首页/骨科小技巧/脆弱性骨硬化(骨斑点症)!/
脆弱性骨硬化(骨斑点症)!
2024-01-08 11:11:342081浏览
脆弱性骨硬化(骨斑点症)!

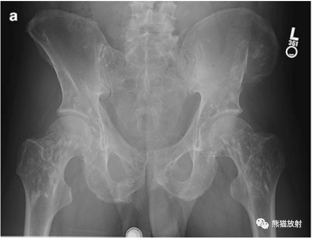
病史58岁男性,车祸后左侧骨盆疼痛。(A 58-year-old man with left sided pelvic pain following car accident.)

影像学表现股骨和骨盆骨可见多发小圆形硬化灶,X线片(a)和 CT图像(b)上都可见到左侧髂骨翼骨折。There are numerous small round sclerotic foci in the femurs and pelvic bones. Fracture of the left upper iliac wing is seen on both the radiograph (a) and CT image (b).

鉴别诊断(前3位)

  • 脆弱性骨硬化(骨斑点症)Osteopoikilosis
  • 成骨性转移瘤 Osteoblastic metastases
  • 结节性硬化症 Tuberous sclerosis

讨论骨斑点症的硬化灶通常小于广泛成骨性转移瘤或结节性硬化症的病灶。The sclerotic foci in osteopoikilosis are typically smaller that those seen with diffuse osteoblastic metastases or tuberous sclerosis.

结节性硬化症患者通常还有其他临床表现(肾肿物、室管膜下结节、指甲和皮肤异常以及癫痫发作)。Patients with tuberous sclerosis often have other clinical findings (renal masses, subependymal tubers, nail and skin abnormalities, and seizures).

列腺癌是导致成骨性转移瘤的最常见的恶性肿瘤,这些患者通常 PSA水平大于 10ng/ml。Prostate cancer is the most common malignancy to cause sclerotic metastases and patients usually have a PSA level >10ng/mL.

诊断

  • 脆弱性骨硬化(骨斑点症)Osteopoikilosis

要点

  • 又名骨斑点症 Aka “spotted bones” disease.
  • 是一种以关节周围骨性区域的多发小硬化灶(骨岛)为特点的硬化性骨发育不良。Sclerosing bone dysplasia characterized by numerous small sclerotic foci (bone islands) in periarticular osseous regions.
  • 骨盆是最常见的受累部位。Pelvic bones are the most common site of involvement.
  • 病因不明。Cause is unknown.
  • 通常在核素骨显像中没有摄取。Typically no uptake in bone scinitigraphy.
  • 通常没有症状,但偶尔可与关节疼痛相关(15%~20%)。Usually asymptomatic, but occasionally associated with joint pain (15–20%).
  • 可有硬皮病样皮肤病变、侏儒症、难产和椎管狭窄。Can have scleroderma-like skin lesions, dwarfism, dystocia (difficult childbirth), and spinal stenosis.
  • 可与其他硬化性骨发育不良(条纹状骨病和蜡泪样骨病)相关。Association with other sclerosing bone dysplasias (osteopathia striata and melorheostosis).
友情链接: