肿。,可见椎间盘周围增强。

男性,51岁,主诉间歇性腰痛2个多月。

图a MRI T2 、图b MRI T1、图c MRI T1增强图像 显示 L4 、L5椎体轻微变形,呈长T1长T2信号。影像增强显示整个椎体均匀强化,椎间盘不均匀强化。

布鲁氏菌性脊柱炎伴腰大肌脓肿

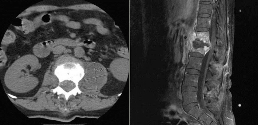
左图 腰椎CT显示L1/L2终板破坏,伴严重椎管狭窄,左侧L1到L3腰大肌脓肿(3.50×4.37 cm)。

右图 腰椎MRI显示病变侵入椎管伴狭窄,T12可见呈高信号的椎体感染病灶。

 布鲁氏杆菌性脊椎炎并波及相邻椎间隙

MRI图a T1影像增强(postcontrast)轴位;图b 冠状位脂肪抑制像。增强后受累椎体、椎旁呈高信号。


MRI在布鲁氏菌病性脊柱炎诊断中的优势与缺陷

1、MRI具有较高的软组织和空间分辨力,可辨认正常组织与被布鲁氏菌感染的组织。对早期发现疾病和发现硬膜外和椎旁病变具有很高的敏感性。

2、MRI的多序列成像,尤其是压脂序列的应用,对组织内水、蛋白质含量改变非常敏感,可以显示病灶的多种变化特点。

3、相对于X线平片及CT , MRI可以更早的明确病变情况,为诊断及治疗提供依据。

4、MRI可用于监测药物治疗布鲁氏脊柱炎的反应。

5、由于其对钙化显示较差的劣势,对于韧带骨化的显示不及CT。


骨扫描(骨闪烁显像)

1、是检测与布鲁氏菌病相关的骨骼受累的敏感方法,通常推荐用于有肌肉骨骼系统症状的患者。

2、骨闪烁显像结合临床表现与试验室检查,可以早期诊断本病的所有骨关节病变(包括关节炎和脊柱炎),其灵敏度为69%~91%。特别是局限于椎体前角的摄取增强,提示布鲁氏菌病脊柱炎。

病例一 

42岁女性,间歇性发热11个月,持续不断的腰痛7个月,双下肢无力1个月入院。体格检查发现L3、L4棘突附近压痛,无放射性疼痛。直腿抬高试验,右腿70,左腿90,双下肢肌肉萎缩。实验室检测WBC 6.61×109L,布鲁氏菌抗体滴度为1:16。影像学表现见下图a~f

图a、b、c、d  CT扫描 显示L4椎体终板多处不规则骨破坏,伴有边缘硬化,无死骨。骨破坏区周围呈花边样骨赘增生,椎体周围软组织肿胀。

图e、 f  MRI成像显示L3和L4椎体长T1和长T2斑块信号,边界不清。L3/L4椎间隙变窄,伴有椎旁软组织肿胀和硬膜囊轻微受压。

病例二

64岁男,因腰痛伴下肢肌肉酸痛、关节疼痛6个多月入院治疗。大约半年前,不明原因的腰痛,伴下肢肌肉和下肢关节疼痛。布鲁氏菌血清学凝集试验阳性。白细胞计数4.98×109/L、血沉50 mm/h、CRP 10.8 mg/L。


图a、 b  X线侧位和前后位影像显示腰椎序列完整,L2~ L5明显骨质增生,L5后缘骨质破坏。


图c、d、f  MRI显示L4和L5弥漫性略长T1、长T2信号,没有附件受累。L4和L5明显骨质增生,L4下终板和L5上终板局灶性骨破坏。L4/L5和L5/S1椎间隙变窄,椎间盘内呈长T2信号和椎间盘突出,硬膜囊后方明显受压,椎旁软组织明显肿胀,大腰肌受累。


图e、 g影像增强显示L4、L5明显强化,L4/L5椎间盘不规则强化,椎旁软组织明显弥漫性强化,前后纵韧带强化,左侧竖脊肌斑片状强化(黄箭)。


病例三

69岁女性 布鲁氏菌病椎间盘炎

MRI正中矢状面T2加权图像显示T12/L1椎间盘呈高信号强度,T12椎弓根压迫脊髓。

病例四

53岁男性,布鲁氏菌性椎间盘炎。

左图MRI T2矢状位成像,由于L3/L4水平椎间盘和终板受累,呈高强度视野,L4椎体塌陷。中图 MRI T1矢状位呈低信号强度。右图 MRI T矢状位影像增强 显示L3、L4椎体增强,符合椎间盘炎。硬膜外脓肿形成并向L4/L5水平延伸。

病例五

52岁男性 检疫员,既往有腰痛3个月,近几周疼痛逐渐加重,久坐或走路加重。不规律发热、出汗及间歇性左下肢麻木3周。实验室检查显示CRP和ESR呈高水平。布鲁氏菌血清凝集试验呈阳性,滴度为1:200。

CT轴位显示L4椎体边缘骨膜增生,L5椎体骨质破坏,边缘增生骨赘内出现新的骨破坏,呈花边样改变。


MRI矢状位T2显示L5椎体高信号区,提示活动性感染性椎间盘炎和软骨终板受累。脊髓显示正常信号强度。


MRI显示L4/L5椎间盘炎和硬膜外脓肿延伸到椎前区和硬膜外间隙,导致马尾受压。硬膜外脓肿T2显示为高信号、T1呈低信号。


MRI T2轴位图显示硬膜外脓肿导致马尾受压。

以上图片均为病例五


病例六

60男性 农民,腰痛持续6个月 有与家畜密切接触和食用不洁奶酪史。腹部检查示脾轻度肿大。全血细胞计数正常,轻度淋巴细胞增多。脊柱穿刺活检进行组织病理学和培养。组织病理学与布鲁氏菌一致。脊柱培养布鲁氏菌阳性。

MRI T2显示L2/L3椎间盘炎。

病例七

57岁男性,腰痛6个月,活动受限、发热、出汗,夜间明显。腰椎和胸椎压痛,颈部僵硬,屈曲固定。白细胞计数为5500 / mm3,红细胞沉降率为25mm/h。

布鲁氏菌凝集试验阳性。根据临床、实验室和放射学发现,诊断为多灶性布氏菌性脊柱炎。


磁共振成像显示弥漫性椎间盘炎伴硬膜外脓肿。

图A中矢状位MRI T2图像显示T2/T3、T8/9、T11/12、L4/5椎间盘和椎体呈高信号(白箭)。

图B MRI T2  L5椎体前方14mm×8mm呈高信号,提示椎旁脓肿(黄箭)。影像增强后,显示周围增强。


病例八

多灶性布鲁氏菌脊柱炎

CT 轴位、矢状位和冠状位显示 T9~T10和L2/L3,椎间隙狭窄,相邻终板侵蚀性骨破坏,椎间盘“真空征”(箭头)。L2/L3间隙新骨形成、“鹦鹉嘴”样变,椎旁软组织中度肿胀。


病例九

46岁男性,因严重腰痛6个月住院,4周前体重减轻、疲劳和间歇性发热。体格检查发现腰部疼痛、活动受限。体温是37.5度;白细胞计数9600 /mm3,血红蛋白13.5g/dl,红细胞沉降率45mm/h, C反应蛋白58mg/L。虎红平板试验(++),布鲁氏菌凝集试验为阳性,效价为1:320。


布鲁氏菌性脊柱炎

图a CT显示L4-5椎间破坏狭窄,椎体上、下终板破坏、骨质增生、硬化,L5  I°滑脱(黄箭)。图b CT轴位显示椎体边缘呈花边样变化(箭头)。图c MRI T2显示L4/L5椎间盘组织,呈不均质低信号(箭头)。


组织病理学检查

显示病灶内细胞增生性结节和肉芽肿。Giemsa染色显示布鲁氏菌阳性(箭头)。

友情链接: