首页/足踝/脚后跟反复疼痛?警惕Haglund综合征!/
脚后跟反复疼痛?警惕Haglund综合征!
2021-10-01 22:04:285567浏览
Haglund综合征包括Haglund畸形、跟骨后滑囊炎、跟腱皮下滑囊炎、止点性跟腱炎。诊断依赖于临床表现和影像学检查。手术治疗方法包括跟骨后结节切除、跟腱止点重建和跟骨背侧闭合楔形截骨。根据患者具体情况不同,选择合适的手术方法。

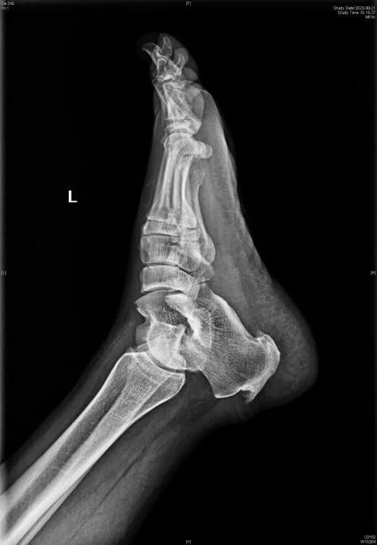
足跟后上方跟腱止点处的无菌性炎症、骨性增生肥大以及皮下或跟腱下滑囊炎是一组临床征候群。该病变于1928年由Patrick Haglund首先描述,故将止点性跟腱炎、跟骨后上突增生(Haglund畸形)与跟腱滑囊炎统称为Haglund综合征。其中跟骨后滑囊炎好发于年轻人(30岁左右),而伴有骨赘形成的止点性跟腱炎则好发于年龄更高的人群。

Haglund畸形

需要思考的问题:

  • 1.Haglund畸形=Haglund综合征?
  • 2.Haglund畸形是如何界定的?
  • 3.镜下和开放跟骨后结节切除哪个更好?
  • 4.跟骨后结节切除到什么程度?
  • 5.何时需要做跟腱止点重建?重建方法?
  • 6.还有其他手术方法么Haglund畸形和Haglund综合征

Haglund畸形和Haglund综合征

Haglund综合征的诊断

临床表现:跟腱止点部位疼痛不适,运动时疼痛加剧;渐进性病程,后期逐渐表现为任何活动都可引发疼痛。

体检:跟骨结节后方肿胀、压痛;踝关节主动背伸受限和提踵力量减弱;Silverskold试验可为阳性。

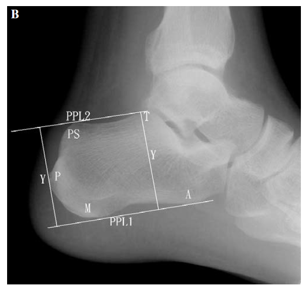
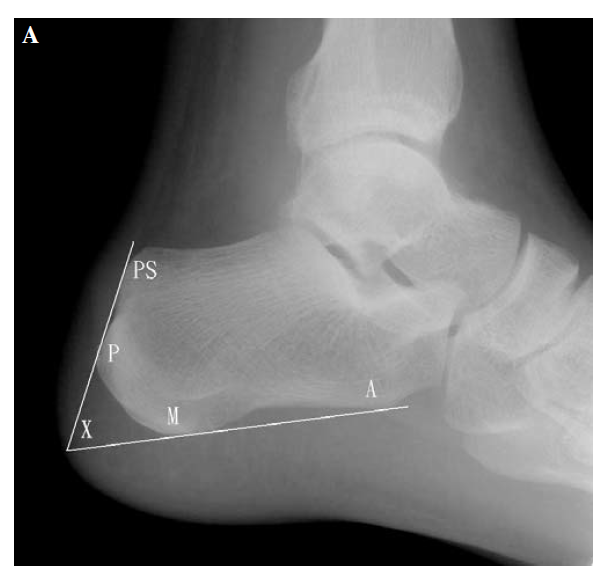
X:Fowler and Philips angle,44°-69°

CLA角:Chauveaux-Liet  Angle,CLA=α-β,>12°怀疑,X/Y值:<2.5高度怀疑

FPA和PPL不可靠,Haglund综合征与跟腱钙化和跟骨后方骨刺关系密切。

Haglund综合征的保守治疗

保守治疗:特制鞋或鞋垫;石膏固定;非甾体消炎镇痛药;伸展运动和理疗(如冲击波治疗);局部类固醇注射等。保守治疗有效率:38%保守治疗3-6月无效,考虑手术治疗

Haglund综合征的手术治疗

合并以下危险因素,保守治疗风险较大,可考虑直接手术治疗:

  • 治疗前VAS疼痛评分大于4分
  • 踝关节活动受限
  • 皮质激素局部注射史
  • 跟腱发生钙

开放外侧手术入路

关节镜入路

后正中入路

外侧入路切除跟骨内侧骨膜比较困难,采用正中劈开跟腱入路行 Haglund 畸形切除术联合跟腱止点重建术,取得了良好疗效

118个病人,并发症发生率为14%,都是较小的并发症,75%为感染,经治疗后好转。1/3的病人存在穿鞋不适,大多数因为瘢痕所致。也是造成病人满意度不好的唯一因素。

关节镜下手术可以减少并发症、缩短住院时间,病人满意度高,可以在门诊完成。关节镜下手术和中间跟腱劈开入路在手术效果和病人满意度方面无明显差异。

关节镜下手术和中间跟腱劈开入路在手术效果和病人满意度方面无明显差异。

尸体试验:关节镜手术和开放手术对内侧跟腱、跖肌腱和神经的损伤概率无统计学意义。

尸体试验:开放手术比关节镜手术切除跟骨结节更多,清理更完全。

跟骨后上结节切除时的理想角度是48-49°。

何时行跟腱止点重建?

止点变性和钙化严重导致彻底清理后跟腱止点缺损超过50%时需要行跟腱止点重建。

50%-70%的跟腱止点切断,一枚锚钉固定:

跟腱完全从止点切开,用两枚单排锚钉固定:

双排锚钉固定相对于传统单排锚钉固定临床效果更好,满意度更高:

自体肌腱缝合固定

取FHL加强跟腱

关节镜下锚钉跟腱加强

Zadek于1939年最先提出,跟骨楔形闭合截骨治疗Haglund综合征。

X/Y由小于2.5到大于2.5

跟骨闭合楔形截骨组短期结果差于跟骨结节切除组,但在长期随访中功能改善更好。

Haglund综合征的治疗选择树

小结:

1、Haglund综合征包括Haglund畸形、跟骨后滑囊炎、跟腱皮下滑囊炎、止点性跟腱炎。

2、Haglund综合征的诊断依赖于临床表现和影像学检查。

3、Haglund综合征的手术治疗方法包括跟骨后结节切除、跟腱止点重建和跟骨背侧闭合楔形截骨。

4、根据患者具体情况不同,选择合适的手术方法。

友情链接: