搜索
学习中心
登录
首页
/
足踝
/
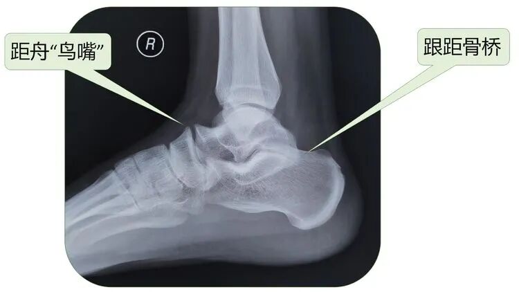
脚里“搭了桥”?聊聊跟距骨桥的诊治!
/
脚里“搭了桥”?聊聊跟距骨桥的诊治!
2024-01-17 10:41:43
1200浏览
脚里“搭了桥”?聊聊跟距骨桥的诊治!
,时长
00:09
术后一个月的聊天视频
,时长
00:04
00:05
友情链接: