首页/足踝/干货:德国医生跟骨骨折手术治疗技巧分享!/
干货:德国医生跟骨骨折手术治疗技巧分享!
2024-01-08 10:45:435850浏览
干货:德国医生跟骨骨折手术治疗技巧分享!

文章转载自足踝一昇公众号!    公众号想向各位小伙伴隆重介绍德文期刊《Operative Orthopadie und Traumatologie》,该期刊虽然影响因子不高,但是期刊文章内的手术相关医学插图做得非常优秀,可谓业界天花板级别,值得国内同行学习。本公众号目前找了一些发表在其期刊上关于跟骨骨折的文章,汇总并结合插图介绍一下德国医生对于跟骨骨折的一些手术技巧和经验。

1. 一期距下关节融合术联合切开复位内固定治疗跟骨关节内骨折

第一篇文章介绍通过一期手术治疗涉及明显粉碎或距下关节严重和广泛软骨损伤的跟骨骨折,预防创伤后退行性关节病的发展。适应症为Sanders IV 型跟骨骨折,伴有严重和广泛的软骨破坏。简要手术技术介绍如下:

手术采用外踝和跟腱之间的中线以及从外踝到跟骰关节的延伸外侧入路。皮肤与皮下组织分为单层。经验表明,这可以减少随后伤口边缘的坏死。在解剖过程中,必须保留腓肠神经、腓骨肌腱和小隐静脉。

在跟骨区域,小心地在骨膜下分离腓骨支持带和跟腓韧带。将三根克氏针(2.0 毫米)钻入距骨并弯曲,并将筋膜皮瓣向侧方牵拉。将Schanz钉插入跟骨结节以复位跟骨。

撑开器辅助下检查后关节面情况。软骨损伤是可见的。在这里特别关注粉碎区域和软骨损伤的程度。

采用迷你撑开器将距下关节撑开后磨头处理距下关节软骨。如果存在广泛的软骨损伤或中央粉碎区(如下方所示的 CT 图像所示),则给出距下关节融合术的指征。

使用凿子、磨钻和微型裂钻从距下关节的距骨部分去除软骨。可以在距骨和跟骨之间暂时插入一个微型牵引器,以提高固定稳定性。

下一步是尽可能重建跟骨距下部分并用钢丝环扎固定碎片。然后去除跟骨关节表面的软骨。

手术目的是恢复Böhler角、Gissane 角以及后足内翻,进行正确的轴向重建。为了实现这一点,跟骨后结节骨块必须向远端移动并朝外翻方向旋转。通过术中透视检查该位置。其他目标是重建跟骨的长度和宽度。这需要与对侧肢体的术前影像视图进行比较,以进行规划和评估。

跟骨外侧壁骨块也必须向内侧复位,否则跟骨会变宽,导致腓骨撞击疼痛。距骨体的外侧部分作为参考点,因此跟骨在外侧不应突出太多。

如果存在残留的距下关节骨缺损,则根据其大小用自体松质骨或皮质松质骨移植物填充。通过C形臂进行评估复位情况。将这些图像与健侧的术前X光片进行比较。如果轴向重建正确,应用AO跟骨钢板作为内固定器。

对于跟距螺钉固定,一般采用两枚7.3毫米空心AO松质骨拉力螺钉。根据距骨内所需的距离选择合适螺纹长度。通过足后跟内侧的小切口,在钝性解剖后将一根导针钻入跟骨,指向距骨体。第二根导针与第一根导针平行并钻孔。侧位和Broden位必须显示距下关节的对称桥接。测量螺钉长度后,攻丝并插入螺钉。如果存在骨缺损,可能需要移植皮质松质骨或松质骨。松质骨可以从胫骨远端或胫骨干骺端获得。如果缺损需要三皮质移植物,则必须从同侧髂嵴取出。

术后影像检查的标准是良好的复位效果和正确的植入物位置。特别是必须排除7.3毫米螺钉可能在胫距关节内的可能性。用皮下缝合闭合伤口,用简单间断缝合闭合皮肤。若皮肤张力较大时不应强行闭合伤口。如果是陈旧性骨折,术后无法关闭伤口的情况,建议采用临时负压吸引装置进行多阶段伤口闭合。在某些情况下也可能需要软组织重建。

图a, 58 岁女性患者,跟骨固定和一期距下关节融合术后 5.5 年,植入物移除后 2 年。足部的负重侧位视图显示重建良好,但距舟关节出现了继发性退变。生活质量仍然受到腓肠神经感觉迟钝的影响。图b 为了比较重建,还获得了健侧足部的负重侧位视图。相关角度均标记在两张图像上:a:Böhler角;b:Gissane 角;c:距跖角;d:距跟角。

2. 跗骨窦入路钢板接骨术治疗跟骨关节内骨折

第二篇文章主要介绍跗骨窦入路微创手术治疗跟骨关节内骨折。适应症:关节内、移位的跟骨骨折,所有Sanders II及III型跟骨骨折,部分Sanders IV型骨折。简要手术技术介绍如下:

手术采用侧卧位。标记解剖标志。皮肤切口为从腓骨尖端向第四跖骨基底部(3-5厘米) 。

切开皮肤并通过皮下组织暴露腓骨肌腱。肌腱被保留在跖处,为腱鞘提供最大可能的保护。进一步的探查以观察骨折情况。首先,使用锉刀分离跟骨的外侧壁。接下来是暴露距下关节面。如有必要,可在此时延伸切口以显示跟骰关节。然后将 Schanz 螺钉从侧面或后面插入跟骨结节作为复位辅助,以恢复跟骨的长度并消除创伤引起的后足内翻。作为 Schanz 螺钉的替代方案,也可以使用牵引器来进行复位。

然后使用骨剥从侧面复位支撑骨折块(“恒定骨块”)。在粉碎性骨折中,支撑骨折块经常移位。然后,复位塌陷的后关节面可以直接参考内侧关节面,并且可以使用克氏针暂时固定复位。最后,解决跟骨前突中的任何骨折延伸问题,并使用克氏针进行固定。

最后将角度稳定钢板定位在骨皮质上。这里,必须小心确保外侧壁已事先仔细复位,并且钢板不会跨过关节,使用克氏针将钢板暂时固定在跟骨上。然后依次用锁定螺钉填充板孔。手术以最终透视检查结束,还可以进行术中CT扫描。闭合伤口时应注意分层进行,将腓骨腱鞘闭合牢固。

图示一例左侧Sanders IV型跟骨骨折。术前CT冠状位 (a)、轴位 (b) 和矢状位 (c)。通过跗骨窦入路进行跟骨板接骨术。术后CT冠状位 (d)、轴位 (e) 和矢状位 (f) 的图像。术后1 年复查的 跟骨侧轴位X 线检查(g-h)。

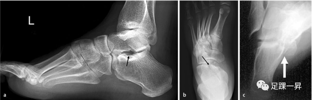
3. 跟骨载距突骨折

第三篇文章主要介绍内侧入路治疗移位跟骨载距突骨折。适应症:跟骨载距突骨折移位,距下关节内侧关节间隙不协调或塌陷,拇长屈肌或趾长屈肌腱卡压。简要手术技术介绍如下:

图示一例左侧跟骨载距突骨折(箭头)的标准 X 线片:a 足侧位、b 足正位 和 c 跟骨轴位。

图示同一患者的CT扫描图像。冠状位CT断层扫描显示载距突骨折粉碎移位,累计跟骨内侧壁下方。

图示通过直接内侧横行切口。切口长约 5 厘米,以可触及的载距突为中心,内踝下方约 2 厘米,前方 1 厘米,舟骨结节后方。这种入路优于 McReynolds 描述的经典的跟骨内侧入路,因此降低了通常不暴露的深层胫神经及血管束受损的风险。

图示打开深筋膜后,用软带将胫骨后肌腱和趾长屈肌腱向背侧回缩,然后将拇长屈肌腱向跖侧回缩。小心地将腱鞘的底部与骨膜分离并固定,以便在骨折固定后重新连接。暴露骨折端并记录关节受累的情况。有时需要近端切开屈肌支持带才能充分看到内侧关节面。三角韧带的胫跟骨部分应保持完整,以避免内侧不稳定和影像血供。

图示清除骨折处的血肿和碎片后,检查距下关节的内侧面是否有压痕和台阶。复位后的术中图像。

图a 使用复位夹将载距突加压复位至跟骨主体,避免对软组织产生直接压力。图b 通过内侧入路进行距下关节内侧面的复位。图c 复位钳使用示意图。图d 复位完成后使用1.8 mm克氏针暂时固定骨折块,并通过透视检查复位情况。

最后通常使用两枚3.5mm松质骨螺钉或者空心螺钉来实现最终的固定。遵循跟骨的不规则形状,螺钉方向需向后 (a) 和跖侧 (b)。

在直视下将螺钉拧入载距突 (a)。通过 20° Brodén 视图 (b) 和跟骨的轴位视图 (c) 可以确定螺钉正确的位置。

图示术后18个月,患者在所有日常生活和运动活动中都没有疼痛。剧烈活动后,后足周围有些肿胀。距下关节处未见创伤后关节炎的迹象。

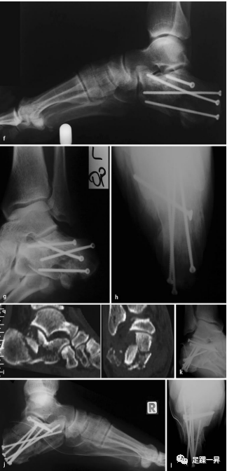
图示如果骨折线延伸到跟骨的前突,则切口必须向前延伸至足底距跟舟关节的侧面,以评估骨折的复位情况。图d、e、f 用螺钉固定。一枚3.5毫米螺钉固定载距突,一枚2.7毫米螺钉固定跟骨前部骨折块。图g为术后一年半,患者不再疼痛,距下运动轻度受限。

图示一例载距突粉碎性骨折合并距骨外侧突骨折,克氏针和螺钉固定的组合可能变得必要。克氏针将中间碎片固定在跟骨体上。作为“丢失的克氏针”。若跟骨内侧壁粉碎,可以使用微型支撑钢板。然而,入路需要更靠近足底,并且应注意不要损伤胫神经及血管束。建议避免使用钢板以免激惹肌腱。距骨外侧突骨折采用切开复位和斜外侧 (Ducroquet-Ollier) 入路,并采用2.7mm螺钉固定进行治疗。图e、f 术后2年随访时,患者日常生活活动无疼痛,但后足活动受限。

4. 移位跟骨关节内骨折的手术治疗

第四篇文章由Zwipp教授操刀,主要介绍传统入路和解剖钢板进行切开复位内固定。对移位的关节内跟骨骨折进行解剖复位,恢复跟骨的高度、轴线和关节面平整。简要手术技术介绍如下:

图示轴向暴力导致跟骨关节内骨折形成的典型机制。SU 载距突、TU 跟骨结节、PF 后关节面。

图示冠状位和轴位CT中 5 个主要骨折块和3个主要关节面。骨折块:SU 载距突、TU 跟骨结节、PF 后关节面、PA 前突外侧、AF 前突内侧。关节面:1 距下关节的后关节面 、2 距下关节的(前)内侧关节面 、3 跟骰关节。关节外骨折 (a)、关节内骨折 (b) 和脱位骨折 (c)。

手术体位一般采用侧卧位。患足由大体积泡沫或隧道垫支撑,以便在术中进行透视检查。另一种情况下,使用碳素工作台并确保 C 形臂在测试运行期间精确定位。如果需要与内侧入路相结合,建议采用仰卧位或者漂浮体位。如果是双侧跟骨骨折,可以选择俯卧位。

建议通过标记外踝、第5跖骨基底和跟腱来明确手术入路。金标准L形切口垂直臂始于外踝尖端上方约3个横指处,靠近跟腱外侧边缘,垂直延伸至跟骨水平的下三分之一。这里的切口以轻微的曲线合并到水平臂中,水平臂平行于足底,直到第5跖骨基底上边缘的水平。因此,切口位于外踝后缘和跟腱后缘或外踝尖端和足底之间的三分之二处。

切口直至骨膜,通过跟骨的骨膜剥离,创建皮肤-软组织-筋膜瓣,其对应于跟骨外侧动脉的供应区域,并考虑腓肠神经的走向。在解剖过程中,应注意切口近三分之一处腓肠神经分支的异常走行,以及远端区域腓肠肌腱与背侧相邻的背外侧皮神经。如果需要暴露跟骰关节,则必须非常小心地向远端移动肌腱,而不要打开肌腱鞘。跟骨结节上缘的解剖只能通过垂直切口切入毛细血管旁脂肪组织进行,以免不必要地切断血管网。为了确保手术区域和距下关节的暴露,使用2.0毫米的克氏针将凸起的软组织瓣固定在足后部,然后手动将其弯曲,作为非接触拉钩。

通过将带有手柄的6.5mmSchanz螺钉置入跟骨后结节内,同时可以更容易地抬起皮瓣以暴露距下关节。通过杠杆拉直结节并使用内翻/外翻操作,通常被压缩的后关节面边缘可以更容易地松开。

复位跟骨后关节面时,首先清除血肿、微小骨块和残留物。为了暴露内侧骨折块,将外侧骨折块一起小心地叠到一边(a),并在必要时用克氏针固定到皮肤上,以防止其从位置脱落。为了精确重建关节碎片,通常需要首先使用骨剥将结节骨折块重新复位在足底内侧(b),这样就不会阻碍关节面的重新复位。此操作可恢复跟骨的内侧轮廓 (c)。

后关节面复位总是从内侧到外侧进行,第一步是检查内侧支撑骨折块(“关键骨块”)相对于距下关节面的位置。任何可能出现的内翻倾斜都需要纠正,并且在严重不稳定的情况下,使用从足底侧插入的1.8毫米至2.0毫米克氏针将骨块暂时跨关节固定在距骨上。在第二步中,中间骨折块与内侧骨折块复位后,从外侧向内侧用 1-2根克氏针固定,这些克氏针在内侧皮肤穿出,以便能够将其逆行回缩至骨块水平 (b)。克氏针钝头预先切割,使得在第三步骤中复位外侧骨块后可以将克氏针逆方向退回固定,从而暂时固定整个后关节面(c)。

使用开放式距下关节镜检查对后关节面复位进行监视,最好使用小口径(1.9-3.2 mm)镜头进行。通过位于结节内的 Schanz 螺钉施加内翻应力,有助于关节镜更接近关节。b、c 如果发现明显的台阶,则必须重复后关节面的复位。

距下关节面骨块完全复位后,需对跟骨结节骨折块精细复位。对于典型的塌陷性骨折,可使用2根克氏针将其暂时固定在距下关节面骨块上。如果由于跟腱的拉力而有向上移位倾向,则必须将克氏针固定到距骨中。在重建的最后一步中,前突骨折块被暴露并复位。使用从骰骨或跟骨结节纵向插入的克氏针将其保持在复位位置。目视检查关节的一致性后,如果存在明显的不稳定性,则仅用平行于关节表面的 2 根附加克氏针从外侧到内侧进行固定。跟骨外部形状解剖学重建的一个良好指标是在手术开始时折叠起来的外侧壁骨块的精确贴合。1-7临时插入克氏针的顺序、SU 载距突、TU 跟骨结节、PA 前突骨折块、AF 前内侧骨折块。

如果没有多处骨折或骨质疏松症,非锁定跟骨钢板就足够了,也可以选择使用角稳定跟骨锁定钢板。无论钢板的设计如何,原则上都必须提供跟骨三角稳定性。在任何情况下,钢板都不应沿纵轴弯曲,以避免固定跟骨纵轴的任何内翻或外翻。通常6-8枚螺钉可以为跟骨的三角张力提供足够的支撑。其中2枚放置在载距突稍稍向前的位置,定位前可在内侧触诊载距突,2枚放置在跟骨前突中靠近跟骰关节的位置,2枚放置在跟骨结节区域。当使用锁定跟骨板时,第一个螺钉应作为拉力螺钉放置,以实现对复位骨块加压作用。也可以选择使用非锁定2.7或3.5mm螺钉来固定丘部。原则上,如果正确使用角稳定跟骨钢板,则无需植骨。

图a、b为钢板内固定后术中跟骨侧位、跟骨的轴位透视图。分层缝合伤口前,必须充分止血。如果松质骨大量出血,建议塞入明胶海绵,以减少血肿形成。引流管应保留2-3天。

5. 跟骨髓内钉(C-Nail)治疗跟骨骨折

第五篇文章主要介绍一种微创跟骨髓内固定方法,通过捷克-德国开发出角稳定的跟骨髓内钉C-Nail,不仅可以修复距下关节面,还可以修复跟骨的形态。即使在Sanders III 和 IV 型的情况下也能实现较高的初期稳定性。简要手术技术介绍如下:

跟骨髓内钉C-Nail示意图。通常,距下关节面需要1-2枚空心螺钉固定。载距突处拧入2枚螺钉,另外3枚从外侧面拧入,最后2枚从跟骨背侧结节拧入。

手术患者通常采测卧位。

一般首先采用跗骨窦入路。如果复位出现问题,可以将其向远端延伸。必须保护腓骨肌腱。

使用克氏针将复位的跟骨结节骨折块连同距下关节骨折块初步固定到距骨上,再使用两枚克氏针将解剖复位的后关节面的外侧部分固定到内侧部分(a)。对于一个或两个中间骨折块(Sanders III/IV 型),使用克氏针“内向外”技术进行固定(b)。最后使用Broden位或关节镜监视后关节面的复位情况。

一旦判断后关节面解剖复位,将克氏针逐渐更换为2枚皮质螺钉(2.7/3.5mm)或2枚松质拉力螺钉(4.0mm)或2枚短螺纹空心螺钉。

一旦所有主要骨折块复位完成并用克氏针固定后就可以手动移除Schanz螺钉。髓内钉主钉的导针需要容纳8mm钻头,以便随后插入主钉。

在任何跟骰关节不协调或跟骨前突骨折移位的情况下,都用一个小的经皮插入的锉刀复位,再用2枚克氏针暂时固定复位,然后用靠近跟骰关节的两个经皮插入的 3.5mm皮质或4.0mm松质螺钉代替(a)。这些螺钉的定位应尽可能位于背侧和足底,以免干扰主钉插入(b)。如果无法经皮复位关节面,则应在跟骰关节正上方采用切开横向水平入路,以实现解剖学复位。

为了确保主钉轻柔地插入骨组织,在跟腱止点下方约10毫米做一个垂直皮肤切口。

放置导针方向应位于跟腱止点下方 (a、b),朝向跟骰关节中部,其应在跟骨中部延伸 (c、d)。

导针植入完毕后,然后用钻头(直径8mm,长度240mm)扩髓钻到跟骰关节面前约5mm处,以免损伤跟骰关节。

轻柔插入带瞄准装置的跟骨髓内钉(a),旋转瞄准装置至准确位置(b)。

使用瞄准装置,首先放置两枚载距突螺钉(a)。C臂机透视下旋转髓内钉,打入第一枚导针(b,c)。当确认第一枚导针处于理想位置时,才能将第二枚导针打入(d)。然后使用空心钻,并将导针更换为螺钉(e-h)。组织保护套应始终牢固地固定在骨头上。螺钉的长度可以直接从钻头的刻度上或使用导向套边缘的深度计读取。最后,使用C臂机 (g) 检查螺钉位置。

剩余的螺钉通过瞄准器植入,首先是2枚固定跟骨结节或舌状骨块的螺钉从上至下固定到髓内钉上。另外3枚螺钉通过外侧拧入固定跟骨前突,体部及后节结。插入导向套时,必须始终仔细测量所需螺钉的长度,以便它们也到达另一侧的皮质。螺钉不应超出皮质太远,以避免刺激软组织。螺钉有一个垫片,可防止螺钉陷入骨头中。注意:为避免损伤神经和肌腱,螺钉插入时必须特别小心。

将所有螺钉植入完成后,需要跟骨侧轴位以及Broden位检查髓内钉位置。

将瞄准装置从跟骨髓内钉上拆下。

安装尾帽,尾帽的长度根据髓内钉的深度可选择(0;5;10;15;20mm)。

伤口闭合后示意图。

术中照片:a 跗骨窦入路皮肤切口,用于暴露后关节面。b 暴露距下关节,在腓骨肌腱上方进行解剖,不打开腱鞘。

术中照片:a 置入跟骨后关节面两枚拉力螺钉。b 复位完后,跟骨髓内的导针置入。

将髓内钉导针从跟腱插入点下方的结节处插入,平行于跟骨下表面,跟骨前突关节面约5mm处结束。将克氏针放置在跟骨中间或到外侧三分之一的区域非常重要。

术中照片:髓内钉安装在瞄准臂上后,可以轻松地将其插入跟骨,并透视检查与跟骰关节的距离。

术中照片:a 透视下检查两根克氏针是否准确地放置在载距突中而不影响内侧关节面。b 当导针处于正确位置时,逐渐用2枚螺钉代替。使用 C 形臂再次检查正确的位置和螺钉长度。

螺钉锁紧完成后,取下瞄准支架,根据透视髓内钉深度选择尾帽所需长度。

最终透视跟骨侧轴位、20° Brodén位图像,以检查后关节面是否解剖复位,所有螺钉长度是否恰当。

冲洗伤口后,缝合关闭伤口。

一例Sanders IIA型骨折患者当天进行了跟骨髓内钉治疗。a-b:术前CT扫描提示后关节面压缩并移位。c-d:术后CT显示后关节面已复位,钉子在跟骨中的位置正确。e-g :术后一年X线随访。

6.  跟骨髓内钉(Calcanail)治疗跟骨骨折或距下关节融合术

第六篇文章主要介绍另一种微创跟骨髓内固定方法,通过法国开发的跟骨髓内钉Calcanail,治疗跟骨骨折或距下关节融合术。简要手术技术介绍如下:

患者一般采用俯卧位,将患足放在手术台远端的垫子上,以便进行透视。另一种选择是侧卧位(患足朝上)位置。

C臂机透视下进行导针的定位。足跟后下方2厘米的皮肤切口,跟骨结节下方为入针点。

跟骨侧位透视,导针朝向距下关节并和水平面呈60°夹角;

示意图提示导针位于轴位中线。

使用定位装置插入Caspar撑开器。

Caspar撑开器固定牵开恢复跟骨长度并纠正内翻移位。

Caspar撑开器进行复位后透视图。

透视下使用环钻以避免距下关节面损伤。

扩髓器内的骨块作为自体骨移植物的来源。

插入保护套筒。

通过Caspar撑开器牵引来矫正跟骨结节的内翻畸形和高度损失。

使用Caspar撑开器进行轴位矫正,恢复跟骨长度。

使用特制打压器夯实跟骨骨折块。

使用相应的打压器(直的和弯曲的)通过跟骨工作通道进行内部复位,目标:实现无台阶或间隙的解剖距下关节面位置,并恢复Gissane角。

通过打压器通过跟骨工作通道进行内部复位示意图。

提示术中通过跗骨窦入路和关节镜监视复位效果。

Calcanail ® 髓内钉装置的长度测量(可用长度45、50或55毫米)。

将Calcanail安装到钉架上。可选择扩髓时提取的松质骨柱作为自体骨移植物支撑距下关节面。

将髓内钉插入后轻微旋转,直至正确的深度(距下关节表面下方),并将髓内钉完全插入跟骨结节皮质下。

髓内钉插入后的透视图。

将交锁螺钉瞄准装置固定到钉架上,将钻头套筒插入瞄准装置。通过套筒的钻头穿过内侧跟骨皮质。

测量交锁螺钉的长度。

旋入空心锁定螺钉。交锁螺钉具有双螺纹,可以将螺钉头下方的较大螺纹额外固定到皮质中。移除瞄准装置和钉架后再次透视确认螺钉的位置。最后拧入Calcanail 髓内钉主钉的尾帽。

移除瞄准装置后最后透视图。

术中皮肤缝合后大体照片 (a) ;术前/术后 X 光片 (b–d) ;术前/术后CT矢状位片 (e, f) 。

图示距下关节融合术的后外侧入路,术中注意保护腓肠神经。

一例患者跟骨骨折钢板内固定术后距下关节炎,距下关节融合术前 (a) 和术后 (b,c) 的X线照片。

7. 跟骨关节内骨折的经皮复位螺钉内固定术

第七篇文章主要介绍经皮牵引复位,随后经皮螺钉固定,以恢复跟骨和距下关节面的解剖结构。该技术的目的是与保守治疗相比改善功能结果并降低继发性创伤后关节病的发生率,其次与切开复位内固定(ORIF)相比减少感染并发症。简要手术技术介绍如下:

患者处于俯卧位,患足抬高。在两台C形臂透视下完成手术操作。

将三枚3毫米克氏针从外侧依次插入跟骨结节、骰骨和距骨颈。克氏针的方向必须根据结节的位移来选择。例如,如果后足处于内翻位置,则克氏针从外侧向内侧插入会聚,以纠正后足内翻,在施加牵引时将跟骨结节拉至中立位置。

通过三枚克氏针将两个撑开器器安装在足的两侧可以恢复跟骨的高度和长度 。

从足底插入顶棒定位至跟骨后关节面的凹陷部分,通过复位以恢复跟骨后关节面平整。

当获得可接受的复位后,将两枚交叉的3毫米克氏针从跟骨结节置入到骰骨和舟骨。然后将它们替换为空心松质骨螺钉。第三枚空心螺钉从侧面插入并引导至载距突中,以复位跟骨宽度。如果与垫圈结合使用,该螺钉可进一步复位外侧壁和距下关节中的骨折。

拆卸外部撑开器后的跟骨侧位和轴位螺钉置入示意图。

病例1:右跟骨Essex-Lopresti舌型骨折、Sanders IIB型骨折,通过牵引复位和进行经皮螺钉固定。置入额外的经关节克氏针以防止复位的距下关节二次塌陷。经关节克氏针在6-8周后移除。

病例2:右跟骨Essex-Lopresti凹陷性骨折、 Sanders IIIAC 型骨折,并伴有距下关节脱位。通过牵引复位和进行经皮螺钉固定。

病例3:左跟骨Essex-Lopresti舌型骨折、 Sanders IIC 型骨折。通过牵引复位和进行经皮螺钉固定。

8. 跟骨骨折关节镜辅助下复位内固定术

第八篇文章来自Rammelt教授,主要介绍关节镜辅助下经皮复位及固定移位跟骨骨折的技术。适应症为关节外和特定的关节内跟骨骨折(简单骨折类型:Sanders II 型、危重软组织状况、切开复位的禁忌症)、复杂损伤或多伤患者的临时稳定。跟骨骨折的经皮螺钉固定具有最小的软组织创伤和较低的并发症发生率。通过适当的患者选择,它可以实现早期康复并获得优异的结果。对于关节内骨折,必须在术中通过关节镜确认关节面的解剖复位。手术技术介绍如下:

图示Sanders跟骨骨折分型。冠状位跟骨后关节面骨折线的数量和位置构成了分型的基础。Sanders I 型骨折(无移位或未移位的关节骨折)和 Sanders II 型骨折(跟骨后关节面的骨折线)特别合适此技术。

经皮复位技术的有利骨折模式。根据 Essex-Lopresti 的舌型骨折,a 伴有后关节面整体移位(Sanders IIC 型)。b 舌型骨折伴关节内移位(Sanders IIB 型)。c 根据 Essex-Lopresti 的“关节凹陷型”骨折,带有后关节面外侧部分骨折(示例中也是 Sanders IIB 型)。

手术时患者采用侧卧位。标记切口标志后,将带有T形手柄的6.5mm Schanz螺钉置入足跟后侧切口,平行于近端移位的跟骨结节骨块的上边缘,稍微侧向中线直至接近后关节面。

图示为经典操作来闭合复位舌型骨折块,该操作也使用于切开复位。

简单的关节内骨折并伴有后关节面台阶(Sanders IIA 和 IIB 型),可通过关节镜评估关节面的复位情况。C臂机和关节镜协助医生可以轻松地进行复位操作。

前外侧和后外侧标准入路用于距下关节镜检查。较小的骨折碎片和关节内游离体可以通过第二个入口作为工作通道移除。有时,可以直接在后关节面的外侧边缘建立第三个中央入口。

如果初次闭合复位操作后仍然存在轻度移位,则在关节镜视野下进行精细复位。如果存在较大的外侧关节面骨折块,可从足底侧将顶棒插入关节附近的松质骨致密区,小心支撑关节面即可完全复位。或者可以使用克氏针或骨剥来操纵复位较小骨块块。维持复位可用1-2枚克氏针临时固定。

图a 复位前跟骨后关节面明显移位的关节镜图示。图b 粗略复位后,经常会留下关节面台阶或者裂隙的情况,然后通过精细复位来纠正。图c 最终关节镜检查显示关节面解剖复位。

如果在2-3次尝试后解剖复位仍不成功,则应转换为开放手术。使用3-6枚螺钉进行固定,拉力螺钉平行于关节面并垂直于骨折断端,以闭合关节内骨折间隙。使用空心螺钉可以使手术过程更容易。可从外侧向载距突置入两枚额外的螺钉。跟骨结节上缘的典型舌状骨折块可用从上向下置入螺钉固定。

图a-d 双侧跟骨骨折侧轴位X线,两侧跟骨骨折均为Sanders IIA型。

图e–h 左侧跟骨骨折进行经皮复位和螺钉接骨术。图i-l 右侧跟骨后关节嵌顿严重,不允许使用经皮技术进行解剖复位。后关节面的外侧部分通过小切口复位并固定在内侧部分上。然后进行螺钉接骨术,部分也使用经皮技术。

图a, b 该患者为多发性创伤,跟骨骨折软组织可能存在感染风险,不建议进行切开复位。图c-f 采用经皮复位技术完成经皮复位螺钉固定关节内跟骨骨折。

9. 两点撑开器微创治疗跟骨关节内骨折

第九篇文章主要介绍透视下利用特制2点撑开器经皮复位及固定移位跟骨骨折的技术。手术技术介绍如下:

图示特制2点撑开器。

图示借助小腿支架支撑患足后的侧卧位。

图示体位摆放完成后患足应与地面平行。

术中摆放C臂机进行透视的照片。

术中透视图像包括跟骨侧位、Broden位及轴位。

透视下将第一枚3mm克氏针垂直中轴线穿过距骨颈部。第二枚克氏针需在透视下垂直于跟骨后结节轴线置入跟骨后足。(红线显示跟骨轴位透视下后足及踝关节力线)。

示意图显示两枚克氏针的方向,通常强烈推荐两枚克氏针向内侧会聚以纠正内翻畸形。

图示手动矫正内翻畸形,然后安装内侧撑开装置。

随后安装外侧撑开器装置。折弯和缩短克氏针,以防止撑开过程中打滑。在透视下,通过两个撑开器交替撑开复位。

利用2点撑开,以及韧带张力,别是在足底筋膜来复位跟骨骨折。

图a-c 如果外侧壁骨折,在透视下则通过足外侧或足底辅助通道使用复位器械复位中央骨折块。复位后从外侧向内侧置入螺钉固定压缩骨折块。

图a-b 使用1枚支撑螺钉将后关节面骨折块稳定到载距突上。这里要特别注意的是Broden位图像显示距下关节(见红圈)。

示意图显示从足跟侧方置入跟骨后关节面支撑螺钉。

将两枚7.3毫米螺钉的导针沿着跟骨长轴由足跟后方向前方平行放置。入针点紧邻跟骨结节跟腱止点区域,以确保更好的软组织覆盖。

一例跟骨骨折,术前跟骨轴位CT显示跟骨缩短和增宽。

术前矢状位CT提示舌型关节内骨折,后关节面移位。术后跟骨侧轴位X线显示跟骨复位满意,螺钉位置良好。

术后切口情况。

友情链接: