首页/脊柱/干货!内镜下融合新技术KT-FELIF!/
干货!内镜下融合新技术KT-FELIF!
2024-02-23 10:26:172047浏览
干货!内镜下融合新技术KT-FELIF!

内镜下融合有两种主要的入路:后外侧入路,类似于TLIF入路;经Kambin入路,是一种更加倾斜的入路,类似于椎间孔镜下腰椎间盘切除术的入路。Heo等在单孔FELIF中观察了这两种入路的骨切除的差异。经Kambin入路是一种保留关节突的方法,后外侧入路通过背侧关节突切除上、下关节突(SAP和IAP)。因此,后外侧入路允许对侧减压,而经Kambin入路只能部分减压同侧,对侧通过融合器撑开来间接减压。尽管可以做部分SAP切除,但由于倾斜的轨迹,经Kambin入路比后外侧入路有更大的椎间盘切除和终板准备区域(图1a)。由于后外侧入路椎间盘摘除术受近中心皮肤切口和硬膜囊的限制,对侧椎间盘摘除术受到限制,形成管状的椎间盘处理区域(图1b)。后外侧入路最显著的缺点是终板处理范围不够(可以切除不到一半的椎间盘和终板软骨)。相反,经Kambin保留关节突入路有利于终板的制备和椎间盘摘除,但缺乏对侧椎管的直接减压。这里,我们引入一种改进的经Kambin三角的新方法:Kambin Torpedo FELIF (KT-FELIF)(图1c)。

【图1 内镜下融合的不同入路】(a)经Kambin三角。蓝色箭头表示通过这种方法获得的较大的椎间盘切除区域。然而,只能实现同侧椎管的直接减压。(b)后外侧入路。蓝色箭头表示使用后外侧入路而不是经Kambin入路获得的较窄的椎间盘切除区域。绿色箭头表示去骨减压和双侧狭窄减压的区域。(c)改良经Kambin入路(Kambin-Torpedo全内镜下腰椎椎间融合术),蓝色箭头表示与(a)所示的经Kambin入路获得的相同的大椎间盘切除区域。此外,对于中央隐窝和对侧隐窝或椎间孔狭窄也可以类似b所示的完全减压。

适应症

与常规脊柱融合手术类似,KT-FELIF适用于1~2度滑脱。本研究在对患者及家属进行充分解释和讨论后,对15例退变性腰椎滑脱症行KT-FELIF治疗。所有患者至少随访3个月。

体位、麻醉和设备放置

患者在全身麻醉和监护下,俯卧位Wilson架,内镜的显示器和透视C型臂被放置在患者症状侧的对侧。在生理盐水冲洗期间不使用泵,以避免发生医源性硬脊膜撕裂时增加颅内压。常规盐水袋悬挂于患者水平高度1~1.5m处,可提供足够的液体流量,使内镜视野清晰。与麻醉医生沟通,维持收缩压<110mmHg,可有效控制出血。此外,与所有类型的脊柱内镜手术一样,每2L生理盐水中加入1mg肾上腺素进行手术灌注止血。

切口和内镜放置

在脊柱旁开约7.5cm处平行于椎间隙做一长约1cm的皮肤切口用于置入融合器。脊柱棘突与切口的距离要根据患者的体型进行修改。对于体重超重的患者,切口更偏外。外科医生在术前可以使用MRI来规划(图2)。

【图2.非超重患者切口位于中线旁约7.5 cm处】导丝靶向上关节突的外侧(图3)。15°/10mm外径/7.1mm工作通道直径(LUSTA内镜系统,德国Spinendos公司)用于去骨操作。然后使用常规的30°/6.9mm外径/4.3mm工作通道直径(德国Spinendos公司),以实现椎间盘制备过程中更好的可视化和终板刮除。切口可以根据手术水平及患者的肥胖情况进行调整,根据术前MRI进行规划。

【图3.绿点表示指向上关节突外侧的范围,绿色区域表示骨性部分减压的区域。】

经Kambin三角
内镜下行全关节突关节切除

我们使用椎板钳、磨钻和骨刀进行小关节切除(图3)。对上关节面、下关节面、同侧椎板、棘突基底部、对侧腹侧椎板、对侧侧隐窝、对侧椎间孔逐级减压。黄韧带在骨性工作期间因其对神经保护的贡献而被保留,但在对侧侧隐窝减压前最终被去除,因为它限制了对侧椎板的腹侧空间的视野。

对侧椎间孔切开

及侧隐窝减压术

通过经Kambin入路实现对侧侧隐窝和椎间孔的减压是KT-FELIF的重要特点(图4)。

【图4.在完成全关节突切除后扩大Kambin三角和去除脊柱突基底部周围的骨质后,我们可以达到一个非常水平的角度来访问对侧。】

去除脊柱棘突基底部及周围骨质后将同侧椎板的腹侧部分削薄,在侧隐窝的背侧部分用椎板钳和骨刀进行对侧椎间孔切开术,松解走形根(图5)。使用具有大角度的椎板钳进行修剪。

【图5.使用椎板钳行对侧侧隐窝减压术】

终板处理

在充分减压背侧和双侧神经根后,我们改为常规FELD进行椎间盘制备。我们通过撑开器扩大椎间隙,并在椎间隙内来回旋转内镜镜鞘。在整个过程中,我们确保工作鞘始终位于椎间盘内,以保持神经根在工作套筒之外。随后,在清晰的脊柱内镜视野下广泛切除椎间盘和终板软骨(图6)。

【图6.在清晰的脊柱内镜视野下进行充分的终板准备】

与后外侧入路相比,更加倾斜的经Kambin入路增加了椎间盘切除面积(图7)。

【图7.在后外侧入路中,小切口及其靠近中线的位置限制了髓核钳的使用。此外,脊柱内镜中使用的髓核钳的咬合力较小,即使跨越中线,也会导致椎间盘切除范围偏向一侧。反之,经Kambin入路也涉及小切口。然而,切口位置更偏外侧,导致不偏向一侧,椎间盘切除面积更大。】

植骨、椎间融合器、

经皮椎弓根螺钉

在融合准备完成后,我们将工作通道更换为更大的可膨胀的Harrison cage-glider ( 韩国TECHCORD公司) (图8)。

【图8.Harrison cage-glider的尺寸各有不同,均可膨胀撑开。此外,前方的半管设计有助于在放置融合器时将神经挡在套筒外。】

前方的两个鞘片,一个在内挡住硬膜囊,一个在外置入椎间隙处理的外侧缘(图9)。

【图9.将Harrison cage-Glider的两个鞘片分别置入髓核摘除孔的内、外侧边缘,使硬膜囊和神经根挡在外侧。】

使用漏斗植骨装置,将从减压得来的自体骨材料中混合人工骨植入到椎间隙的前方(图10 )。

【图10.在椎间融合器植入前使用漏斗形植骨装置在椎间隙前方进行同种异体或自体骨】

根据融合器试模的松紧程度,我们选择了合适的TLIF PEEK融合器。在置入融合器之前,我们在内镜下重新检查保护鞘的位置,然后在透视引导下放置融合器(图11)。

【图11.在C型臂辅助下将融合器通过Harrison cage-Glider置入。重要的是正确的垂直方向(平行椎间隙),以避免锤击过程中的损伤终板】

经皮将椎弓根螺钉(直径6~7mm)置入,棒放在深筋膜下。在棒的外侧放置引流管以防止神经刺激。

收集影像学和临床资料

术后采用X线片和CT评估减压范围和椎间植骨量的大小。所有患者均顺利出院,术后伤口良好,疼痛得到控制,活动能力满意;患者佩戴腰围1.5个月。为了评估短期影像学结果,术后CT在术后3个月及3个月以上的随访平片均在门诊获得。临床结果包括患侧和健侧疼痛评分(VAS)和Oswestry功能障碍指数(ODI)值、手术时间、术中出血量、住院时间和手术相关并发症。

结果

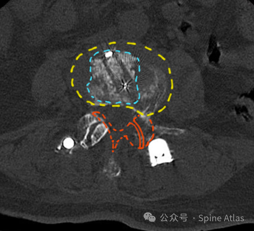
术后3个月CT图像显示同侧、中央及对侧减压充分。此外,与整个椎间盘区域相比,图像显示了较大的植骨接触面积(图12)。

【图12.在术后3个月的CT图像中,红色点状线表示同侧、中央和对侧的骨减压。与整个椎间盘面积(黄色点线)相比,蓝色点状线表示较大的植骨接触面积。】

术后3个月的X线片显示软骨终板准备良好,椎间植骨与椎体(图13a和b)无间隙。此外,术后6个月的平片显示椎间小梁骨持续生长和重塑,在植骨块、融合器和终板(图13c和d)之间未观察到透亮线。

【图13.术后3个月的平片显示软骨终板制备良好,侧位a、前后位b均未见椎间植骨块与椎体之间存在明显间隙。术后6个月X线片显示椎间小梁骨连续生长和改建,在侧位和正位X线片上,植骨块、融合器和终板之间未见透亮线】

15例(女9例,男6例)患者的平均年龄(68.2±10.4)岁。10例患者行1节段融合,4例患者行2节段融合,1例患者行3节段融合(表1)。

1节段融合平均手术时间为(3.3 ± 0.6) h,2节段融合平均手术时间为(5.3 ± 0.4) h,3节段融合平均手术时间为8.5h。术中出血量:1节段融合41±23.9mL,2节段融合125±43.3mL,3节段融合200mL。平均住院时间为7.1±2.9天。在我们的研究中没有发生与手术相关的并发症(表2 )。

手术入路同侧的平均VAS值从术前的7.8±0.8改善到术后1个月的2.7±1.3和术后3个月的1.2±1.3(图14a),而手术入路对侧的平均VAS值从术前的3.8±3改善到术后1个月的1.5±1.4和术后3个月的0.9±1.1术后(图14b)。平均ODI值从术前的42.3 ± 4.6改善到术后1个月的14.7±6.8和术后3个月的9.2±5.6 ( 图14c)。

【图14.术后1个月和3个月临床结果:同侧a和对侧b的VAS和ODI值均有改善。】

友情链接: