首页/创伤/精美图片:胫骨平台骨折适应症及手术入路!/
精美图片:胫骨平台骨折适应症及手术入路!
2024-01-24 10:28:511952浏览
精美图片:胫骨平台骨折适应症及手术入路!

胫骨平台骨折是比较常见的骨折, 常见的分型:

1、Krause 等将胫骨平台分为 10类:

ALL 前外侧,ALZ 前中央,AMM 前内侧,AMZ 前内侧中央,AZ 前中央,PLL 后叶外侧,PLZ 后叶中央,PMM 后内侧,PMZ 后内侧中央,PZ 后中央。

2、Hoekestra 等人将三柱理论改进:胫骨平台腓骨头区域归入外侧柱,而不再归后侧柱--这是考虑到该区域可通过扩展的前外侧入路进行治疗。

常见的手术入路:

除了经典的前路、前外侧、内侧和背侧入路之外,在过去二十年中还使用横截面成像描述了许多新的入路, 通过选择这些方法,大多数复杂的胫骨平台骨折都可以得到充分治疗。下面介绍几种:

一、前外侧入路

适应症:外侧柱和后外侧柱骨折。经典的前外侧入路适用于外侧柱简单的劈裂/凹陷骨折,这种入路可在外侧柱后外侧角(PLL、PLZ )及前关节部分(ALL、ALZ , AZ)进行良好暴露。

二、外后侧入路

适应症:涉及后柱的外侧柱骨折,或需要使用支撑板进行器械固定的孤立后外侧柱骨折。根据Krause的方法,可以通过关节切开术观察到ALZ、ALL、PLZ和PLL节段。

三、内后侧入路 

适应症:内侧柱骨折,可延伸至内侧后柱。暴露外侧和外侧后柱(蓝色):根据Krause的分类,可暴露 AMM、AMZ,必要时还可暴露 AZ节段。

四、后内侧入路

适应症涉及后柱的骨折。这种方法不用显露血管神经束。但只能在关节外侧进行有限程度的直接目视检查。关节暴露仅限于胫骨平台背侧后缘(蓝色)。

五、后外侧入路

适应症:胫骨后外侧平台(Krause PLL、PLZ、PZ)孤立性骨折。进入外侧柱受限,胫骨后外侧台边缘(蓝色)的关节视野受限。

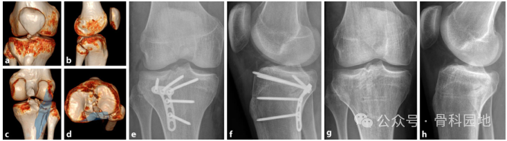
病例1

a-d 术前 CT,内侧、外侧和后侧柱骨折。方法:内侧入路,仰卧位固定内侧柱(蓝色)。后柱不需要后方支撑。2. 前外侧入路,观察外侧柱和外侧平台(红色),支撑胫骨结节片段并竹筏钉固定平台。e, f 术后检查。

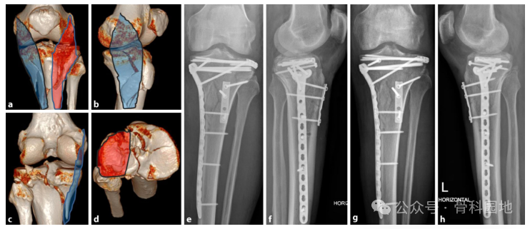
病例2

骨质疏松症伴有前柱、内侧柱和后柱骨折。方法:俯卧位后内侧入路(蓝色)并应用后路钢板。2. 仰卧位复位(RL)和外侧入路(红色)。a-d 术前计划 CT(计算机断层扫描)。

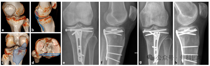
病例3

屈曲骨折伴后柱骨折。a-d 术前计划 CT(计算机断层扫描)。e, f 术后检查。

病例4

后外侧孤立性骨折。a-d 术前计划 CT。e, f 术后检查。

友情链接: